Showing 120 of 120on this page. Filters & sort apply to loaded results; URL updates for sharing.120 of 120 on this page
Sign Imaging - YouTube
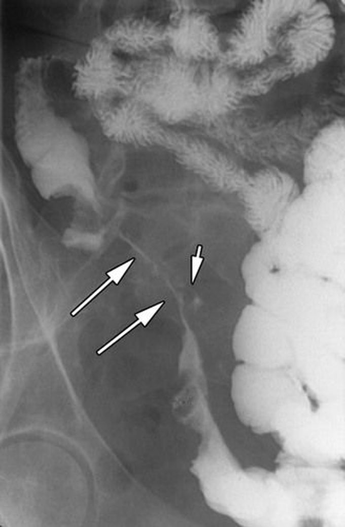
String Sign in Crohn's Disease - MEDizzy
What Is A String-Of-Pearls Sign Mean at Kaitlyn Guest blog
String sign bowel, artery and bone
String Sign & Cobblestone appearance in Crohn disease ... Radiology ...
String Sign Crohns Disease
The string sign in Crohn’s disease | Revista de Gastroenterología de México
Pyloric Stenosis String Sign
The ‘ beads-on-a-string ’ sign (arrows) considered as additional ...
Figure 6 from The tail sign and the string sign: a new sonography (US ...
String Sign Def at John Regis blog
EXAMS AND ME : String Sign
Image panel showing 2 pictures of positive string sign test. The length ...
The string sign appearance result of the upper gastrointestinal series ...
The right vertebral angiogram shows a pearl and string sign between the ...
String sign in ICA. String sign in the left internal carotid artery ...
Imaging Case of the Week 195 Answer | Emergucate
ACase 2Pearl and string sign BCase 4Double lumen string sign C, DCase ...
-Imaging on Day 4 shows the typical "string and pearl" sign of the left ...
String of beads sign (renal artery) The string of beads sign is the ...
String of Pearls Sign (X-Ray) - radRounds Radiology Network
Angiogram of the left vertebral artery demonstrating the string sign ...
String sign of Crohn's disease: What it is and what it means
String Sign String of Beads or Pearls sign - YouTube
Carotid Artery String Sign | Acibadem Health Point - ACIBADEM Hospitals ...
String sign | Radiology Signs
Egg on a String Heart Sign - MEDizzy
String sign of Kantor | Request PDF
(PDF) Egg on a string sign
Radial Artery Graft String Sign Due to Lumen Obliteration by Neointima ...
Imaging Case of the Week 592 Answer | Emergucate
Tidbit: Identifying a String Sign in Internal Carotid Artery ...
Postoperative angiography revealed string sign in both the inferior ...
String sign - Crhons Disease - Radiology - Terminal ileal narrowing ...
Egg on string sign | Personal health information, Health app, Personal ...
String sign
STRING OF BEADS SIGN - Radiology Classroom
String art pattern printable love sign diy string art pattern with ...
Bone or cartilage mass imaging - wikidoc
Ultrasound String Art Photo Sign Maternity Baby Announcement Pregnancy ...
Comb sign and target sign - Crohn disease - Radiology at St. Vincent's ...
String of beads sign #medical #clinical #neetpg #2024 #medstudent # ...
Radiology String Sign Of Kantor... Guess Diagnosis??? #generalsurgeon # ...
String Sign Text Sign Showing Update. Business Photo Text By Adding
String Sign
The Tail and the String Sign: New Sonographic Features of Subcutaneous ...
X ray signs of abdomen | PPTX
The String Sign: A Rare Radiologic Manifestation of Crohn Disease ...
Inflammatory bowel disease | PPTX
Radiology signs
Radiology ----Classical Signs in GIT Dr. Muhammad Bin Zulfiqar | PPTX
Abdominal tuberculosis
EPOS™
Radial Artery Angiographic String Sign: Clinical Consequences and the ...
Digital subtraction angiography image showing stenosis with a string ...
PPT - general surgery( 三 ) PowerPoint Presentation, free download - ID ...
(PDF) Endoscopic "String Sign"
Welcome to LearningRadiology - radiology signs, imaging, radiologic ...
MCQ - 86470 - www.medicoapps.org
The Radiology Assistant : How to Differentiate Carotid Obstructions
Pin on ARTVEIN
PPT - Surgery Board Review PowerPoint Presentation, free download - ID ...
Arterial dissection | STROKE MANUAL
PPT - Abdominal X-ray Radiological Signs PowerPoint Presentation - ID ...
String Sign-Crohn's disease | Explore dokidok's photos on Fl… | Flickr ...
Multiplanar computed tomography reconstruction to aid in recognition of ...
String Sign: Causes, Diagnosis, and Clinical Significance
Demonstration of a positive 'string sign' where a drop of aspirated ...
String of Pearls Sign-Intestinal Obstruction - Sumer's Radiology Blog
-Digital subtraction angiography on day 6 of admission showing the ...
Crohn’s Disease Radiology: CT, MRI, Ultrasound, and More
Transverse US image of the left ovary demonstrates the “string of ...
How To Make String Art Signs at Tayla Hamlyn-harris blog
Coronary angiography demonstrating the 'string sign' of left internal ...
String and pearl sign. | Download Scientific Diagram
Computed tomography demonstrating the 'string sign' of left internal ...
String Signature: download for free and install for your website or ...
String art circle hi-res stock photography and images - Alamy
String Art Wedding Wedding String Art
Amazon.com: Teaaha Hanging Photo Display, Picture Hanging String Wall ...
Ravi Patel on LinkedIn: #string #signs #left #severe #endovascular #carotid