Showing 120 of 120on this page. Filters & sort apply to loaded results; URL updates for sharing.120 of 120 on this page
SOLUTION: Vortex filament with axial core structure vari 1992 applied ...
A group of vortices is combined into the core of a composite vortex X ...
Vortex varix manifesting as choroidal melanoma | The BMJ
Vortex Vein Varix (VVV): all you need to know - Ophthalmology Education
A Melanoma Masquerader: Choroidal Vortex Vein Varix - Retina Today
a Initial optical coherence tomography image through the vortex varix ...
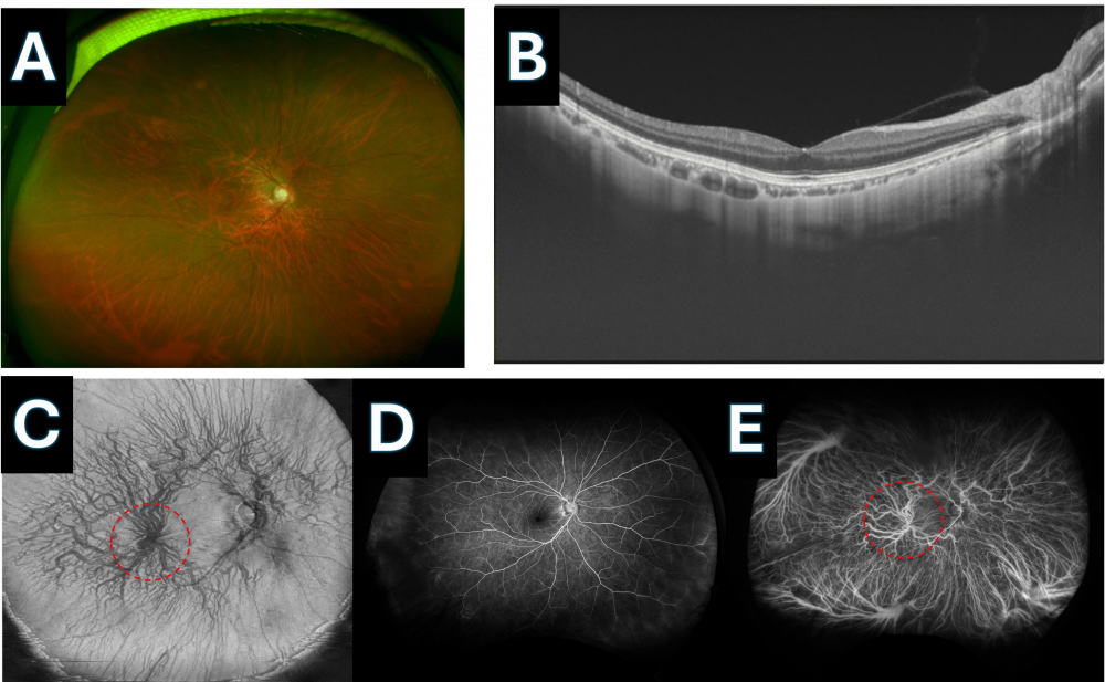
Vortex Vein Varix: Multimodal Imaging and Clinical Correlates ...
In Vivo Hemodynamic Changes of Vortex Vein Varix on Real-Tim... : RETINA
Figure 1 from Varix of the Vortex Vein Ampulla: A Small Case Series ...
OA OB Figure 1 0 Choroidal vortex varix. (A) Varix fully filled and ...
UNUSUAL POSTERIOR VARIX OF A VORTEX VEIN AMPULLA : Retinal Cases and ...
ICGA of Vortex Vein Varix Simulating Choroidal Melanoma - Retina Today
DYNAMIC ECHOGRAPHY OF VARIX OF THE VORTEX VEIN AMPULLA : Retinal Cases ...
Vortex Vein Varix changes with digital pressure: Ultra-Wide-Field ...
実物 LEUPOLD VARI-X Ⅱc 3-9×40 ライフルスコープ リューポルド スナイパー 猟銃 trijicon vortex ...
Figure 3 from Imaging Features of Varix of the Vortex Vein Ampulla:A ...
Varix of the Vortex Vein Ampulla – Intraoperative OCT by Ahmed Sallam ...
Figure 3 from Varix of the Vortex Vein Ampulla: A Small Case Series ...
(PDF) The spontaneous resolution of a vortex vein varix: case report
Imaging Features of Varix of the Vortex Vein Ampullaï¼ A Small
Vortex Vein Varix by Ruchi Shah on Prezi
Multiple vortex vein ampulla varicosities | BMJ Case Reports
Vortex Vein Varix - EyeWiki
Choroidal Vascular Anomalies: Posterior Vortex Veins, Choroidal ...
