Showing 120 of 120on this page. Filters & sort apply to loaded results; URL updates for sharing.120 of 120 on this page
Ultrasound image of multiple septations and loculations in a patient ...
Models of the septation process and alternative septations of fission ...
Ultrasound image demonstrating multiple fine septations within the ...
Coronal CT images showing (A) multiple septations in the left maxillary ...
Sagittal T2-weighted MRI showing septations in the subarachnoid ...
CT findings. The isodensity internal septations and calcifications ...
CT scan of the chest: large cyst with thin internal septations in the ...
Septations and solid portions are observed within the mass. a The ...
(a and b) Abdomen ultrasound shows multiple septations in the ...
Mucinous cystadenoma, large (16 Â 14 cm) with multiple thick septations ...
Complex Cyst With Septations - Kidney Radiology Case Studies - CTisus ...
Nuchal septations increase risk for fetal anomalies | AuntMinnie
CT scan showing cystic SOL in the liver with septations seen inside the ...
Ultrasound imaging of the gallbladder showing multiple septations ...
Hydrocele with Septations Explained | Acibadem Health Point - ACIBADEM ...
Figure1: CT film showing the mass with multiple enhancing septations ...
Coronal image of MRI scan demonstrating internal septations and ...
A, B Septations within the haematoma. C A case of misplacement and ...
Medical thoracoscopy showed pleural effusion with septations and ...
Presence & Type of Septations in dry skull specimens (n=120) | Download ...
Three-dimensional sagittal FIESTA image. Fine septations in the ...
T 1-weighted sagittal image shows heterogeneous mass with septations ...
Figure 1 from Intrasphenoid septations inserted into the internal ...
Chest computed tomography (CT) shows septations of cyst in mediastinum ...
On USG correlation it was showing few internal septations and daughter ...
MRI Dark Internal Septations - Breast Rads
Transcranial defect ultrasound of an adult patient showing septations ...
Type of attachment of septations to sphenoid sinus wall and their ...
CT image showing cystic lesion in left kidney with internal septations ...
(TVS) of fibrin collection in endometrial cavity with thin septations ...
Cardiac Septation | Circulation Research
Septation of the ventricles Diagram | Quizlet
Complex pleural effusion with septation. | Download Scientific Diagram
Septation — WYTHE LAB
Development of Heart (Embryology) | PPTX
The Cardiovascular System | Anesthesia Key
Bedside ultrasound of the right chest showing multiple collections with ...
Pleural ultrasound demonstrates a large pleural effusion with complex ...
PPT - Chapter Overview PowerPoint Presentation, free download - ID:6826154
Complex septated effusion. Arrow points toward a fibrinous septation ...
5.18 Cytokinesis and septation
Lexicon Descriptors and Definitions : RADS - Reporting and Data Systems ...
Southwest Journal of Pulmonary, Critical Care and Sleep - Imaging ...
Anatomic variations in the frontal osseous septations. A, Inferior ...
Ventricular septation for double inlet ventricle: Avoiding conduction ...
Point-of-Care Ultrasound in Gastroenterology and Hepatology - Clinical ...
Gastrointestinal - Learning Modules - CTisus.com CT Scanning
Two different cases of lung ultrasound in which it is possible to ...
A cystic, septated lesion in the liver with unusual diagnosis | BMJ ...
Gallbladder - Clinical Tree
The Gallbladder and the Biliary System - Clinical Tree
Gall bladder Ultrasound | PPT
a Sonographic septation in a 45-year-old man with acute thoracic ...
Several loculations of fluid seen in this PIC are separated by both ...
PPT - Lecture 11 General med_2nd semester PowerPoint Presentation, free ...
Nasal Cavity and Sphenoid Sinus Anatomy | PPTX
CHEST X-RAY CARDIAC DISEASE.........pptx
Histology of pancreas and liver Pancreas It is
Relationship between sphenoid sinus volume and accessory septations: A ...
EPOS™
Kidney Cyst Septated (ultrasound) | The Common Vein
Septation type definition and its relationship with the internal ...
Loculation patterns, including the presence of septum. The loculation ...
Staged Ventricular Septation in Double-Inlet Ventricle - A Strategy to ...
Partitioning of the Heart Tube: Atrial Septation
Ultrasound image showing complex solid cystic mass with visible ...
Septations: Pathological Formation, Diagnosis, and Significance ...
-Axial HRCT image shows air-filled cystic lesion with multiple ...
EPOS™ - C-08061
Ultrasound right (A) and left (B) thorax and pleural cavity showing ...
Pleural effusion in the intensive care unit - Clinical Tree
USG showing cystic swelling at the back of neck with multiple ...
OB Final Study Guide Flashcards | Quizlet
Staged Ventricular Septation in Patients With Double Inlet Ventricle ...
Management of Cystic Conditions - Surgical Clinics
Ultrasonography of the abdomen revealing moderate ascites with few ...
DMS 104- Pelvic Pathology Flashcards | Quizlet
Sonography of the Breast
Septated pleural Effusion - YouTube
The Thyroid Gland - Clinical Tree
📃 Gallbladder, septation
Ascites - Clinical Tree
An Unusual Presentation of a Primary Pulmonary Sarcoma | ACS
Cystic Pancreatic Lesions - Clinical Tree
CT imaging at time of presentation to the ED showing multiple ...
Septum of sphenoidal sinuses - e-Anatomy - IMAIOS
Pin by ZaharaO on Med Life | Emergency medical responder, Nursing ...
SurgicalCORE | Table/Figure
Renal neoplasms & pathology Flashcards | Quizlet
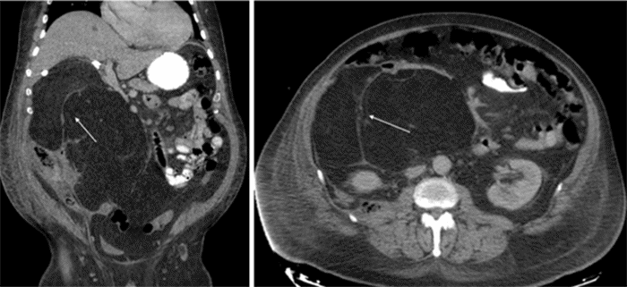
Unusual Retroperitoneal Presentation of a Rare Primary Pancreatic ...
To see additional stages of atrial septation & differentiation, see ...
Likelihood Ratio of Sonographic Findings in Discriminating Hydrosalpinx ...
Frontiers | Advances in chronic subdural hematoma and membrane imaging
A Nodular lesion with no apparent internal septations, wider rather ...
Serous cystadenoma. Axial ( ) and precontrast ( ) venous phase image ...
pathology of ovaries part 2 Flashcards | Quizlet
| Eurorad
Diagnosis and management of pleural infection | European Respiratory ...
MRI coronal STIR image showing a well-defined hyperintense cystic ...
Adult multilocular cystic renal tumour | Eurorad
Neonatal transcranial USG | PPT
Cystic tumours of pancreas | PPTX
Septation | meaning of Septation - YouTube
Imaging of the Fetal Face and Neck - Clinical Tree