Showing 120 of 120on this page. Filters & sort apply to loaded results; URL updates for sharing.120 of 120 on this page
PathAssist Derm Launches on AISight®: Advancing Dermatopathology ...
ENTELLUS MEDICAL LF-100 PathAssist Light Fiber 27.6cm x 117cm (X) - GB ...
PathAssist
PathAI Launches PathAssist Derm, an AI-Powered Tool for Skin Lesion ...
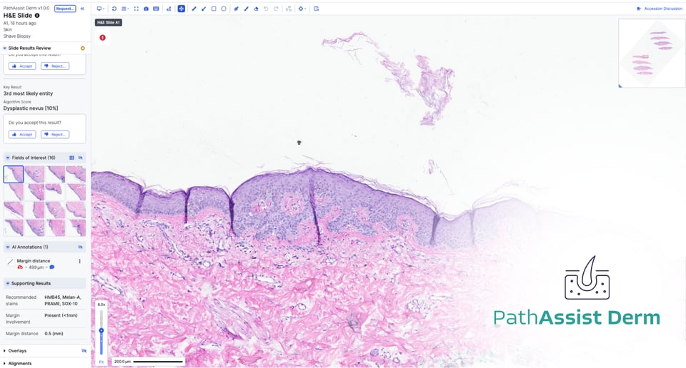
Introducing PathAssist Derm
Descargar el folleto de PathAssist
Developing PathAssist Derm: How PathAI is Poised to Disrupt ...
PathAssist - Onward Assist
PathAssist - Hello! 👋 We’re working on something exciting—PathAssist, a ...
Thrilled to announce the launch of PathAssist Derm! So proud to be part ...
PathAI launches PathAssist Derm for skin lesion identification and ...
PathAssist valoseeker | Otoplug
Have you experienced the new pathassist.org? - American Association of ...
#pathology #pathassist #uwpathology | University of Washington ...
PathoAssist - AI Supported Pathology Platform - Oteo Health ...
#pathassist #paday2025 | Crystal Leung MHS, PA(ASCP) (CCCPA-CCCAP)
Introducing the new pathassist.org! - American Association of ...
#pathassist | American Association of Pathologists' Assistants
#invision #visionboard #pathassist #pane #mapa #pathologistsassistants ...
EVMS Pathologists Assistant Program (@evmspatha) • Instagram photos and ...
Cision Vision on LinkedIn: #anatomicpathology #pathology #patientcare # ...
Assisted Pathology For Better Decision Making
Digital - Thank you to Dr. Rajendra Singh and Dr. Anil Parwani for an ...
American Association of Pathologists' Assistants (AAPA)
Today, on Pathologists' Assistants Day, we celebrate our incredible ...
PA Day - American Association of Pathologists' Assistants (AAPA)
American Association of Pathologists' Assistants | Washington D.C. DC
#pathassist #patha #labmedicine #continuingeducation #pathology #pane # ...
#pathassist #aapaspring25 | American Association of Pathologists ...
#pathassist #utmbcls #utmbpatha | Leah Greene Williamson EdD,PA (ASCP)
AAPA (@pathassist) • Instagram photos and videos
@pathassist's link in bio | Instagram and socials | Linktree
Pathological Definition
Log In Steps - American Association of Pathologists' Assistants (AAPA)
American Association of Pathologists' Assistants on LinkedIn: #pathassist
🔵 Have... - American Association of Pathologists' Assistants | Facebook
American Association of Pathologists' Assistants on LinkedIn: # ...
Congratu... - American Association of Pathologists' Assistants
KWB Pathology Associates on LinkedIn: #kwbpathology # ...
Instagram
We're Hiring: Pathologist Assistant – Los Angeles, CA | Amit Kesrwani
Pathfast Brochure | C Reactive Protein | Thrombosis
WSU PA Program Networking Event : r/pre_PathAssist
GitHub - rkjsworks/pathassist_HistomicsUI
#pathassist #aapa50 #pathology #processimprovement | Elizabeth Rizzo
#utmbpatha #utmbcls #pathassist #medicaleducation | Leah Greene ...
#pathassist | Rosalind Franklin University of Medicine and Science
New STRYKER LPLF-105 Entellus XprESS LoProfile w/PathAssist LED Light ...
AP_PathAssist (@APathassist) | Twitter
Loma - Join us in congratulating the newest graduates of our ...
Medical Device Network
Latest sinus balloon procedure blows inflammation away | Lifestyles ...
#pathologistsassistants #aapa #medicaleducation #scholarships ...
About us - Onward Assist
Leah Greene Williamson MHS,PA (ASCP),MLS on LinkedIn: #pathassist # ...
Panel of National Pathology Leaders on LinkedIn: #pnpl #thoughtleaders ...
#digitalpathology #macroscopicdata #standardization #pathassist ...
Manage Profile 4 - American Association of Pathologists' Assistants (AAPA)
AI Product Menu
Quick "how to gross" series from The Pathologist : r/pre_PathAssist
Manage Profile 2 - American Association of Pathologists' Assistants (AAPA)
New York Entellus Balloon Dilation Surgeon
Troubleshooting - American Association of Pathologists' Assistants (AAPA)
The... - American Association of Pathologists' Assistants | Facebook
Manage Profile 3 - American Association of Pathologists' Assistants (AAPA)
BOT Candidate Daniel Soderberg - American Association of Pathologists ...
Did you... - American Association of Pathologists' Assistants | Facebook
pathassist-health · GitHub
American Association of Pathologists' Assistants
Our... - American Association of Pathologists' Assistants
#healthcare #academics #pathology #pathassist #bms #histology #tissue # ...
New... - American Association of Pathologists' Assistants
Loma Linda... - Loma Linda University School of Medicine