Showing 118 of 118on this page. Filters & sort apply to loaded results; URL updates for sharing.118 of 118 on this page
Clinical and Preclinical Targeting of Oncogenic Pathways in PDAC ...
Summary of tumor microenvironment driven by oncogenic KRAS. PDAC ...
Mechanisms of PDAC subtype heterogeneity and therapy response: Trends ...
PDAC progression is associated with crosstalk between neurons and ...
PDAC 2026 - Mining.com.au
Pdac Stroma : Pathologic classification of "pancreatic cancers ...
Exosomes in the Treatment of Pancreatic Cancer: A Moonshot to PDAC ...
Frontiers | The PDAC Extracellular Matrix: A Review of the ECM Protein ...
pdac – pdcaはもう古い – XDHN
Main factors that influence PDAC progression. PDAC consists of a ...
PDAC metabolism: interplay between adenocarcinoma cells and stellate ...
Tumor microenvironment of PDAC. The tumor microenvironment of PDAC is ...
PDAC 2023: Here's What You Need to Know
Driver mutations in PDAC and HCC development. (A) Development of PDAC ...
Schematic representation of the mechanistic role of TAMs in PDAC ...
Targeting dendritic cells to drive PDAC immunotherapy response: Trends ...
Molecular mechanisms by which sensory neurons promote PDAC progression ...
Cross-talk between PDAC cells and TME. PDAC cells have been shown to ...
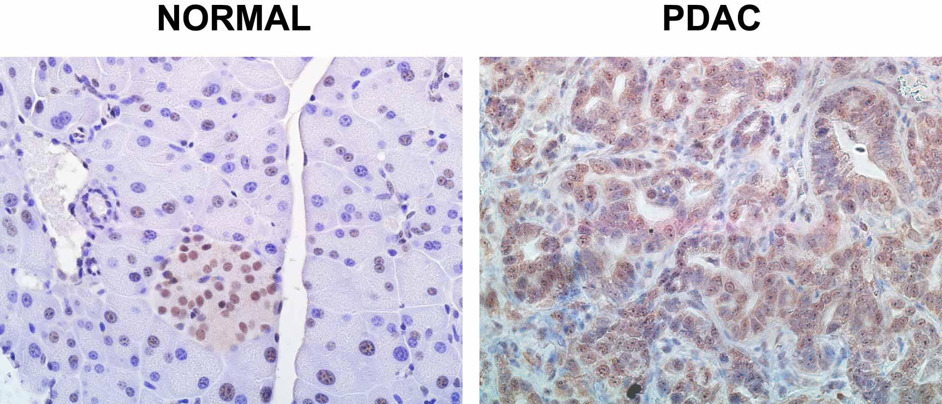
DEPDC1B expression in PDAC cell lines and the effect of DEPDC1B on PDAC ...
Biophysics in PDAC tumor microenvironment | BioRender Science Templates
Pancreatic Ductal Adenocarcinoma PDAC
PDAC patients demonstrated an increased activation status of ...
PDAC 2025 Brings the World to Toronto March 2-5 - NAI 500
PDAC 2025: Here's What You Need to Know | INN
Registration opens for PDAC 2026: The World’s Premier Mineral ...
Nutrient acquisition strategies utilized by PDAC cells. PDAC cells ...
PDAC 2026: Mining Industry Conference
PDAC 2025: Goiás marca presença no maior evento de mineração do mundo
PDAC 2023 Convention Welcomes 23,819 Attendees to World’s Premier ...
PDAC 2025 to address mining sector's major issues, opportunities ...
Study workflow. 20 PDAC tumors including surgical resections and fine ...
Dependence of PDAC cell lines on KRAS Q61 mutants with respect to ...
Spatially resolved analysis of PDAC by Bulk2Space a Collection of ...
PDAC 2025 brings the world to Toronto March 2-5
Registration now open for PDAC 2025: The World’s Premier Mineral ...
PDAC cell lines. (A) Laser scan microscopy and Western blotting of the ...
PDAC | PDAC 2024 Convention welcomes the world to the Premier Mineral…
Histology Of Pancreatic Cells
Frontiers | Innate and adaptive immune-directed tumour microenvironment ...
Molecular Cancer Epigenetics | RBCT
PDAC, the Influencer Cancer: Cross-Talk with Tumor Microenvironment and ...
Beware the Splice of Life: This Killer Protein Causes Pancreatic Cancer
Frontiers | Innate immunity in pancreatic cancer: Lineage tracing and ...
Clinical Features and Prognostic Impact of Pancreatic Ductal ...
Acinar-to-Ductal Metaplasia (ADM): On the Road to Pancreatic ...
Treatment of pancreatic cancer in 2022 | Cambridge Prisms: Precision ...
