Showing 117 of 117on this page. Filters & sort apply to loaded results; URL updates for sharing.117 of 117 on this page
Regressive Cycles
Understanding Regressive Taxes: Definition & Common Types
What is a regressive tax system? Why does it disproportionately affect ...
Regressive tax - Economics Help
Regressive Tax (Definition,Types) | How this System Work?
Regressive Tax - Definition, Pros & Cons, vs Progressive Tax
Regressive Tax | Definition, Types and Examples of Regressive Tax
Regressive Tax - Understanding How a Regressive Tax System Works | Wall ...
10+ Regressive Tax Stock Photos, Pictures & Royalty-Free Images - iStock
Regressive Tax: Policy, Structure, Calculation
Expert Insights on Regressive Autism | Golden Care Therapy
Regressive Taxes
Regressive Tax Examples | Different Examples with Explanation
Regressive Autism: Why It Occurs - Autism Parenting Magazine
Regressive | what is REGRESSIVE meaning - YouTube
Regressive Illusions from Iff Books
Regressive Tax Written On A Memo Stick Income Corporate Progressive ...
Regressive Tax Definition
Regressive Hypnosis - Dream Theater Tribute
Regressive Inspirational Promo - YouTube
REGRESSIVE LEFT + Guests - The Pad Presents
Progressive vs Regressive Staining
Issues of Progressive and Regressive Development of The Philosophy of ...
Regressive Autism – Why It Occurs - Autism Parenting Magazine
Regressive Tax | Examples, Pros, Cons & How to Calculate
Stream Regressive & Modular - Gateways by Quantum Sorcery Records ...
Regressive Tax | Learn Stock Market Terminology | Kalkine
Regressive Tax | TaxEDU Glossary
Proportional vs Progressive vs Regressive Taxes | A Comparison
Regressive Calvinism – SOTERIOLOGY 101
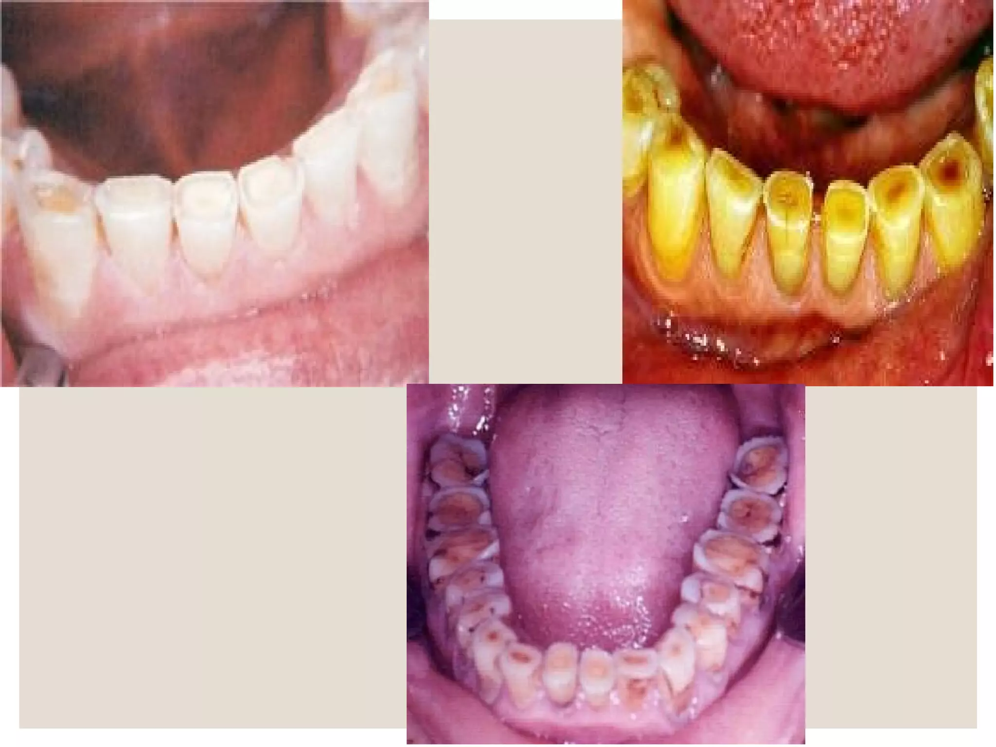
REGRESSIVE ALTERATIONS OF THE TEETH.pptx
Regressive Autism Explained! - YouTube
regressive Kosten • Definition | Gabler Wirtschaftslexikon
Anxious Psychology Of Regressive Thinking Defense Mechanism
Auto Regressive Time Series Model. – Praudyog
REGRESSIVE ALTERATIONS
Free of Charge Creative Commons regressive tax Image - Financial 9
Sales Tax Is An Example Of A Regressive Tax at Justin Northcote blog
Regressive Party | Huck/Konopacki Cartoons
Progressive and Regressive Taxes - A Level and IB Economics | Channels ...
