Showing 120 of 120on this page. Filters & sort apply to loaded results; URL updates for sharing.120 of 120 on this page
Ryan Reynolds jokes about defibrillator gift for Wrexham series
New outdoor defibrillator installed in the High Peak
Three new defibrillator boxes installed on outskirts of Limerick
defibrillator emoji | AI Emoji Generator
Defibtech Defibrillator Accessories | Cromwell Tools
A first in North Dakota: a new defibrillator implant
Defibrillator set to be installed in memory of 'family man' darts champion
'Completely unacceptable' theft of defibrillator near Bridgnorth
Defibrillator Battery SAV-C0011 – Li-Ion | DINI OTC
DefibSafe 2 Public Access Defibrillator Cabinet | AED Unit | Defibrillator
How Frankenstein inspired the invention of the defibrillator
When Dead Parties Use Antisemitism as a Defibrillator | Centrale
The D In Aed Stands For Defibrillator - Sanalmagaza
Defibrillator Point | EurekaDirect
AED Defibrillator Station
New public access defibrillator installed in Rosemount
BMF Clear Resin Brings Transparent Micro 3D Printing
Lebensretter aus der Luft: Wenn die Drohne den Defibrillator liefert
FF Bad Ischl: Defibrillator als großzügige Spende
Teurer Defibrillator am Gemeindehaus in Ettersburg gestohlen - digital ...
Polizei-News Weimar, 26.04.26: Defibrillator entwendet
Advanced Micro Devices Shares Have Surged Over 52% YTD As It Continues ...
Advanced Micro Devices Guides for Higher Quarterly Revenue - WSJ
Rettender Schock in der Kita: Defibrillator für den Notfall
Bad Oeynhausen: Defibrillator an Kirche gestohlen
Spende: Lions-Club überreichte Defibrillator für Schwanenstadt ...
Plötzlicher Herztod auf dem Sportplatz: FLB startet Defibrillator ...
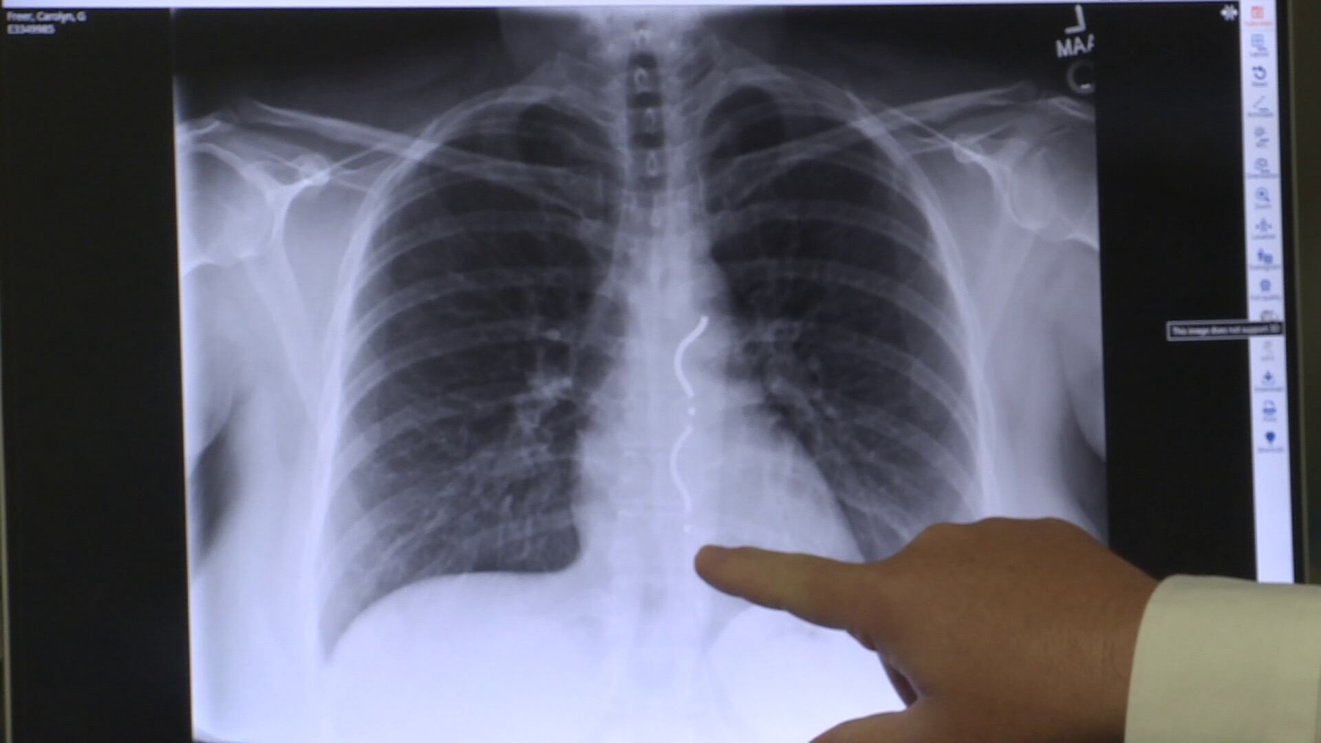
World's smallest defibrillator installed at John Hunter Hospital ...
