Showing 116 of 116on this page. Filters & sort apply to loaded results; URL updates for sharing.116 of 116 on this page
Brain dysfunction flat concept vector illustration Stock Vector Image ...
generate image of rare brain diseases and label parts Prompts | Stable ...
Overview of Brain Dysfunction - Brain, Spinal Cord, and Nerve Disorders ...
Frontiers | Sepsis-Exacerbated Brain Dysfunction After Intracerebral ...
PPT - Brain dysfunction PowerPoint Presentation, free download - ID:4377094
From Fog to Focus: A Guide to the 6 Types of Brain Dysfunction and How ...
Premium Photo | Symptoms of Brain Stem Glioma Cranial Nerve Dysfunction ...
Highresolution image of brain scans showing differences in mental ...
Frontiers | Editorial: Brain dysfunction in Gulf War illness ...
Mechanisms of neuronal mitochondrial dysfunction and brain dysfunction ...
第246章:外傷性脳疾患 Traumatic Brain Disease – 壱岐動物病院
Mysterious brain disease that resembles deadly Mad Cow Disease kills 5 ...
Google Glass is helping scientists to study brain disease
Billy Joel 'not ready to retire' amid brain disorder diagnosis
Blood Test Predicts Alzheimer’s Disease Progression Years Before Brain ...
Blocking a single protein in Alzheimer’s disease could boost the brain ...
Southwestern Ontario hunters asked to help in testing for deadly brain ...
Bears great diagnosed with brain disease a year after his death
UPDATE: Missing Beavercreek woman with brain disorder found safe ...
World Brain Day 2025: Early warning signs of common neurological disorders
Former Māori All Black Shane Christie died with brain disease linked to ...
Top 10 Brain Vitamins For Studying (Supplement For Students)
Latest News on Brain Damage: Get Brain Damage News Updates along with ...
Left Brain 3D Icons - Free Download in PNG, glTF
Brain Products UK - Trusted Neuroscience Partner in UK & Ireland
Brain Damage Foods: Latest News, Photos, Videos on Brain Damage Foods ...
Neanderthals Weren't Dumb, And Brain Scans of Living People Are Proving It
9 everyday illusions your brain creates that you've never noticed
8 Best Brain Training Apps for Growth and Focus in 2026
Brain Games Seniors Worksheets - 12 Free PDF Printables | Printablee
Can brain implants treat depression? What science says
Organoids in Space: Faster Brain Disease Research? – Archyde
HKUST improves imaging of brain activity to help diagnose disease ...
Insights into Cognitive Brain Health in Chronic Kidney Disease ...
New studies reshape understanding and diagnosis of brain disorders
Billy Joel cancels all concerts after revealing brain disorder diagnosis
Rapist care worker subjected woman with brain disorder to 'profound ...
Scientists Confirm Teenagers Who Read Regularly Develop a Brain ...
Deep brain ultrasound uncovers pain-processing network tied to heat ...
Scientists Discover “Molecular Switch” That Fuels Alzheimer’s Brain ...
Ai Concept Technology Brain Futuristic Images | Free Photos, PNG ...
New 3D device harnesses living brain cells for computing - Princeton ...
Scientists discover brain sugar signals that control myelin growth
Climate change linked to rising global brain health risks
Why discarded brain 'noise' matters: Overlooked networks may reshape ...
Bored Panda’s illusion gallery meets cutting-edge brain science
How To: Protect Your Brain in a Digital World |Sleep
How music boosts your baby's brain and words
Scientists just created an artificial brain cell that can talk to real ...
Brain Health Shaped by Lifetime Factors: Study | Mirage News
Remembering the wonderful Tom Parker - The Brain Tumour Charity
Brain Health Action – Caregiving in the U.S. 2025 Report
New MRI Study Reveals How Cannabis Alters Brain Activity and Weakens Memory
How your daily habits may be shaping your brain health for life - Earth.com
New therapy trains brain cells to remove Alzheimer’s damage - Earth.com
Brain Damage, Floyd, P. performances (A venir) | Operabase
Fish oil ingredient may slow brain repair after repeated mild injuries ...
