Showing 120 of 120on this page. Filters & sort apply to loaded results; URL updates for sharing.120 of 120 on this page
Balloon protection of the Labbe vein during venous sinus stenting - PMC
Embolisation in oncology – CIRSE
Pulsatile Tinnitus Stenting Threatened Labbe Occlusion Rescue ...
Embolisation | American Hospital of Paris
25 septembre 2009 Ecole IBODE Embolisation et Chimioembolisation
Embolisation | Centre de radiologie | Olympe Imagerie | Antony
Embolisation tumorale | Philips Healthcare
Embolisation des articulations douloureuses : une approche innovante en ...
Embolisation | Arzt finden & Behandlungsinfos
(PDF) An Illustrative Case of Vein of Labbe Thrombosis Presented as a ...
EMBOLISATION FOR TRAUMA - PKLI&RC
Livres de Médecine: Embolisation
Pelvic Vein Embolisation performed by Dr. David Beckett - YouTube
Embolisation utérine (pathologies de la femme) - Hôpital Paris Saint‑Joseph
Embolisation of left lumbar artery. | Download Scientific Diagram
Interventional oncology & embolisation - Boston Scientific
NeuroRadiologie Embolisation P2 Artériographie cérébrale - YouTube
Embolisation for Vascular Injuries Complicating Elective Orthopaedic ...
(A and B) Frontal and lateral views on intraoperative sinusgraphy. (C ...
An 87-year-old woman with left transverse-sigmoid sinus dural AVF ...
Balloon protection of the Labbé vein during transarterial embolization ...
Embolization of a cavernous carotid fistula through the vein of Labbé ...
Arterial-phase (A) and venous-phase (B) lateral views on left common ...
Right internal carotid angiography after embolization. (A) AP view, (B ...
GAE Treatment Flint | Genicular Artery Embolization
Table 1 from Recent Update of Embolization of Upper Gastrointestinal ...
Evidence - Shape Memory Medical
Redefining Efficiency and Control in Peripheral Embolization – GEST
ENDOVASCULAR EMBOLIZATION: Case Example - Splenic Artery Embolization ...
Embolization in Trauma: Principles and Techniques - PMC
LIVER CANCER TREATMENT WITH TRANSARTERIAL CHEMOEMBOLISATION (TACE) FOR ...
(PDF) Turn-Back Embolization Technique for Effective Transvenous ...
Basic embolization techniques: tips and tricks - PMC
Comprehensive Guide to Embolization Procedures: Uses and Considerations ...
What is preoperative embolization of vascular tumors?
Superselective Embolization as First Step of Laparoscopic Partial ...
Illustrative case of stent placement in an isolated occluded right ...
Transarterial Embolization for Spontaneous Soft-Tissue Hematomas ...
Preoperative Transarterial Embolization of Advanced Juvenile ...
Embolization in Pediatric Patients: A Comprehensive Review of ...
The Safety and Efficacy of Hepatic Transarterial Embolization Using ...
Glue Embolization - Imaging Glossary - Patients - UR Medicine Imaging ...
How Arterial Embolization Is Transforming Treatment of Oncologic and ...
Hemorrhoid Embolization Procedure at Melba Maxwell blog
Thoracic Duct Embolization: Minimally Invasive Chylothorax Relief
Preoperative Embolization - Imaging Glossary - Patients - UR Medicine ...
Transarterial microcatheter glue embolization of the bronchial artery ...
Vein of Labbé thrombosis: don’t miss the dot! | Practical Neurology
A 74-year-old male presented with right hemianopsia and disorientation ...
ONE SHOT ONE VALVE: DEVICE EMBOLIZATION BY AN INTRINSIC BEAT | JACC
Traumatisme de la rate : place de l’embolisation artérielle - Tech Imago
Safety, Efficacy and Mid-Term Outcome for Transarterial Embolization ...
HOW DOES THE PROCEDURE WORK?
a Right internal carotid angiogram (lateral view) demonstrates primary ...
Inferior anastomotic vein (Labbé vein) - Ars Neurochirurgica
Sequence of technical steps during the embolization procedure. (A ...
Surgical Neurology International
(PDF) Usefulness of C-stopper Coil for Neurointervention
A 69-year-old woman presented with seizure, aphasia, and right ...
Balloon-Assisted Tamponade of the Lymphovenous Junction: An Adjunctive ...
Tumor embolization - Philips
Pre-Operative Embolization of Tumors: A Lifesaving Strategy
A New Classification of the Anatomical Variations of Labbé’s Inferior ...
Rectal Artery Embolization for Hemorrhoidal Disease: Anatomy ...
Typical glue embolization of the left ovarian vein for PCS. (a ...
(PDF) Onyx Embolization of Dural Arteriovenous Fistula, using Scepter C ...
Treatment of arteriovenous malformations associated with ruptured ...
Complications of Embolization - PMC
CHEMOEMBOLIZATION (TACE) IN CANCER
Endovascular Embolization Techniques for Cerebrospinal Fluid-Venous ...
JLE - Néphrologie & Thérapeutique - Renal embolization
Long-Term Outcomes of Endovascular Embolization in a Vein of Galen ...
Endovascular Embolization: Block Abnormal Vessels
Ajit Puri on LinkedIn: dAVF embolization under balloon protection in ...
Bariatric embolization an interventional radiologic treatment for obesity
Efficacy and Safety of Ethylene-Vinyl Alcohol (EVOH) Copolymer-Based ...
Transgraft embolization by using long needle for the treatment of type ...
Neurosurgery Clinic (@elsherifneuro) • Instagram photos and videos
The Vein of Labbé | PDF | Vein | Angiology
Forcible Intraarterial Injection of a Nonadhesive Liquid Embolic Agent ...
Portal Vein Embolization Plus Hepatic Vein Embolization for Hepatic ...
Lateral angiogram shows left external carotid artery afferents with a ...
Is there a risk of Onyx (ethylene-vinyl alcohol copolymer) migration ...
Transcatheter Artery Embolization for Postoperative Haemorrhage after ...
Territory of the inferior anastomotic vein (of Labbe) - e-Anatomy - IMAIOS
Maxillofacial Trauma Haemorrhage Control Dr Ben Rahmel Maxillofacial
(PDF) Left vein of labbé thrombosis associated with ipsilateral: Dural ...
Dural arteriovenous fistula | Inselspital, Bern University Hospital
Details of patients with device embolization and thrombus formation ...
Typical sandwich embolization in a 75-year-old man with bleeding from a ...
Frontiers | Retreatment with a pipeline embolization device for ...
Glue Embolization Complications at Becky Moreno blog
Nouveauté pour l'embolisation des articulations douloureuses
Chirurgie Vasculaire du Lac / Clinique Générale d'Annecy
Prevalent Technique and Results of Hemorrhoidal Embolization
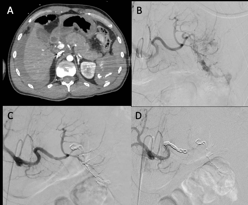
Y-90 embolization for hepatocellular carcinoma. A. Selective ...
A. Brain atrophy and venous congestion was observed by MRI. B ...
Preoperative Arterial Embolization of Musculoskeletal Tumors: A ...
Genicular Artery Embolization: A New Tool for the Management of ...
Before and after embolization. A: Pre-embolization angiography reveals ...