Showing 120 of 120on this page. Filters & sort apply to loaded results; URL updates for sharing.120 of 120 on this page
Sessile Polyp Histology The Pathology Of Serrated Colorectal
Microvesicular hyperplastic polyp and sessile serrated lesion of the ...
Showing 4 Serrated Polyp Subtypes A Microvesicular
Sessile serrated polyp (colon and rectum) - MyPathologyReport.ca
Pathology Outlines - Serrated polyp
Sessile Serrated Adenoma Vs Hyperplastic Polyp
Serrated polyps Learn to tell the difference between hyperplastic polyp ...
(PDF) Hyperplastic polyp or sessile serrated lesion? The contribution ...
Hyperplastic Polyp Sawtooth Update On Serrated Polyps
Diagnosis and management of patients with SPS. HP, hyperplastic polyp ...
Types of serrated polyp | Download Scientific Diagram
Sessile Serrated Polyp File:Sessile Serrated Adenoma With Low Grade
The serrated polyp pathway to colorectal carcinoma - Diagnostic ...
Sessile Polyp Histology
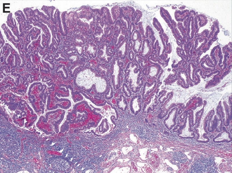
A, Sessile serrated polyp (adenoma) in case 1 with basal crypt ...
Endoscopic recognition of the sessile serrated polyp to cancer sequence ...
Serrated polyp without dysplasia resembling colorectal sessile serrated ...
Sessile serrated lesion/polyp (SSL/P) without dysplasia (a). SSL/P with ...
Serrated polyps of the colon and rectum: Remove or not?
An update on the morphology and molecular pathology of serrated ...
Sessile Serrated Adenomas: An Evidence-Based Guide to Management ...
Schematic presentation of classification of colorectal serrated lesions ...
Pathology Outlines - Sessile serrated adenoma
Sessile Lesion
Colon cancer arising from a sessile serrated adenoma/polyp detected on ...
Distinct endoscopic characteristics of sessile serrated adenoma/polyp ...
Three Pathologic Criteria for Reproducible Diagnosis of Colonic Sessile ...
Pathology Outlines - Serrated lesions - general
WASP criteria: features of sessile serrated lesions (SSL), hyperplastic ...
Clinicopathologic and outcome study of sessile serrated adenomas/polyps ...
Endoscopic Diagnosis Of Sessile Serrated Adenomapolyp
Serrated lesions in the colorectum. (A) Representative images of HP ...
Frontiers | The Genomic Landscape of Serrated Lesion of the Colorectum ...
Serrated colorectal cancer: Molecular classification, prognosis, and ...
Types of serrated polypHPP, hyperplastic polyp; MP, mix | Open-i
Sessile Serrated Polyps finding management
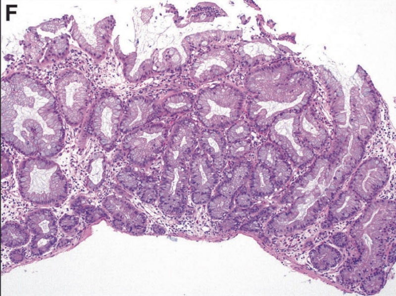
The histology of the serrated polyp. (a) The sessile serrated ...
Serrated polyposis syndrome: Molecular, pathological and clinical aspects
Endoscopic And Histologic Characteristics Of Serrated Lesions
Sessile serrated adenoma with high-grade dysplasia. This low-power ...
British Society of Gastroenterology position statement on serrated ...
An example of sessile serrated adenoma/polyp (SSA/P) with cytological ...
Sessile serrated (polyp) lesion
Review article: What are serrated colorectal polyps? - American ...
Serrated polyps and risk of synchronous and metachronous neoplasia ...
The cutting edge of serrated polyps: a practical guide to approaching ...
Figure 2 from Hyperplastic Polyps, Serrated Adenomas, and the Serrated ...
Gross appearance of the large bowel in sessile serrated lesion/polyp ...
Endoscopic diagnosis of sessile serrated adenoma/polyp with and without ...
A sessile serrated lesion (SSL) with an invasive carcinoma: A ...
Serrated lesions of colon and rectum
Endoscopic features of traditional serrated adenoma. A: White light ...
Colorectal cancer screening
Serrated Colorectal Lesions: An Up-to-Date Review from Histological ...
Sessile Serrated Polyps Cancer Risk And Appropriate
Narrow-band imaging International Colorectal Endoscopic (NICE ...
Histopathology of serrated colorectal neoplasias. A. Sessile serrated ...
Personalised surveillance for serrated polyposis syndrome: results from ...
Pathology of colorectal polyps and cancer - Surgery - Oxford ...
Serrated Colon Polyps as Precursors to Colorectal Cancer - Clinical ...
Endoscopic diagnosis of sessile serrated polyp: A systematic review ...
Serrated polyps and polyposis of the colon: a brief review for surgeon ...
Pathology mcq
Top tips for finding and treating serrated colon lesions (with video ...
Colorectal serrated lesions and polyps, 용어 이해 ① : 네이버 블로그
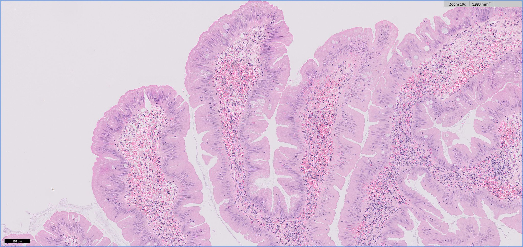
Histopathologic features of serrated lesions. (a) Goblet cell-rich ...
Sessile Serrated Polyps are Precursors of Colon Carcinomas With ...
Characteristics of Clinically Significant Hyperplastic Polyps ...
Qualities of sessile serrated adenoma/polyp/lesion and its borderline ...
Typical serrated lesions in the proximal colon. (a–d) A sessile ...
Terminology, Molecular Features, Epidemiology, and Management of ...
Sessile Serrated Polyps: An Important Route to Colorectal Cancer in ...
A standardized imaging protocol for the endoscopic prediction of ...
Risk of Metachronous High-Risk Adenomas and Large Serrated Polyps in ...
GASTROINTESTINAL AND LIVER HISTOLOGY PATHOLOGY ATLAS: SESSILE SERRATED ...
Sessile Serrated Polyps: Detection, Eradication, and Prevention of the ...
NBI International Colorectal Endoscopic–derived high-confidence optical ...
(PDF) Serrated neoplasia in the colorectum: gut microbiota and ...
Colon polyps pathophysiology - wikidoc
Jamie Sington on Twitter: "What to call this pretty little chap from ...