Showing 120 of 120on this page. Filters & sort apply to loaded results; URL updates for sharing.120 of 120 on this page
CRMP2, YES1, and MAPRE1 are direct targets of miR-93. a Schematic ...
Combinatorial expression of MAPRE1 and MTUS1 genes improves breast ...
MAPRE1 Gene - GeneCards | MARE1 Protein | MARE1 Antibody
CircSETD3 and MAPRE1 inhibit α-tubulin acetylation a Expression of ...
MAPRE1 is a downstream target gene of miR-526b-3p. (a) Prediction of ...
Lonafarnib suppresses MAPRE1 expression and interrupts its interaction ...
MAPRE1 Monoclonal Antibody (4F3) (H00022919-M02)
(a and b) Tandem UTRs for Tardbp and Mapre1 are shown together with ...
MiR-615-5p and miR-1538 bind and inhibit circSETD3 and MAPRE1 ...
CircSETD3 promotes NPC migration and invasion by regulating MAPRE1 a ...
MAPRE1 Antibody - Cat. No. 18-737 | ProSci
MAPRE1 - Wikipedia
MAPRE1 Antibody - BSA Free (NBP1-84928) by Novus, Part of Bio-Techne
Mapre1 Line, Protein, Human, Gene, Terf1, Adenomatous Polyposis Coli ...
Recombinant Human MAPRE1 His Protein (NBP1-50935) by Novus, Part of Bio ...
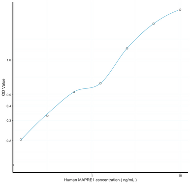
Human MAPRE1 ELISA Kit | Microtubule Associated Protein RP/EB Family ...
(PDF) MAPRE1 as a Plasma Biomarker for Early-Stage Colorectal Cancer ...
MAPRE1 Gene - Somatic Mutations in Cancer
MAPRE1 Antibody (NBP2-97334): Novus Biologicals
CircSETD3 and MAPRE1 promote the migration and invasion of NPC by ...
Tissue expression of MAPRE1 - Staining in liver - The Human Protein Atlas
circSETD3 regulates MAPRE1 through miR-615-5p and miR-1538 sponges to ...
MAPRE1 as a Plasma Biomarker for Early-Stage Colorectal Cancer and ...
Performance of CEA, MAPRE1, and CEA combined with MAPRE1 in the ...
Identification and characterization of ternary complexes consisting of ...
t(11;20)(q23;q11) KMT2A/MAPRE1
Anti-EB1 Antibody from rabbit | Sigma-Aldrich
MiR-526b-3p inhibits the development and ADR resistance of glioma ...
Experimental Conditions to Retrieve Intrinsic Cooperativity α Directly ...
Anti-EB1/MAPRE1 Antibody, clone 1M14 ZooMAb® Rabbit Monoclonal ...
大鼠微管关联蛋白RP/EB家族成员1(MAPRE1)ELISA试剂盒_大鼠ELISA试剂盒_ELISA试剂盒_产品中心_上海源桔生物科技中心
Anti-MAPRE1 Antibody, Rabbit PAb, 201175-T08 | Sino Biological
Representative western blot and RT-PCR assays of MAPRE1. (a) The first ...
MiR-526b-3p Inhibits the Resistance of Glioma Cells to Adriamycin by ...
MAPRE1/EB1抗体 (ab50188)| Abcam中文官网
Monoclonal Antibody to Microtubule Associated Protein RP/EB Family ...
Multiplex Assay Kit for Microtubule Associated Protein RP/EB Family ...
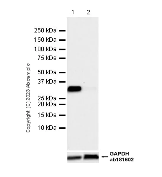
Anti-MAPRE1/EB1 antibody (ab50188) | Abcam
Addgene: pSpCas9(BB)-2A-GFP_MAPRE1-KI-gRNA#2
Lonafarnib Is a Potential Inhibitor for Neovascularization - PMC
MAPRE1/EB1抗体 (ab232970)| Abcam中文官网
Addgene: qTAG-C-Solo-mStayGold-MAPRE1
(A) Illustration of the KMT2A::DSCAML1 fusion detected by Heme-STAMP in ...
IHCeasy MAPRE1/EB1 Ready-To-Use IHC Kit KHC2494 | Proteintech
Anti-MAPRE1 Human Protein Atlas Antibody
anti-MAPRE1 antibody | Rabbit anti-Human, Pig Microtubule Associated ...
Addgene: pX330-PITCh-MAPRE1
Microtubule Associated Protein RP/EB Family, Member 1 (MAPRE1 ...
Human MAPRE1(Microtubule Associated Protein RP/EB Family, Member 1 ...
Anti-MAPRE1/EB1 antibody (ab232970) | Abcam
MAPRE1/EB1抗体[5/EB1] (ab308076)| Abcam中文官网
Anti-MAPRE1/EB1 antibody [KT51] (ab53358) | Abcam
Schematic of the function and mechanism of circSETD3 in NPC invasion ...
Figure 4 from MiR-526b-3p Inhibits the Resistance of Glioma Cells to ...
RCSB PDB - 9CO5: Crystal Structure of Macrocycle mediated complex of ...
(PDF) A rare case of acute myeloid leukemia with ARHGEF12 (LARG, 11q23 ...
Buy Recombinant Human MAPRE1, N-His
Anti-MAPRE1/EB1 antibody [5/EB1] - BSA and Azide free (ab308077) | Abcam
Addgene: pSpCas9_BB_2A-GFP_MAPRE1-gRNA#2
抗MAPRE1抗体 ウサギ宿主抗体 Prestige Antibodies® Powered by Atlas Antibodies ...
EB1 抗体 | コスモ・バイオ株式会社
Addgene: pSuper-si-MAPRE1