Frontiers | Varix of the vortex vein ampulla: a case report and imaging ...
Vortex Vein and Vortex Vein Ampulla - RetinaRA
(PDF) Multiple vortex vein varices masquerading as choroidal secondaries
(PDF) Multimodal imaging in a case of macular vortex vein varix
Suprachoroidal haemhorrage and vortex vein varix: A potential ...
(PDF) Varix of the Vortex Vein Ampulla: A Small Case Series
Inversion of Asymmetric Vortex Vein Dilatation in Pachychoroid Spectrum ...
(PDF) Different Vortex Vein Anomalies Observed in a Single Case ...
Figure 4 from Varix of the Vortex Vein Ampulla: A Small Case Series ...
Vortex Viper PST Gen II 5-25x50 Review [Hands-On Tested] - Scopes Field
Trajectory of vortex center and temporal variation of vortex scale and ...
Comparing Vortex Spotting Scopes: Which Model is Right for You? - funfirst
Vortex Anarch | MyGolfSpy
Vortex Viper HD 10x42 Binoculars Review
Vortex Vein Varix Simulating Choroidal Melanoma - Retina Today
Vortex Razor HD Gen II-E 1-6x24 EBR-7F MRAD SFP Riflescope - EuroOptic
Vortex position variation for two values versus the vortex phase ...
Vortex Viper PST Gen II 3-15x44 FFP Riflescope EBR-7C MRAD Reticle
Vortex Crossfire II Review | Best Vortex scope for the Money
Table I from Varix of the Vortex Vein Ampulla: A Small Case Series ...
Vortex Viper HD 3-15x44 SFP VMR-3 MOA Riflescope Vortex Canada
Cameras - VORTEX Products | VORTEX
Vortex Viper HD 5-25x50 FFP VMR-4 MOA Riflescope Vortex Canada
Variation of perfect vortex radius with distance D for vortex order 0 ...
Leupold Vx Freedom Vs Vortex Diamondback: Ultimate Showdown
VIVOTEK VORTEX - FD819-HT - 5MP / Vari-focal / 30M IR
Vortex Viper Riflescope Review | Outdoor Life
Axial variation of the normalized vortex strength and the number of ...
Vortex Viper Vs Strike Eagle
Vortex Optics, Vortex Scopes, Binoculars & More | EuroOptic - EuroOptic
Vortex Extreme - Variform
Figure 1 from Modeling Stratospheric Polar Vortex Variation and ...
Vortex Generators Boost Aircraft Aerodynamics and Control – PilotMall.com
Vortex Vs Sig Red Dot at Frank Keith blog
Vortex
Vortex Viper HD 8x42 | Buy Online at CleySpy
Vortex10 Party Pics - Vortex Companies - Trenchless Technology
Plots representing variations of identified vortex volumes due to the ...
Vortex Ring State Explained at Phoebe Wardill blog
Vortex Scopes – Magnum Sports
Time history of v z extrema (top) and of the vortex aspect ratio χ ...
Variances of the vortex trajectory for the case of multiplicative ...
Vortex Defender XL Review — Bigger. Faster. Better. - The Armory Life
Vortex Elements
(a) Sketch of the standard vortex mode and its new dynamics when there ...
Vortex Unit
Panasonic AVS-5 Vortex Powerfans Vari-Speed Motor Control – Ready ...
Optical coherence tomographical findings in a case of varix of the ...
Fundus photograph of the left eye at initial presentation ...
Peer Reviewed: Vascular Lesions of the Peripheral Fundus | Retinal ...
Frontiers | Three-dimensional choroidal vascularity index in central ...
Surgical Neurology International
(A) Left eye, optical coherence tomography (OCT) showing the choroidal ...
(PDF) Optical coherence tomographical findings in a case of varix of ...
Volume 3, Chapter 22. Vascular Anomalies of the Fundus
Interesting Retinal Cases - Fluorescene Media
Testing Vortex's Viper HD 2-10x42
Yahoo!オークション - 実物 LEUPOLD VARI-X Ⅱc 3-9×40 ライフルスコ...
Anatomy of the Eye II histology and retinal
Yahoo!オークション - 実物 LEUPOLD VARI-X Ⅱc 4-12×40 ライフルスコ...
Rifle Scopes – Page 6 – dooierus
Lesson: Choroidal Folds: A New Wrinkle in Retinal Care
Pre-owned scopes
Vari-X Pro: Can (Vari-X Pro ) Really Vari-X Pro Support Veins Health?
Vari-X Pro
Vari-X Pro Review: Can It Really Improve Vein Health and Circulation ...
GitHub - vari-xpro/vari-x-pro: Vari-X Pro is a supplement aimed at ...
VX-5HD Gen 2 3-15x44 Riflescope – Duplex | Leupold