Showing 120 of 120on this page. Filters & sort apply to loaded results; URL updates for sharing.120 of 120 on this page
FP1 vs. FP2 vs. FP3 Dental Implants: What’s the Difference? - Restore in 24
To FP1 or to FP3 , that is the question..PART 1
Don’t Get FP3 All-on-4 Implants: Essential Insights for Patients ...
To FP1 or to FP3 , that is the question..PART 2
Daniel Aguilar | FP3 prosthesis in zirconia with porcelain layering ...
Implantation - Monolithic Zirconia FP3 Prosthesis with Layered Gingiva ...
Upper FP3 lower FP1 implant bridges — Blyton Dental
Designing the full mouth implant rehabilitation – from FP1 to FP3 ...
кейс репорт №1 - планирование FP3 конструкции и навигационной ...
DSD + FULL ARCH FP3 prosthesis - CadCam Masters
Instrumento FP3 - Dyma
🇾🇪 Guided Epithelialized Mucosal Graft around FP3 Implant Restoration ...
Full Mouth rehablitation with Maxillary All On 6 screw retained FP3 ...
Full Arch Implant Prostheses FP3 #dentistry #restorativedentistry # ...
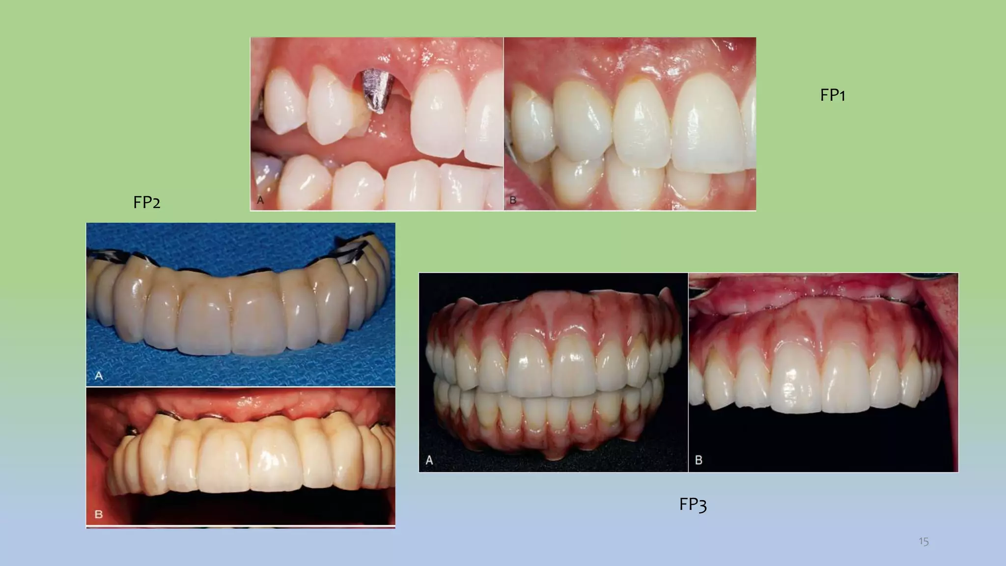
An FP3 designates a prosthetic with artificial gingiva. We often add it ...
FP3 Scanning Abutments – InstaRisa
TIPOS DE PROTESIS DENTAL.pptx
FP1 Dental Treatment: What It Is and Why It Matters
Prosthetic options in implant dentistry | PPTX
prosthetic options in implant | PPTX
Treatment planning for an implant patient: A general overview ...
Prosthetic options in implant dentistry
Divisions of available bone: - ppt video online download
FP1 Smile Full Arch Implant | Alexandria | Stafford VA | Dr. Rivera
FP1 Dental Implants: The Complete Guide to Gum-Free Full-Arch Solutions ...
-FP3 prosthesis screwed and splined. (a) Photomicrography of the ...
30 Maxillary Arch Fixed Implant Prostheses | Pocket Dentistry
What We Ought To Know About Full Arch Implant Dentistry – PDP093 ...
Prótesis archivos - Clínica Dental Isbilya
Prótesis completas implantosoportadas de metal-resina (híbridas) fijas ...
FP1 Prosthesis: A Bone-Preserving Alt to All On 4 Dental Implants
FP1 Full-Arch Implant Restorations - Dentistry Today
We’re proud to announce that FP3D is now officially FDA Class II ...
Case of fixed oral rehabilitation upper and lower metal-acrylic hybrid ...
Rehabilitación mediante una prótesis completa inferior ...
All-on-X Overview-Renstrom Dental Studio | Full Service Dental Care In ...
prosthetic options in implant | PPT
Prótesis Completas digitales, impresas en 3D en la Impresora Form 3B de ...
Creating the FP1 prosthesis: a systematic case study Implant Practice ...
Everything You Need to Know About FP1 Full Arch Implants | Innova ...
Kite Saito | Zero cutback monolithic zirconia implant bridges. Upper ...
Implant treatment plan for completely edentulous patient | PPTX
Definitive Prosthetics — Nexus iOS
Full Arch Implant - XDENT LAB
Brighton - 🦷 Did you know there are different types of a fixed ...
Rehabilitación oclusal mediante prótesis mixta superior e inferior ...
All-on-X dental implant system offers permanent solution to Maine patients
Carbon unveils FP3D removable partial denture resin
Classification Implant Supported Prosthesis- Fixed, Removable, Full ...
Prótesis dental removible: manejo, cuidado y mantenimiento | Clínica ...
Case 4 - Advanced Dentistry & Dental Implant Center
Dental implant prosthesis | PPTX
ROE Dental Laboratory's Full Arch Fixed Prosthetic Options - YouTube
Dental Implant Prosthetics at Charli Fiaschi blog
FP1 Full-arch Implant Restoration
Immediately loaded FP-1 interim fixed implant prosthesis for a patient ...
💭 MDP 2 MIDDLE FINGER DISTAL PROSTHESIS・ STL File for 3D printing and ...
Dental Laboratory in Illinois - Durable Dental Lab
Dr Ricardo Chávez (@dr.ricardochavez) • Instagram photos and videos
3 is the magic number - Ceramicdesigns
Qué es una prótesis dental - Romy Flores Odontologia
Hybrid Prosthesis...................pptx
Prótesis dental: Tipos que existen | Clínica Friedländer
Prótesis removible sobre implantes
Prótesis Removible | Smileep Laboratorio Dental
High Esthetic Risk FP1 - MyZerodonto
Pre-Operative Instructions
Prótesis dental precio - Reconstrucción DENTAL - GRUPOGENTEVITAL
Vidal & Coello | Odontólogos
Letal LAB (@letal_lab) • Instagram photos and videos
A completely digital approach to fabricating multiple-unit fixed ...
EXP3DENT
FP1 implant prosthetic option .. - YouTube
FP3D: Cómo hacemos prótesis - YouTube
Dental Services Price 2023 in HCMC - Vietnam
Dr Scott Maclean - The FP2 prosthesis is used for full arch when teeth ...
Tooth Preparation for All-Ceramic Zirconia: Key Technical Points | Yucera
Achieving Passive Fit in All-on-X Implants with SHINING 3D Aoralscan Elite
18 Diagnostic Casts, Surgical Templates, and Provisionalization ...
Full rehabilitation using digital All-on-X therapy: a case report – DDS ...
Choosing Between Fixed and Removable Prostheses - Decisions in Dentistry