Insertion of a Pacemaker or Defibrillator Device | Monash Heart Private
Cardiac Implantable Electronic Miniaturized and Micro Devices
Wearable Cardioverter Defibrillator at Mia Mort blog
Cardioverter Defibrillator Device at Patricia Kibbe blog
30 Implantable Defibrillator Stock Photos, High-Res Pictures, and ...
Public Defibrillator | Microcare
How Does A Pacemaker Defibrillator Work at Angela Rich blog
Cardiac Defibrillator Radiology at Olivia Painter blog
Automated External Defibrillator (AED) - Microtech Electronics
Implantable Defibrillator Pulse Generator at Margaret Newsom blog
Portable Defibrillator Photograph by Microgen Images/science Photo ...
Defibrillators - Cardiac Defibrillator Latest Price, Manufacturers ...
What Is An Internal Defibrillator at Tony Pelletier blog
Defibrillation I Indications I Operating modes I Types of defibrillator ...
Automated External Defibrillator – Inala Medical
Premium Photo | Paramedic using an external defibrillator during ...
Defibrillator Working Principle at Billy Mcmanus blog
Types of Defibrillator – Overview & Uses | Calmed Equipment
Defibs | Automated External Defibrillator | The Defib Store
Automated External Defibrillator Heartstart Manufacturer, Exporter
Lifeaz: Portable Defibrillator for Home Emergencies – TechAcute
Automatic External Defibrillator
External Defibrillator Started at Jonathan Worgan blog
The Ultimate Defibrillator Buying Guide for Hospitals | Sakomed
Premium Vector | Automated external defibrillator it is electronic ...
Automatic External Defibrillator Aed First Aid Cardiac Portable ...
SC 8000 DEFIBRILLATOR
Automated External Defibrillator In French Language at Holly Standley blog
Defibrillator
Automatic External Defibrillator With Integrated Electrocardiogram ...
Defibrillators | Buying a Defibrillator | DefibWarehouse
Heartstart 3000, battery operated micro-controlled defibrillator ...
Cardiac Defibrillator
Icd Implantable Cardioverter Defibrillator
Panduan Komprehensif tentang Defibrillator Eksternal Otomatis - Alodokter
Automated External Defibrillator Australia at Victoria Jenkins blog
CH-DM7000 Defibrillator Monitor
Cardiac Portable Biphasic Manual Defibrillator for Hospital Ambulance ...
Implantable Defibrillator Mri Safety at Joseph Sauls blog
MRI Defibrillator
Best Automated External Defibrillator from China manufacturer - Poweam ...
10 benefits of using a defibrillator in case of a cardiac arrest ...
Modern Portable Defibrillator with Advanced User Interface | Premium AI ...
Dm7000 New Arrival Hospital Use Monophasic Portable Defibrillator ...
Micro-credentials are changing how we learn
Daring Morecambe employees take on skydive to fund life-saving ...
Reynolds jokes 'defibrillator' needed to watch new 'Welcome to Wrexham ...
Ryan Reynolds suggests Welcome to Wrexham 'fifth season gift' of ...
Achieving true optical transparency in micro-precision 3D printing ...
Lebensrettung in Kärnten: So findet man im Notfall rasch einen ...
Több mint 60 automata defibrillátor került márciusban az ország ...
Mini AED Trainer XFT-D0009 (Ultra Portable) | DefibWarehouse - Wide ...
The Miniaturization of Cardiac Implantable Electronic Devices: Advances ...
Automated External Defibrillators (AEDs) - ZOLL Medical
Defibrillatore semiautomatico Jousing iAED-S1 - microtechsrl
Different Types of Defibrillators & Their Applications - Emcare ...
Microlab Spirometer - Primarycaresupplies
How to Use a Defibrillator: Steps and FAQ
Select Safety Sales - Defibtech DCF-A120-EN Lifeline Fully Automatic ...
Defibrillation Strategies for Refractory Ventricular Fibrillation | New ...
Mini Portable Defibrillators Can Turn A Neighborhood Into A Community ...
Zoll Defibrillators - Latest Price, Dealers & Retailers in India
Radiography of Pacemakers and Implantable Cardioverter Defibrillators | AJR
A Guide To The Types Of Defibrillators: Overview & Uses
AED Defibrillators | Philips HeartStart FRx | HRD
Implantable Defibrillator: | Biotronik
Defibrillators for Sale, AED, Resuscitation Equipment Online
Deborah Heart and Lung Center Implants Its First Combined CCM ...
Types of Defibrillators
Looking After and Testing Your Automated External Defibrillators
Buy Cardiac Science defibrillators | British Heart Foundation - Buy ...
The Importance of Automatic External Defibrillators in Saving Lives ...
Automatic External Defibrillators - Aed7000 Automated External ...
Manual Monitor/Defibrillator for ALS | ZOLL Medical
The Pulse of Progress: A Journey Through the History of Defibrillation
Shop Defibrillators Online (Free Delivery AU-Wide!) | Defibs Direct
HC-8000D Medical Portable 7 inches Biphasic Emergency External ...
MedTech
Professional monitor/defibrillators - Philips
Types Oof Implanted Defibrillators Online | emergencydentistry.com