Showing 120 of 120on this page. Filters & sort apply to loaded results; URL updates for sharing.120 of 120 on this page
PIM3 Kinase: A Promising Novel Target in Solid Cancers
PIM3 knockout decreased proliferation, viability, and motility in ...
Proto-Oncogene Serine/Threonine Kinase PIM3 Promotes Cell Migration via ...
PIM3 overexpression promotes acute myeloid leukemia (AML) cell ...
(A) Immunoblot analysis displaying ectopic expression of PIM3 in NIH ...
Pim3 is a glucose-responsive gene expressed exclusively in pancreatic ...
Expression profiles of PIM3 at different stages (S1-S4). | Download ...
PIM3 Gene - GeneCards | PIM3 Protein | PIM3 Antibody
RETRACTED: PIM3 Functions as Oncogenic Factor and Promotes the Tumor ...
PIM3 re-introduction rescued the anti-proliferative and anti-migratory ...
PIM3 Promotes the Proliferation and Migration of Acute Myeloid Leukemi ...
Endothelial Pim3 kinase protects the vascular barrier during lung ...
PIM3 promotes BAD phosphorylation in acute myeloid leukemia (AML ...
PIM3 Antibody (NBP2-55816): Novus Biologicals
PIM3 promotes the chemotaxis of acute myeloid leukemia (AML) cells via ...
The Presence of PIM3 Increases Hepatoblastoma Tumorigenesis and Tumor ...
PIM3 Assay Kit 79886 from BPS Bioscience, Inc. | Biocompare.com
An efficient and effective PIM3 kinase - YouTube
Manipulation of miR-33a levels directly affects PIM3 expression. (a ...
PIM3 Antibody (NBP1-50553): Novus Biologicals
PIM3 expression in human acute myeloid leukemia (AML) cell lines. (A ...
PIM3 kinase promoted hepatoblastoma cell metastasis. (a) Soft agar ...
PIM3 kinase regulated cell surface expression of CXCR4. (a ...
Pim3 negatively regulates the ERK1/2 signaling pathway. Isolated islets ...
PIM3 is regulated in vitro by aldosterone through the mineralocorticoid ...
PIM3 promotes cell migration and invasion in HCC cells. (A,B ...
PIM3 Kinase Inhibitor VII, M-110 | Sigma-Aldrich
The serine‐threonine kinase PIM3 is an aldosterone‐regulated protein in ...
PIM3 kinase promotes tumor metastasis in hepatoblastoma by upregulating ...
PIM3 kinase inhibition by diosgenin glycosides. PIM3 activity at a ...
Human PIM3 (Serine/threonine-protein kinase pim-3) QuickTest ELISA Kit ...
Pim3 up-regulation by YY1 contributes to diabetes-induced cardiac ...
PIM3 was targeted by miR-203b and inversely correlated with miR-203b in ...
PIM3 is regulated in vitro by aldosterone. mCCDcl1 cells were treated ...
Northern blot demonstrating that PIM3 is up-regulated by all three of ...
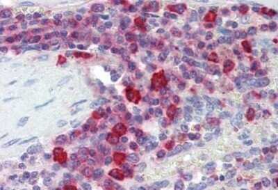
PIM3 Antibody (C-term) - Purified Rabbit Polyclonal Antibody (Pab) IHC ...
PIM3 kinase inhibition with siRNA decreased proliferation and migration ...
PIM3 Polyclonal Antibody, Invitrogen™ 400 μL; Unconjugated | Fisher ...
PIM3 modulation differentially regulated CXCR4 signaling pathway. (a ...
The direct Myc target Pim3 cooperates with other Pim kinases in ...
(A) The sequence alignments of human Pim3 and Pim1 (PDB ID: 3UIX). The ...
PIM3 knockout decreased growth over time in hepatoblastoma cells and ...
PIM3 inhibition by biflavonoids. PIM3 activity at a range of ...
Human PIM3 ELISA Kit,Absin_specification/price/image_Bio-Equip in China
Full article: Pim3 negatively regulates glucose-stimulated insulin ...
Chemi-Verse™ Mouse PIM3 Kinase Assay Kit
[a] Generated homology model of PIM3 kinase. [b] Superposition of ...
(A) In vitro kinase assay demonstrating that the PIM3 K69M mutant has ...
PIM3 Fusion Protein Ag17748 | Proteintech
PIM3 regulates the RhoA activity and enhances actin polymerization ...
Quantitative analysis of the proteome in Huh7 cells regulated by PIM3 ...
PIM3 renal expression. (A) Quantification by RT-PCR of Pim3 mRNA in ...
Anti-PIM3 / PIM-3 Antibody | Rabbit anti-Human Polyclonal | LSBio
Predicted SWISS crystal structure of PIM3. A The entire protein with ...
Roles of Pim‐3, a novel survival kinase, in tumorigenesis - Mukaida ...
PIM Kinases and Their Relevance to the PI3K/AKT/mTOR Pathway in the ...
Figure 2 from Title Pathophysiological roles of Pim-3 kinase in ...
PIM3-AMPK-HDAC4/5 axis restricts MuERVL-marked 2-cell-like state in ...
Anti-PIM3 antibody - C-terminal (ab198842) | Abcam
人Pim-3原癌基因(PIM3)检测试剂盒使用说明书-人Pim-3原癌基因(PIM3)检测试剂盒操作注意事项
Molecular Medicine Reports
Pathophysiological roles of Pim-3 kinase in pancreatic cancer ...
MiR-6838-5p targeted PIM3. A The binding site between miR-6838-5p and ...
Human PIM3(Pim-3 Oncogene) Microsample ELISA Kit
(PDF) PIM kinases: An overview in tumors and recent advances in ...
GNE-955 is a Potent Pan-Pim Inhibitor for Multiple Myeloma and Leukemia ...
PPT - 原癌基因 Pim-3 在胰腺癌发生中的作用机制以及分子靶向治疗药物的开发 PowerPoint Presentation - ID ...
Rabbit Polyclonal Antibody to PIM3_PIM3-远泰生物抗体定制
JCI - PIM3-mediated phosphorylation stabilizes myeloid leukemia factor ...