Showing 119 of 119on this page. Filters & sort apply to loaded results; URL updates for sharing.119 of 119 on this page
Abscessogram showing the abscess cavity communicating with the right ...
Ir Drainage Of Abscess
Abscessogram of the sterile seroma involving the right iliacus muscle ...
abscessogram of segmental VI. Note: a colobiliary fistula is visible. R ...
(a) Computed tomographic scan of the abdomen pelvis prior to IR ...
Initial abscessogram for transgluteal drainage. | Download Scientific ...
Interpreting IR Specta: A Quick Guide – Master Organic Chemistry
Percutaneous Imaging-guided Abdominal and Pelvic Abscess Drainage in ...
Complications in Living Liver Donors After Partial Liver Procurement ...
EPOS™
Continuous High-Output Drainage of Hepatic Abscess 3 Months After ...
The Inaccessible or Undrainable Abscess: How to Drain It | RadioGraphics
Percutaneous Abscess and Fluid Drainage - Clinical Tree
Percutaneous Transhepatic Drainage of Inaccessible Postoperative ...
(A, B) Abdominal ultrasound image and CT scan showing a small abscess ...
Salmonella abscess in a Failed Transplanted Kidney
Complications of Nonvascular Interventions and Their Management: Case ...
Sonographic Diagnosis of Perihepatic Abscess From Dropped Appendicolith ...
Renobronchial abscess. Sepsis secondary to complicated renoureteral ...
Initial contrast-enhanced CT scan shows multiple subcutaneous abscesses ...
Successful Management of a Recurrent Supralevator Abscess: A Case ...
Abdominal Abscess | Radiology Key
Abdominal Abscess - Clinical GateClinical Gate
Intra-abdominal aortic graft infection: complete or partial graft ...
Hepatic Abscess | Abdominal Key
CT-scan showing the abscess (thick white arrows) with coronal cuts ...
CT of the abdomen demonstrating near complete resolution of the abscess ...
Imaging-guided drainage of an appendiceal abscess with use of the ...
Interventional Radiology: A Game-Changer in Medicine
Image-Guided Interventions
Imaging findings in the treatment of abscess and abscess position. (a ...
Postoperative Anatomic and Pathologic Findings at CT Following ...
Postoperative Changes and Complications of the Stomach and Duodenum ...
Chest computed tomographic scan. Abscess formation or air-containing ...
CT scan of case 2 Computed tomography revealed an abscess cavity with ...
Multiple Suspected Abscesses 3-30-31 | Emory School of Medicine
The enhanced abdominal computed tomography of abdominal abscess on ...
Bronchobiliary Fistula Secondary to Amebic Liver Abscess - CHEST
Computed tomography scans revealing multiple deep organ abscesses. A ...
CT scan 10 days after the percutaneous abscess drainage showing ...
Figure. Computed tomography images showing multiple abscesses in the ...
I&D - Incision & Drainage | Abscess | Suppuration | Loculation - Simple ...
(A, B) Computed tomographic scan showing abscesses (arrow) with ...
(PDF) Endoscopic ultrasound-guided drainage of postoperative intra ...
What to Expect During an Interventional Radiology Procedure | Aria ...
CT-guided percutaneous abscess drainage. Contrast material has spread ...
Percutaneous treatment of an intra-parenchymal PSA. Contrast ...
Interventional Radiology (IR)
92-year-old woman with a hepatic caudal lobe abscess penetrating into ...
A Path Less Traveled: Xanthogranulomatous Pyelonephritis Presenting ...
Thoracic CT scan: A CT scan using intravenous contrast shows an abscess ...
Abdominal computed tomography shows a large abscess with a maximum ...
2019 Radiology CPT Codes: CT Bone Densitometry | PDF | Vertebral Column ...
Current trends and perspectives in interventional radiology for ...
Beyond the Bowel: Extraintestinal Manifestations of Inflammatory Bowel ...
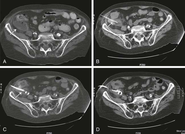
Cone-Beam CT with Fluoroscopic Overlay Versus Conventional CT Guidance ...
Interventional Radiology Procedures.pptx
Role Of The Radiology Department at Alica Martel blog
Contribution of computed tomography guided percutaneous drainage of ...
Computed Tomography in the Diagnosis of Intra-abdominal Abscesses - PMC
PPT - Interventional Radiology Primer: Wires & Catheters Guide ...