Showing 119 of 119on this page. Filters & sort apply to loaded results; URL updates for sharing.119 of 119 on this page
Contained intrabony defect treated using Straumann® Emdogain® - botiss ...
Photomicrographs of 1‑wall (A–D) and 3‑wall (E–H) intrabony defect ...
44 distal intrabony defect treated with GTR. (A) Pre-operative ...
a Seven-mm one-, two-, and threewalled intrabony defect on the mesial ...
Treatment of intrabony defect on distal surface of tooth 44 utilizing ...
Treatment of an intrabony defect at a lower jaw premolar with A-PRF+. a ...
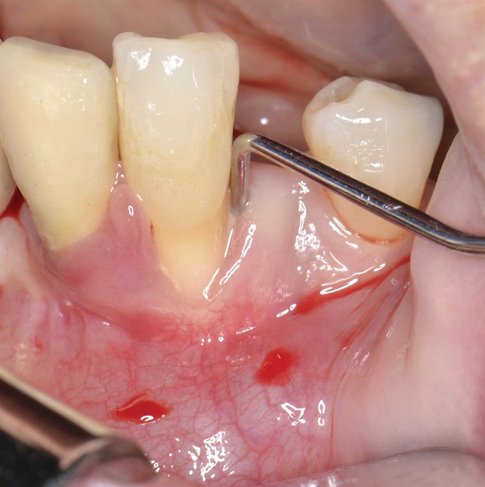
Any intrabony defect - BONEMODELS S.L.U.
Non-contained intrabony defect treated using cerabone®, collprotect ...
3 wall intrabony defect (left) and xenograft filling (right ...
Non-contained intrabony defect treated with the modified papilla ...
Guided tissue regeneration in noncontained intrabony defect a
Photomicrographs of the treated 3-wall intrabony defect showing new ...
GTR for the treatment of a deep three-dimensional intrabony defect ...
Treatment of intrabony defect in the EMD + GTR group. A: Before the ...
44 distal intrabony defect treated with enamel matrix derivative, (A ...
Intrabony defect mesial to upper right first molar treated with ...
Revealed the intrabony defect; (1) show defect at baseline before, and ...
Intrabony defect regeneration with an allograft (70% DFDBA and 30% ...
Clinical diagram of intrabony defect regeneration with PRF. Notice the ...
Showing Clinical photographs of a patient with intrabony defect treated ...
Management of a One-wall Intrabony Osseous Defect with Combination of ...
(PDF) Treatment of Intrabony Defect using Xenograft and Collagen ...
Figure 1 from Management of Periodontal Intrabony Defect Using Sticky ...
PRF was placed in the intrabony defect with #21 | Download Scientific ...
Radiographic analysis to determine the depth of the intrabony defect ...
Representative photomicrographs of a two-wall intrabony defect treated ...
Treatment of an intrabony defect with biphasic calcium phosphate (BCP ...
Non-contained intrabony defect treated using Straumann® Emdogain® and a ...
A) Histologic section of intrabony defect taken 9 months following ...
a, b, c Radiographs of test site (MPM-treated). Intrabony defect on ...
Treatment of intrabony defect on distal surface of tooth 34 utilizing ...
Intrabony defect depth reduction. (a) At baseline; (b) After 6 months ...
Classification scheme for intrabony defects. Figure 1 reproduced ...
shows one of 24 cases in this study. Figure 4a shows the intrabony ...
Intrabony defects were associated with more severe bone loss. Intrabony ...
Photomicrographs of 1‑wall (A–H) and 3‑wall (I–P) intrabony defects ...
Three wall intrabony defect. 102JB00057 | Dental Image Library
A Defect Made Defunct by Giacomo Tarquini, DDS - Dentaltown
(a) Infrabony (contained) defect prior to treatment; (b) modest gain in ...
Figure 1 from Clinical concepts for regenerative therapy in intrabony ...
Precision Medicine Assessment of the Radiographic Defect Angle of the ...
JCM | Free Full-Text | Treatment of Intrabony Defects with Non-Surgical ...
Radiograph showing intrabony defects at distal side of tooth 12 and 21 ...
Regeneration of Intrabony Defects with Nano Hydroxyapatite Graft ...
Full article: Optimal management of intrabony defects: current insights
Optimal management of intrabony defects: current insights | CCIDE
Periodontal Defect - botiss biomaterials GmbH
The Treatment of Intrabony Defects With Bone Grafts: P S. R M A. R & G ...
Regeneration of Intrabony Defects Using a Novel Magnesium Membrane
Minimally invasive non‐surgical periodontal therapy of intrabony ...
Treatment of Intrabony Defects with Non-Surgical Subgingival ...
Treatment of Unfavorable Intrabony Defects with Autogenous Bone Graft ...
of Intrabony Defects Utilizing Stem Cells Allograft | Pocket Dentistry
Healing of Intrabony Defects Following Regenerative Surgery | PDF ...
Enamel matrix derivative for the treatment of partially contained ...
Management of intrabony defects associated with the iatrogenic use of ...
Poster@Osteology2019: Treatment of deep intrabony defects with guided ...
Clinical characteristics of intrabony defects at baseline. | Download ...
(A) Pre-operative clinical images showing a deep intrabony defect, (B ...
(PDF) 7 Keys for Treatment of Periodontal Intrabony Defects
A,B: Baseline view; C, D: Intrabony defects; E: ABM/P-15 in place; F ...
Differential Response to Non‐Surgical Periodontal Therapy Between ...
Periodontal Defects and Regenerative Success
Laser Therapy On The Treatment Of Periodontal Bony Defects | PPT
(PDF) Comparison of Different Periodontal Healing of Critical Size ...
Figure 2 from Comparison of Different Periodontal Healing of Critical ...
A Review of In Vivo and Clinical Studies Applying Scaffolds and Cell ...
Bone Loss
Comparison of Different Periodontal Healing of Critical Size ...
Clinical Pilot Series of Non-Self-Contained Periodontal Infrabony ...
Innovations in the Surgical Reconstructive Treatment of Peri-Implant ...
PPT - Linea externa PowerPoint Presentation, free download - ID:5814713
Patterns of bone destruction in periodontics | PPTX
27: Bone Defects and Furcation Lesions | Pocket Dentistry
Interpretation of Periodontal Disease - ppt download