Regressive Tax: Definition, Pros, Cons & Examples
Regressive changes of teeth Diagram | Quizlet
Regressive Autism #asdautism #parenting #healthyparenting - YouTube
Regressive Autism | Best Explatation of Cause And Treatment
What is a Regressive Tax Rate? - Accountant Skills
Regressive alterations of teeth | PPT
Full article: Losing Sight of Regressive Evolution
Regressive Tax Example In Powerpoint And Google Slides Cpb PPT Example
Solved: What is the difference between progressive and regressive taxes ...
Regressive Tax: Definition, Pros, Cons & Examples (2026)
Regressive Tax - Assignment Point
mean regressive eye movements in central and peripheral text sections ...
Proportional, Progressive, Regressive and Degressive Tax - YouTube
Regressive Tax क्या है? | Computerguidehindi -India's No-1 Computer ...
PPT - Regressive and Traumatic Alterations of Teeth PowerPoint ...
Progressive Tax vs. Regressive Tax — What’s the Difference?
(PDF) Progressive v. Regressive Taxes: The Pros and Cons According to ...
Regressive Tax Example PowerPoint Presentation and Slides | SlideTeam
Pushing back against the regressive agenda of the left!!!
Regressive Synonyms and Regressive Antonyms. Similar and opposite words ...
PPT - Time Series Prediction Modeling Lecture PowerPoint Presentation ...
PPT - Time series PowerPoint Presentation, free download - ID:8797741
SEPM Strata
PPT - Chapter 10 PowerPoint Presentation, free download - ID:615108
La démarche régressive : Comprendre le retour vers le passé et ses ...
Sequence Stratigraphy - Hamed-Geo
Regression: Diagnosis, Evaluation, and Management
Regression is a defense mechanism that causes a person to adopt certain ...
Origin and evolution of virus .pptx
Haematoxylin and Eosin Staining in Ecotoxicology | PPTX
PPT - ENTREPRENEURIAL FINANCE Fourth Edition PowerPoint Presentation ...
PPT - Situational Leadership PowerPoint Presentation, free download ...
Autoregressive Models for Beginners: A Step-by-Step Guide
Daily Vocabulary from International Newspapers and Publications: May 12 ...
Tax Return Definition Banking at Ellie Redmond blog
What is pterygium: The Triangular Fold in the Eyes that Can Cause ...
Building a Regression Model
“In this world, nothing is certain but death and taxes” - ppt download
Autoregressive Model - What Is It, Formula, Examples
normal regression and progradation Archives - Geological Digressions
Understanding Your Paycheck and Tax Forms - ppt download
Logo vat Banque d'images vectorielles - Alamy
Quality Assurance in Hematology laboratory | PDF
The Complete Guide to Generative AI Architecture
PPT - Auto-regressive dynamical models PowerPoint Presentation, free ...
Behavior Regressions in Young Children | Parent Resource
Transgressive-regressive (T-R) sequence stratigraphic framework of the ...
Dentistry in Renaissance Period | PPT
What Is Regression Analysis? Types, Importance, and Benefits
Schematic representation of a transgressive-regressive sequence model ...
What is Child Regression? - Behaviors and Treatment
Auto‐Regressive Model For Nonstationary Stochastic Processes – OIDK
The architecture of generative recurrent neural networks versus ...
GST as a Tax – Regressive, Progressive or Hybrid?
How does LLM Fine-Tuning differ from training a model?
Govt Intervention To Redistribute Income - IGCSE Economics
Marine Transgression and Regression – Geology In | Geology, Regression ...
ATTRITION OF TEETH (Regressive Alterations of Teeth) | PPTX
深入理解深度学习——BERT派生模型:BART(Bidirectional and Auto-Regressive Transformers ...