Showing 120 of 120on this page. Filters & sort apply to loaded results; URL updates for sharing.120 of 120 on this page
polypper – Store medisinske leksikon
Polypper i tarmen - få en hurtig og effektiv behandling
ØNH Frederikssund - Polypper
Polypper i næsen - Årsager, symptomer og behandling af polypperne
Håndtering af uventet cancer i lokalresecerede kolorektale polypper ...
Polypper med adenocarcinom i tykk og endetarm - Helsedirektoratet
Polypper – Anatomionline.dk
Galdeblære polypper - Lægehåndbogen på sundhed.dk
Polypper Hvorfor/ hvordan
Håndtering af gastriske polypper | Ugeskriftet.dk
Kolorektale polypper – egenskaper og symptomer - Veien til Helse
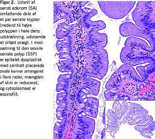
Serrate, hyperplastiske - og hyperplasilignende, kolorektale polypper ...
Polypper i næsen - Symptomer og behandling | Lungeforeningen
Hvad er polypper i Næsen? | hsfo.dk
Håndtering af gastriske polypper afhænger af den anatomiske ...
Polypper i ventrikel og duodenum | Ugeskriftet.dk
Polypper i blære: årsaker, behandling og mer - Legen din 2026
Polypper i næsen: hvad du skal vide
Fjerning av polypper - Kalbakkenklinikken
Behandling av polypper i tarmen | Aleris
Mandler & polypper – symptomer og behandling
Polypper i nesen - Volvat - Volvat
Skikkelig kule polypper – Marinbiologene
Med lukket mund og polypper har jeg lyttet til Niels Krøjgaard - Din ...
Fjernelse af Polypper i Næsen hos Voksne
Polypper i tykktarmen - Fakta om polypper i tykktarmen
Polypper og ørebetennelse – Føniks Paws
Polypper i tyktarmen og endetarmen
Børne polypper – Aarhus øre-næse-halsklinik
Jakter på polypper
Kirurgisk behandling av benigne kolorektale polypper 2008–21 ...
Hudtagger, fibroepiteliale polypper
Polypper i livmoren: Forekomst og behandling - Du er mamma
Polypper i tykktarmen | Telemark Endoskopiklinikk AS
Polypper i ventrikel og duodenum - Ugeskrift for Læger
Polypper i tarmen – få fjernet dem i tide | Book tid
Fakta om polypper i tykktarmen | Nutrition, Health fitness, Health
Fjernelse af Polypper hos Børn: En Tryg og Skånsom Behandling - Ciconia
Fjerning av polypper – Kalbakkenklinikken
Kolon polypper – Ojyn
Har du polypper i livmoderen? - hurtig afklaring
Næsepolypper - Netdoktor
Tarmpolypper: årsak, symptomer og behandling
Gastriske polypper: årsag, symptomer, terapi
The removal of tonsils and adenoids could increase the risk of stress ...
Hvad er en koloskopipolyp - XBX Endoscope
Opfølgningsprogrammer ved galdeblærepolypper | Ugeskriftet.dk
Fakta om nesepolypper - Nettdoktor
Polypp (zoologi) – Wikipedia
Juvenil polypose-syndrom er en sjælden årsag til kræft i ...
Polypper. Årsager, symptomer og behandling | iSUNDHED.dk
polypp – zoologi – Store norske leksikon
Behandling af næsepolypper - YouTube
Tykktarm og endetarmskreft - Nasjonalt handlingsprogram - Helsebiblioteket
Næsepolypper - Årsager, symptomer og behandling af næsepolypper
Understanding Nasal Polyps: Anatomy and Impact on Health - Overseas Doctor
Nasal polyps treatment and surgery! 3d medical animation|Dandelion Team ...
Nasenendoskopie » Ablauf einer Nasenspiegelung | MeinMed.at
Polypper: Typer, Behandlinger, og biopsi
5 naturlige behandlinger for nesepolypper - Veien til Helse
Hvad er polypper, og hvordan påvirker de vejrtrækningen - sundhed ...
Kirurgisk behandling av benigne polypper: Å kalle en spade for en spade.
Vejledninger - Øre-Næse-Halsklinikken i Horsens
Figur 6.1 Kontrolprogram efter fjernelse af polypper. 72 | Download ...
Labeled Nasal Polyps Cross-section Diagram Nasal Stock Vector (Royalty ...
Adenotomi (fjernelse af polypper) - Speciallægeselskabet Øre- Næse- Og ...
Se de smukke mikroskopiske videoer: Spirende polypper, musefostre og ...
Free Vector | Diagram showing polyp removal
JNET класификация на полипите
Nasalstenose (Inflammatorisk (Rhinosinuitis: Kronisk med polypper,…
Categorization of Nasal Polyps | SpringerLink
Minimally invasive treatment of gallbladder polyps
Nesepolypper - NHI.no
Nasal Polyps Treatment Options
Nasal polyps | enteducationswansea
Valleculae And Pyriform Sinuses
When is a biologic indicated for chronic rhinosinusitis with nasal ...
Klumpfornemmelse i halsen - Ørelæge, næselæge, halslæge - Nykøbing Falster
Myomer og polypper- hva er det og hva gjør de med fertiliteten? - Jeg ...
nose polyp | nasal polyps remove| sinus polyps removal| polypectomy 3d ...
Polyppkurs for endoskopiteamet (TET polyppkurs) 7.-8. mars 2022 ...
Näsan Diagram | Quizlet
AKUTT PANKREATITT – PRIMÆRUTREDNING OG BEHANDLING I TIDLIG FASE - Kirurgen