Showing 119 of 119on this page. Filters & sort apply to loaded results; URL updates for sharing.119 of 119 on this page
Promonocito | Hematología, Celulas sanguineas, Celulas
Fichero de Hematología: Promonocito
Promonocito en 2025 | Hematología, Histología, Estudiante de medicina
Atlas de Hematologia: promonocito
Promonocito | Hematología, Libros de histologia, Enseñanza de química
Promonocito | Hematología, Analisis de sangre, Tecnología médica
PROMONOCITO | Medicina humana, Hematología, Enseñanza biología
HEMATOLOGIA: Promonocito
fichero hematologia: Promonocito
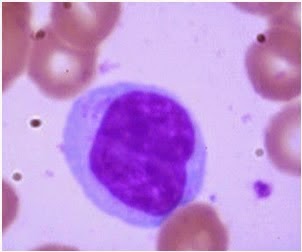
Promonocito | Tamaño: 15-20μm Relación núcleo/citoplasma: El… | Flickr
FICHERO HEMATOLOGIA : Promonocito
PROMONOCITO en 2024
Promonocito: qué es, morfología, identificación. patologías
Promonocitos - EcuRed
Promonocito: morfología, identificación, patologías
PPT - Serie Blanca: Morfolo gía y Citoquímica PowerPoint Presentation ...
Promonocitos | CellWiki
Como Diferenciar Monócitos, Promonócitos e Monoblastos? | LAB Prática
Promonocyte
Promonocyte - Wikipedia
FICHERO DE HEMATOLOGIA: Leucopoyesis
Hematologia Clínica : Atlas de Hematologia
FICHERO DE HEMATOLOGÍA: Morfología normal de elementos celulares ...
Promonocyte | CellWiki
Linfopoiese e Monopoiese
Como Identificar o Monócito
FICHERO DE HEMATOLOGIA 2015: Serie Monocítica
Promonocito: Una Visión Detallada
Células sanguíneas: Maduración monocitos
EL RINCÓN DE LA MEDICINA INTERNA. juanpedromacaluso@yahoo.com.ar ...
Ilustración de Etapas Del Vector De Monocitopiyesis Maduración De ...
TEJIDO HEMATOPOYETICO.pptx
MONOCITOPOIESE: Formação e maturação dos monócitos - Blog - Atlas em ...
FISIOLOGA LEUCOCITARIA MONOCITOS n n Proceden de la
03 sangue e hematopoese
Fichas de aprendizaje MONOCITOPOYESIS | Quizlet
Atlas de Hematología : MONOPOYESIS
Eu - PROMONOCITO. Photo Sysmex Tamanho: maior que o monoblasto Núcleo ...
Histología Médula ósea y Sangre
Fichero: SERIE BLANCA
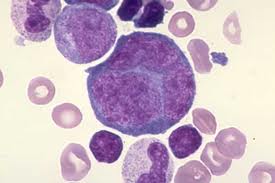
Promonócito O promonócito é a célula intermediária entre o monoblasto e ...
Células Sanguíneas: Maduración Monocítica
El desarrollo de monocitos y macrófagos. Infografías. Ilustración ...
Leucopoyesis y función leucopoyética | PPTX
Promonocytes in Hematology and Medical Laboratory Science
Hematología 2015
O Monocito - Hemoclass - Hematologia e Medicina Diagnóstica
Células Mieloides Brancas | Concise Medical Knowledge
ATLAS DE HEMATOLOGIA: LEUCOPOYESIS
HEMATOLOGÍA: Plaquetas, Monocitos y Linfocitos
Promonócitos x Linfócitos Anômalos de Sézary: Achados no Hemograma ...
Fichero de Hematología: Morfología normal de las células sanguíneas.
HemoClass - Hematologia e Medicina Diagnóstica - NÃO ERRE MAIS A ...
Monocyte morphology and maturation | Medical laboratory, Hematology ...
Fisiología: Tema 6. Fisiología de los leucocitos
FICHERO DE HEMATOLOGIA: GLÓBULOS BLANCOS
🔵Proceso de formación y elementos inmaduros de los monocitos - YouTube
Linfocitos Reativos Vs Monocitos 2° Video Conferencia De Morfología
Sangue e hematopoiese | PDF
Promonocytes – Artofit
Curso Avançado de Morfologia em Leucemias e Linfomas – Curso de ...
PRACTICAHEMATM: ACTIVIDAD # 2. TM 25: MISS CELULA MIELOIDE
DIVULGACIÓN CIENTIFICA DE LA QUIMICA CLINICA: SECUENCIA DE MADURACION ...
Monoblastos: características, morfología, funciones
American Journal of Hematology | Blood Research Journal | Wiley Online ...
Celulas Sanguineas: Atlas de hematología: Monopoyesis y Linfopoyesis
Medicina Interna HEMATOLOGIA (anos 60). - ppt video online carregar
SANGRE Y HEMATOPOYESIS | Funciones de Macr&oacu...
Maduración de los monocitos - Célula Características Monoblasto Grande ...
Hematologia: Serie Leucocitaria, Monocito
Image: Monoblast, promonocyte and monocyte for Kids
Hematología: Leucopoyesis
HematologyOutlines - Atlas
Monocito | Anatomia patologica, Decora tus apuntes, Celulas sanguineas
Hematología Fichas: Monocito
Monoblasto | Hematología, Hematíes, Eritrocito
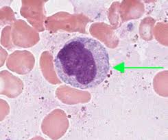
Promonócito | 12 a 25µm; Cromatina menos delicada, podendo o… | Flickr
HEMATOPOYESIS | Genially
Atlas Hematològico
Promegacariocito | Citologia, Citoplasma
Como não errar na identificação do promonócito: O promonócito é um ...
Pin en Hematología e inmunología