Pancreatic cancer: Advances and challenges: Cell
The Role of the Tumor Microenvironment in Pancreatic Ductal ...
Overcoming the Fibrotic Fortress in Pancreatic Ductal Adenocarcinoma ...
Survival-Associated Cellular Response Maintained in Pancreatic Ductal ...
Pancreatic Adenocarcinoma Invasiveness and the Tumor Microenvironment ...
Challenges and Opportunities in Targeting the Complex Pancreatic Tumor ...
Study finds cancer cells use a new fuel in absence of sugar | Michigan ...
Advances in Pancreatic Ductal Adenocarcinoma Treatment
Cancers | Free Full-Text | Diagnostic Bioliquid Markers for Pancreatic ...
Pancreatic Ductal Adenocarcinoma (PDAC) Organoids: The Shining Light at ...
Metabolism remodeling in pancreatic ductal adenocarcinoma
Study procedures. Samples of pancreatic ductal adenocarcinoma (PDAC ...
Minimally invasive determination of pancreatic ductal adenocarcinoma ...
A Comprehensive Review of the Current and Future Role of the Microbiome ...
Cancers | Free Full-Text | PDAC, the Influencer Cancer: Cross-Talk with ...
Frontiers | Deciphering the secrets of tumor-initiating cells in ...
Pathogenesis of PDAC. Taken from Wood et al. [3]. | Download Scientific ...
Frontiers | Review of the endocrine organ–like tumor hypothesis of ...
Longitudinal Analysis of Human Pancreatic Adenocarcinoma Development ...
MicroRNAs as Indicators of Malignancy in Pancreatic Ductal ...
Recent advances in immunotherapy for pancreatic cancer
Advances in Early Detection of Pancreatic Cancer
Exploring the metabolic landscape of pancreatic ductal adenocarcinoma ...
Kiemen Lab
Frontiers | Reprogramming of glucose metabolism in pancreatic cancer ...
Full article: Extensive Review of Nanomedicine Strategies Targeting the ...
Frontiers | An integrated overview of the immunosuppression features in ...
Genome-Wide Analysis of lncRNA-mRNA Co-Expression Networks in CD133 ...
Development and characteristics of PDAC. A) Schematic representation of ...
| Histology of pancreatic ductal adenocarcinoma. Created with ...
The biology of pancreatic cancer morphology - Pathology
Therapeutic Strategies for Pancreatic-Cancer-Related Type 2 Diabetes ...
Frontiers | Adjuvant Treatment in Pancreatic Cancer: Shaping the Future ...
Pancreatic ductal adenocarcinoma subtypes: what your type means? - Fred ...
Inflammatory Processes: Key Mediators of Oncogenesis and Progression in ...
The immunosuppressive tumor microenvironment of PDAC. The infiltration ...
Circulating Tumor Cell Subpopulations Predict Treatment Outcome in ...
of tumor microenvironment driven by oncogenic KRAS. PDAC: pancreatic ...
The research process diagram of this study. PDAC, pancreatic ductal ...
Origin of pancreatic ductal adenocarcinoma. It is widely accepted that ...
Targeting pancreatic cancer immune evasion by inhibiting histone ...
Current Status of the Diagnosis of Early-Stage Pancreatic Ductal ...
PDAC-intrinsic immunoevasive properties. APC, antigen-presenting cell ...
Pathology of pancreatic ductal adenocarcinoma: Facts, challenges and ...
Events – Canadian Mining Magazine
Genomic and metabolic alterations in pancreatic ductal adenocarcinoma ...
Detection of Pancreatic Ductal Adenocarcinoma-Associated Proteins in ...
Examples of differentiation at different grades in pancreatic ductal ...
Spatial profiling of human pancreatic ductal adenocarcinoma reveals ...
Pancreatic ductal adenocarcinoma and acinar cells: a matter of ...
Precancer neoplasia and the transition to PDAC. PanIN (top) or IPMN ...
Differentiation and Inflammation: ‘Best Enemies’ in Gastrointestinal ...
The Role of the Microbiome in Pancreatic Cancer
Pancreatic cancer – a mechanobiology approach | Request PDF
Representative annotated regions of PDAC, chronic pancreatitis, and ...
Epithelial to Mesenchymal Transition as Mechanism of Progression of ...
Pancreatic Ductal Adenocarcinoma: Relating Biomechanics and Prognosis
The pancreatic ductal adenocarcinoma (PDAC) complex microenvironment ...
Role of Immune Microenvironment in Pancreatic Ductal Adenocarcinoma ...
STEMCELL Technologies | PancreaCult™ Organoid Media (Human)
Risk of pancreatic adenocarcinoma (PDAC) incidence with increasing body ...
Deciphering the secrets of tumor-initiating cells in pancreatic ductal ...