Showing 117 of 117on this page. Filters & sort apply to loaded results; URL updates for sharing.117 of 117 on this page
Spleen. Diffuse granulomatous splenitis (HE 400x). | Download ...
Dehlvi Naturals- what is Splenitis,Herbal Supplements for Splenitis
A-C. Animal 1. A. Spleen. Granulomatous splenitis with abundant ...
Splenitis | Description, Causes, Symptoms, & Treatment | Britannica
Pathology Outlines - Acute splenitis
Esplenitis_granulomatosa_100X_XI | Granulomatous splenitis i… | Flickr
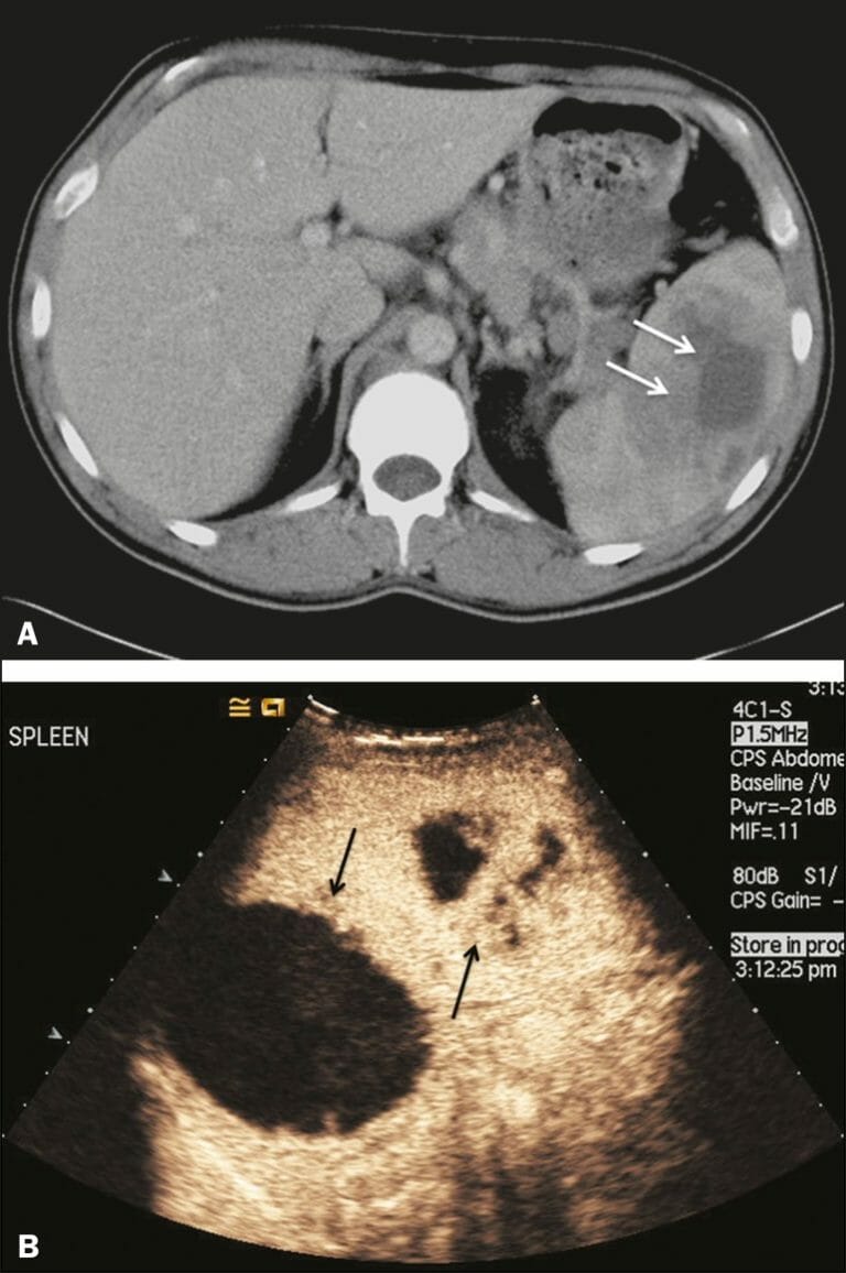
Focal granulomatous splenitis in a ring-neck dove after 6 months of ...
Multidisciplinary Management of Single Organism Emphysematous Splenitis ...
Acute splenitis - Libre Pathology
Spleen, dog; Hematoxylin and eosin. Figure 1. Purulent splenitis ...
