Showing 120 of 120on this page. Filters & sort apply to loaded results; URL updates for sharing.120 of 120 on this page
Splenunculi (also known as supernumerary or accessory spleens or ...
Accessory Spleen (Splenule, Splenunculus) – Sonographic Tendencies
Spleen Ultrasound anatomy structure scanning techniques and pathologies ...
Accessory Spleen || Splenunculus || Ultrasound || Case 184 - YouTube
Diseases of spleen | PPTX
Accessory Spleen || Splenunculus || Ultrasound || Case 114 - YouTube
anatomy of spleen - YouTube
Presentation1.pptx, ultrasound study of the spleen and pancreas.
Spleen Radiology | PPTX
Lymphatic System Anatomy and Physiology - Nurseslabs
Splenic Vein Anatomy
radiological anatomy of spleen liver pancreas | PPTX
A Gallery of High-Resolution, Ultrasound, Color Doppler & 3D Images ...
Accessory spleen - wikidoc
Spleen: Normal Anatomy and Examination Techniques | Radiology Key
Spleen Ultrasound anatomy structure scanning techniques and pathologi…
Spleen anatomy 2 ndyear mbbs mc DR MUHAMMAD
Accessory Spleen – NephroPOCUS
anatomy of spleen | PPTX
PPT - spleen PowerPoint Presentation, free download - ID:801924
Spleen, Once Regarded Vestigial, Is Important Organ | Answers Research ...
Spleen Anatomy – Earth's Lab
Anatomy of the pancreas and spleen - Surgery - Oxford International Edition
Spleen Anatomy and Physiology - YouTube
Accessory Spleen. SPLENUNCULUS on Ultrasound Video Demonstration. Quick ...
CT Features of the Accessory Spleen | AJR
Experimental and Therapeutic Medicine
Spleen and Peritoneal Cavity | Radiology Key
Anatomy of the upper abdomen with respect to the spleen. | Download ...
Imaging of the spleen: what the clinician needs to know | SMJ
Structural organisation of the spleen. a The spleen is composed of red ...
An accessory spleen is seen at the tip of the arrow.
(PDF) Accessory spleen
CT scan of accessory spleen at the gastrosplenic ligament. Accessory ...
Surface Anatomy Of Spleen Accessory Spleen – A Report Of Anatomical
Radiologic Findings of Single Accessory Splenic Infarction in a Patient ...
Abdomen and retroperitoneum | 1.4 Spleen : Case 1.4.6 Accessory spleens ...
(a) Splenuculus (arrow) at lower pole of the spleen, demonstrating a ...
The Spleen | Radiology Key
Spleen (1).pptx
The Spleen | Abdominal Key
Radiology case : Accessory spleen (US) - Diagnologic
Anatomy and physiology of spleen and laparoscopic management of splenic ...
spleen1 pptx - د.علي عادل - Muhadharaty
Accessory spleen in the greater omentum - The American Journal of Surgery
9 The Spleen | Abdominal Key
Radiological anatomy of Pancreas and Spleen | PPTX
Abdomen and digestive system diagrams: normal anatomy | e-Anatomy
Spleen Histology
Spleen – Infarct – NUS Pathweb :: NUS Pathweb
Anatomy of spleen and its blood supply.ppt
Spleen Histology White Pulp Function Of The Spleen Red Pulp White
Laparoscopicsplenectomy
Intraoperative view of accessory spleen. | Download Scientific Diagram
10 Spleen | Radiology Key
Spleen- anatomy physiolog, function, anomalies.pptx
SPLENUNCULI (anatomy, physiology, pathology and management) | PPTX
Benign and Malignant Lesions of the Spleen | Radiology Key
Ultrasound of pancreas and spleen | PPTX
Spleen | Radiology Key
Presentation1, abdominal ultrasound anatomy. | PPTX
Accessory Spleen Imp19003
PPT - Spleen and thymus PowerPoint Presentation - ID:3875884
Diffuse Splenic Lesions - Clinical Tree
Accessory spleen appearing as an intrasplenic pseudo-tumoral mass: A ...
Applied anatomy and physiology of pancreas and spleen.pptx
Spleen Ultrasound Normal Vs Abnormal Image Appearances Comparison ...
Patient 2. Similarly to Figure 1. One more small accessory spleen ...
Intrapancreatic accessory spleen: a misleading diagnosis | BMJ Case Reports
Normal And Enlarged Spleen
🩺Splenunculus also known as supernumerary spleen, accessory spleen or ...
Normal Spleen Ultrasound
PPT - Normal spleen PowerPoint Presentation, free download - ID:2017060
(PDF) Accessory spleen and its significance: A case report
The Liver and Spleen
EPOS™
Chapter 18. Splenectomy | Current Procedures: Surgery | AccessSurgery ...
Ultrasound of the spleen and lymphatic system | Radiology Key
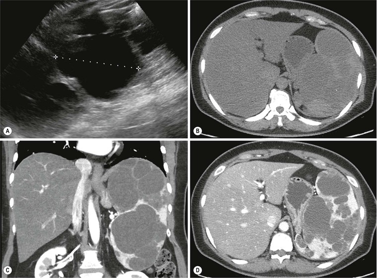
2A) USG and axial post contrast CT; 2B) Abdomen shows a well defined ...
Intrapancreatic accessory spleen - PMC
PPT - SPLEEN PowerPoint Presentation, free download - ID:9698340
In the dissected cadaver after reflecting the stomach,the normal spleen ...
Frontiers | Laparoscopic treatment for an intrapancreatic accessory ...
Contrast-Enhanced Sonography of Intrapancreatic Accessory Spleen in Six ...
Surgical Exam
Spleen and Pancreas | SpringerLink
Accessory spleens can locate at the wall of stomach or bowel. Axial ...
The wandering splenunculus: a diagnostic dilemma | BMJ Case Reports
spleen anatomy pictures Flashcards | Quizlet