Showing 115 of 115on this page. Filters & sort apply to loaded results; URL updates for sharing.115 of 115 on this page
tooth development and histology and hard tissue - Tooth development and ...
Dental Tissue Development Overview | PDF | Human Tooth | Epithelium
3: Tooth development | Pocket Dentistry
5: Development of the Tooth and Its Supporting Tissues | Pocket Dentistry
Development of tooth & It's supporting tissue.pdf
Tooth developmental tissue engineering. (A) Fundamental steps of tooth ...
Tooth Development Flashcards | Quizlet
Tooth Development Stages - A Simple WalkThrough
Tooth development l Oral histology & biology MCQs for dental students ...
Molecular Basis of Tooth Development | PPTX
Tooth development - wikidoc
tooth development pdf - dr.duran - Muhadharaty
Integumentary System - Tooth Development - Embryology
Tooth Development Stages: A Comprehensive Overview
Tooth development part 1 | Intelligent Dental
Unveiling the 6 Stages of Tooth Development | Best Treatment
Diagram of Oral Histology: Week 1/2 Tooth development | Quizlet
Schematic representation of tooth development stages. (Modified from ...
Tooth development along with clinical importance - Oral histology | PPTX
PPT - Development of Tooth and Supporting Tissues Raj Gopalakrishnan B ...
Development of tooth | PPTX
Dental and periodontal tissue development is achieved via the ...
Development of tooth | PPT
Dental development tissue Stock Photo - Alamy
Histology: tooth development Flashcards | Quizlet
Development of Tooth | PPT | Free Download
Human tooth development
Diagram of Tooth development | Quizlet
Tooth Development | PDF | Epithelium | Human Tooth
3D reconstructions of tooth development of soft and mineralised tissues ...
Dentistry lectures for MFDS/MJDF/NBDE/ORE: A Note On Tooth Development ...
The tooth development model. (a), depiction of cells and their ...
Development of tooth | PDF
development stages of primary teeth, timelines for each type of tooth ...
Atlas of human tooth development and eruption for females. Age group ...
What to Expect at Every Stage of Tooth Development - Northwest Arkansas ...
1- Tooth development - anatomy - ####### Introduction: As the ...
From Snapshots to Movies: Understanding Early Tooth Development in Four ...
2: Tooth organogenesis, morphology and physiology | Pocket Dentistry
Current understanding of the process of tooth formation: transfer from ...
Overview of In Vivo Hard Tissue Formation Using Dental Stem Cells ...
Development of tooth- Introduction and Histology | PPTX
PPT - TOOTH & RELATED TISSUES: Developmental goal PowerPoint ...
Histological images of the stages of tooth development, starting with ...
Development of dental tissues.ppt
The Tooth and Its Supporting Tissues - Dr Son X Nguyen, DMD, AEGD
Dentosphere : World of Dentistry: MCQs on Oral Histology - Development ...
PPT - Development and Maintenance of Healthy Teeth PowerPoint ...
(PDF) Development and Structure of Teeth and Periodontal Tissues
Tooth Fracture - NEET Entrance Coaching - Focus
Structural composition, physical properties and functions of tooth ...
primary and permanent teeth development stages, showing eruption and ...
development and growth of teeth | PPTX
Gut tissue testing may predict Alzheimer's, Parkinson's and MND long ...
Frontiers | Aging and Senescence of Dental Pulp and Hard Tissues of the ...
Frontiers | Dental Pulp Stem Cells Derived From Adult Human Third Molar ...
Fetal development: Your baby's teeth | BabyCenter
1.tooth development.pptx
developement of tooth.pptx | Free Download
Figure 1 from Integrin regulatory switching in development: oscillation ...
Comprehensive Analysis of Silicone Oral Functional Appliances / Muscle ...
Figure 3 from Integrin regulatory switching in development: oscillation ...
Dental Bone Graft Healing Stages: Week-by-Week Recovery Guide
Fundamental Implant Strategies 2026 | London Dental Institute
Researchers Achieve Communication Between Artificial Neurons and Living ...
Sarasati, A., Yucel, D., Kenar, H. et al. (2026), Sci Rep ...
"Don't move her!" 14 hours. Sub-zero snow. She refused to budge—until I ...
Ricci, John L.
Nitric Oxide in Dental Pulp Tissue: From Molecular Understanding to ...
Dental implantation - VOKA's 3D Medical Animation Portfolio
Denis Guignard
Dental Materials - intro to DM Flashcards | Quizlet
Technologies shaping tomorrow's industries | Innovation and ...
You’re Probably Breathing Wrong — And It’s Aging You Chronic mouth ...
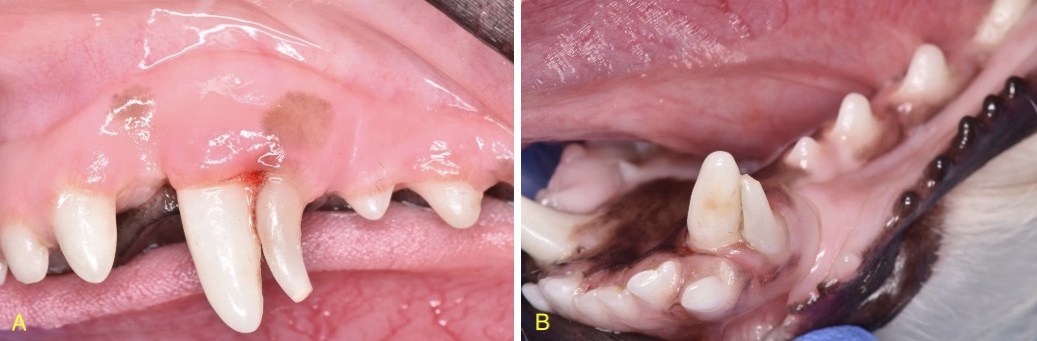
Developmental Abnormalities of the Mouth and Dentition in Small Animals ...
Can we predict and prevent weight gain in early psychosis? - National ...
30 Years of Enamel Matrix Derivative (EMD): Biological Foundations and ...
Airway Treatment for Better Sleep, Breathing, and Overall Health
Can positive expectations tune the immune system? - National Elf Service
Scrolling for answers: how reliable is mental health and ...
The Spit That Broke Me—And The Secret That Broke Her: Why I Finally ...
Spotting teen depression: what Brazil, Nepal and Nigeria can teach us ...
Medicare in the Dental Office: The Rules, Risks, and What Just Changed ...
In Egypt, a mysterious object has just been detected on this 2,000-year ...
How Long Does It Take For Blepharoplasty Scars To ...
RevBio Advances Clinical Trial of TETRANITE® - DENTALLER
How Tongue Ties and Airway Issues in Children Affect Growth, Speech ...