Esplenitis_granulomatosa_100X_X | Granulomatous splenitis in… | Flickr
Microscopic overview of (a) liver and (b) spleen after the initial ...
Spleen: Mild (A), moderate (B), and severe (C) granulomatous chronic ...
WHAT IS NONSPECIFIC ACUTE SPLENITIS? - Pathosomes
Spleen and lymph nodes | PPTX
Slide 130
PPT - SPLEEN AND THYMUS PowerPoint Presentation, free download - ID:2139714
Spleen Diseases - Best Gastroenterology Hospital in India
What is Nonspecific Acute Splenitis? - Pathosomes
THU0406 Histological Findings of Spleen Affected by Adult Onset Still's ...
Enlarged Spleen Symptoms Pictures Causes Treatment Hereditary
Anaemic infarct of the spleen - Stock Image - C049/9116 - Science Photo ...
Chronic Venous Congestion : Spleen - Pathology Made Simple
Inflammation of the Spleen: Causes, Symptoms, and Treatment
Frontiers | Histological Disorganization of Spleen Compartments and ...
A-Macrophotograph of enlarged spleen showing multinodular architecture ...
21 Spleen | Radiology Key
Spleen – Infarct – NUS Pathweb :: NUS Pathweb
Spleen: Necrosis of the splenic follicle. This is an unusual lesion ...
Spleen - Libre Pathology
Spleen – Leukaemia – NUS Pathweb :: NUS Pathweb
Imaging of the spleen: what the clinician needs to know | SMJ
Spleen Ultrasound – How to Measure Length of the Spleen and Assess for ...
Acute Presentations of Splenic Diseases | Abdominal Key
Organ of the Month: Spleen – Finn Pathologists
Histological presentations of the the spleen pathology presentations ...
Splenic pathology induced by schistosome infection. Upper panel: Spleen ...
Imaging of the Spleen | Concise Medical Knowledge
Splenic lesions and anomalies | Radiology Reference Article ...
Imaging of the spleen: what the clinician needs to know - PMC
Swans. Images of necrotic enteritis, hepatitis, splenitis, amyloidosis ...
A Gallery of High-Resolution, Ultrasound, Color Doppler & 3D Images ...
Scintigraphic Imaging of the Spleen: Normal Biodistribution and ...
Benign and Malignant Lesions of the Spleen | Radiology Key
Spleen Ultrasound Normal Vs Abnormal Image Appearances Comparison ...
| Histological and immunohistochemical findings in the spleen of ...
Figure 3 from Ultrasonographic atlas of splenic lesions | Semantic Scholar
Photomicrography of the spleen. A – Red pulp congestion (HE, 100X); B ...
IJMS | Special Issue : Spleen: Crossroad between Immune System ...
Ultrasound cases 28 of 2000 || Video Showing Abdominal Ultrasonography ...
Ultrasound of the spleen and lymphatic system | Radiology Key
Angiography and Interventional Radiology of the Spleen | Radiology Key
A diagnostic approach to splenic lesions | Applied Radiology
Diffuse Spleen Diseases | Radiology Key
Spleen; Imaging Anatomy, Investigations and Pathology | PPT
Cross-sectional imaging findings of splenic infections: is differential ...
Granulomatous lesions of the spleen || Practical Ultrasonogram Spleen ...
Controversies in the Spleen - Surgical Pathology Clinics
Warning Signs of Spleen Disease That You Should Be Aware of - YouTube
Ultrasonography images of the splenius capitis at rest (A) and during a ...
9 -Granulomatous splenitis; 10 -Glass, wood, stone fragments ...
Spleen White Pulp / Spleen Histology Location Functions Structure ...
Spleen Response to Inflammation | BioRender Science Templates
Spleen Imaging - StatPearls - NCBI Bookshelf
MR Imaging of the Spleen: Spectrum of Abnormalities | RadioGraphics
Spleen - Inflammation - Nonneoplastic Lesion Atlas
The Spectrum of Solitary Benign Splenic Lesions—Imaging Clues for a ...
Spleen puzzle concept: hands of surgeon with surgical instruments ...
Figure 6 from Normal Structure, Function, and Histology of the Spleen ...
Splenomegaly – MedicoLearning
Spleen | Radiology Key
Unusual Rapid Growth of Primary Splenic Diffuse Large B-Cell Lymphoma ...
Imaging features of splenic diseases with differential diagnosis ...