Showing 115 of 115on this page. Filters & sort apply to loaded results; URL updates for sharing.115 of 115 on this page
Histological comparison of a normal and a mucocele cadaveric appendix ...
Appendix Neoplasm 1381 Appendix Incidental Mucocele Open | Surgery Photos
Mucocele of the appendix - PMC
Mucocele of appendix - YouTube
(PDF) Large mucocele of appendix
(PDF) Mucocele of appendix
Mucocele of the Appendix | PDF
Rare Presentation of Mucocele of Appendix | PDF | Science & Mathematics
Mucocele of the appendix with hematuria - PMC
Mucinous adenocarcinona of the appendix - PMC
(PDF) Rare Cadaveric Finding of a Grossly Enlarged Mucocele Appendix
CT Diagnosis of Mucocele of the Appendix in Patients with Acute ...
(PDF) Ruptured Mucocele of Appendix
(PDF) Mucocele of Appendix
Ajr-Mucocele Appendix | PDF | Peritoneum | Medical Specialties
Mucocele of the Appendix Discovered Golestan Hospital of Ahwaz: A Case ...
mucocele of appendix | Semantic Scholar
(PDF) Mucocele of the Appendix
PPT - Surgical pathology of the appendix PowerPoint Presentation, free ...
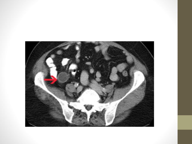
Mucocele of the appendix in a 66-year-old woman. (A) Axial contrast ...
Figure 1 from Giant mucocele of the appendix – laparoscopic management ...
(PDF) Colonoscopic diagnosis of mucocele of the appendix
Appendix | Surgery Photos
(PDF) Mucocoele of the appendix
(PDF) Mucocele of the appendix and laparoscopic treatment
(PDF) A general overview of mucocele of appendix
(PDF) Mucocele of the appendix
Mucocele Appendix: Causes, Symptoms & Diagnosis
PPT - Diseases of the Appendix: Developmental Abnormalities ...
SciELO Brasil - Mucocele of the appendix: what to expect Mucocele of ...
CECT image of mucocele appendix, with wide base and communicating with ...
Giant Appendiceal Mucocele with High Grade Mucinous Neoplasm—Case ...
Laparoscopic resection for appendiceal mucocele secondary to ...
Mucocele from mucinous adenocarcinoma of the appendix. Axial CT scan ...
Natural History from Appendiceal Mucocele to Jelly Belly
Acute appendicitis | PDF
Appendiceal Mucocele: A Case Report in King Fahad Hospital, Medina
Appendiceal Mucocele.pptx
Appendiceal_Mucocele_Chronic_Appendicitis.pdf
Appendicular neoplasm.pptx
(PDF) Mucocele of the Appendix: A Presentation
(PDF) A huge appendiceal mucocele
(PDF) Mucocele Appendix- literature review
(PDF) Appendiceal mucocele as an exceptional cause of ileocecocolic ...
(PDF) Appendiceal mucocele: three cases with different clinical ...
(PDF) Mucocele of the Appendix: Case Report & Review of Literature
(PDF) Appendiceal mucocele: A rare presentation
(PDF) Appendiceal mucocele secondary to torsion in an asymptomatic patient
(PDF) Appendiceal Mucocele
(PDF) Three Cases of Appendiceal Mucocele: From Diagnosis to Management
(PDF) Mucocele of the appendix: what to expect
(PDF) Appendiceal mucocele masquerading as an epithelial borderline ...
(PDF) Giant Appendiceal Mucocele with High Grade Mucinous Neoplasm—Case ...
(PDF) Mucocele of the appendix: appendectomy or colectomy?
Diagnostic Imaging – Toronto Notes
(PDF) Appendiceal Mucocele: Delayed Presentation, Treatment and ...
Laparoscopic Appendectomy for Giant Appendiceal Mucocele in an Elderly ...
Mucocele of the appendix: An unusual cause of lower abdominal pain in a ...
Oral Mucocele Burst at Benjamin Whitley blog
Figure 1 from CT Features of Appendiceal Mucocele | Semantic Scholar
rightiliacfossa-171202174951.pdf
Appendiceal Mucocele of Mucinous Cystadenocarcinoma with a Cutaneous ...
appendiceal mucocoele | pacs
(PDF) Appendiceal mucocele
Endoscopic diagnosis and treatment of an appendiceal mucocele: A case ...
Appendiceal Mucocele: A Diagnostic Dilemma in Differentiating Malignant ...
Low Grade Appendiceal Mucinous Neoplasm Presenting as a Mucocoele of ...
(PDF) Mucocele of the appendix: case report and review of literature
Appendiceal mucocele in a 57 year old male with abdominal distension ...
APPENDICEAL MUCOCELE | NR RADIOLOGY
Appendiceal Mucocele: CT - Sumer's Radiology Blog
A Multimodality Diagnostic Imaging Approach for an Appendiceal Mucocele ...
Histopathology of ruptured villous appendiceal mucocele. Right handed ...
Minimally Invasive Surgery for Resection of Appendiceal Mucocele: A ...
Appendiceal Mucinous Tumor Presenting as Recurrent Bowel Obstruction
Imaging Features of Appendiceal Mucoceles and It’s Complications ...
Predicting Underlying Neoplasms in Appendiceal Mucoceles at CT: Focal ...
MDCT Diagnosis of an Appendiceal Mucocele with Acute Torsion | AJR
Another view of appendiceal mucocele | Download Scientific Diagram
Appendiceal mucocele: a missed diagnosis | BMJ Case Reports
Mucocele of the appendix. Coronal T2-weighted MRI sequence showing a ...
Figure 1 from Laparoscopic appendectomy for appendiceal mucocele in an ...
High-grade appendiceal mucinous neoplasm presenting as a giant ...
Minimally invasive surgery for appendiceal intussusception caused by ...
(PDF) Appendiceal Mucocele in an Elderly Patient: How Much Surgery?
appendiceal mucocele | pacs