Animation of interference over digital brain on white background ...
Many Americans don't know how to maintain brain health, report finds
BRAIN TEST: TRICKY PUZZLES - 무료로 플레이하세요! | Poki (포키)
AI and LLMs can get dumb with brain rot, thanks to the internet
Beyin Gücü TV Serisi - Auto Train Brain
노잼은 이제 그만. 진짜 재미는 여기 있다. 《Crazy Mind》 파트3 오픈. 🎪 | Brain Puzzle 3: Crazy ...
Premium Photo | 3D Brain Disease Modeling Neurological Conditions ...
Visualize person with memory loss and executive dysfunction due to ...
Diseases & Disorders of the Brain Poster | Brain Disorders Chart ...
Brain diseases brought on by inflammation and resulting from ...
Brain diseases set 1. Include stroke, alzheimer's disease, brain tumor ...
Never Give Up: Brain Disorders and Brain Health
Type Human Brain Disorder Infographic 库存矢量图(免版税)1252103194 | Shutterstock
Brain Disorders Symptoms
Understanding Brain Disorders: Types and Treatments
A split-image showing a healthy human brain on one side and an ...
Mapping Neurological Conditions Highlighted Areas in the Brain ...
Brain Diseases: 10 Common Brain Diseases
PPT - Discovering Your Brain: Organization, Function & Dysfunction ...
Cutting-edge test for fatal brain disorder now available in Israel ...
Brain Neurological Disorders Vector Illustration Stock Vector (Royalty ...
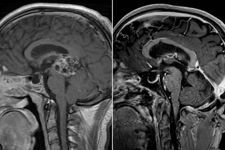
Conceptual Mri Scans Of A Brain Disorder by Simon Fraser / Science ...
Realistic Medical Illustration In Vector Format Depicting Brain ...
Understanding Brain Inflammation in Neurological Disorders and ...
Blood-Brain Barrier Dysfunction in Normal Aging and Neurodegeneration ...
Potential interactions between visual dysfunction, brain functions and ...
Illustration of a human brain with degenerated substantia nigra in ...
Discovering links between brain inflammation degeneration and ...
Neurology and Brain Disorders - Stock Icon Set as EPS 10 File Stock ...
A graphical representation of the pathobiology of cognitive dysfunction ...
Scientists Say “Grandma Brain” Is Real — Here’s What That Means
Frontiers | Artificial Intelligence in Neuroscience: Comparative and ...
Billy Joel's ex Christie Brinkley and daughter break silence on singer ...
From gut to brain: NUS scientists engineer bacteria to treat severe ...
Teen with severe clotting disorder gets blood from 113 donors while ...
Celebrated Australian chef dies aged 59 after battle with incurable ...
Small molecule could slow or stop progress of Parkinson's disease and ...
基甸北一早禱 耶和華必在以色列中堅立你的王位 - 動腦Brain.com.tw|行銷.廣告.傳播.創意數位平台
How does imagination really work in the brain? New theory upends what ...
Could a planet really develop a brain?
Optical Illusion:sunday की भीड़ में छिपा है Monday, बाज की नजर है तो 15 ...
Health Alert:केरल में एक नई बीमारी को लेकर अलर्ट, कर देती है दिमाग में ...
Neurological impairment concept icon. Nervous system disorder idea thin ...
Заболевания мозга
Premium Photo | Mapping Neurological Conditions Highlighted Areas in ...
7 Important OCD Myths vs. Psychological Reality - PsychUniverse
Premium Photo | Understanding Cognitive Impairments Memory Loss and ...
PPT - The Nervous System PowerPoint Presentation, free download - ID ...
Natural Products and Their Neuroprotective Effects in Degenerative ...