Showing 120 of 120on this page. Filters & sort apply to loaded results; URL updates for sharing.120 of 120 on this page
A sample pair of low noise and high noise SPECT used for training the ...
(PDF) High efficiency high Resolution SPECT tecniques for cardiac imaging
MRI and SPECT imaging. A, B, on day 23, MRI FLAIR images revealed high ...
Figure 10 from High performance SPECT system for simultaneous SPECT-MR ...
201 Tl SPECT showing focus of high uptake in the right occipital and ...
(PDF) Conceptual design of high spatial-resolution SPECT system for ...
(PDF) A high resolution SPECT detector based on thin continuous LYSO
(PDF) A high resolution and high sensitivity small animal SPECT system ...
High Blood Pressure
38 Abnormal-High Risk SPECT scan | Radiology Key
SPECT visual rating. The output shows a SPECT visual inspection of ...
Ultra-high-resolution SPECT | SPS
What Is The Difference Between Pet And Spect at Sheila Sparks blog
The developed dual-head, high-resolution animal SPECT system called ...
Narumi Toa - Wagamama High Spec - Image by Madosoft #2139890 - Zerochan ...
High-resolution SPECT images in an infected animal, of myocardial ...
Contemporary Cardiac SPECT Imaging—Innovations and Best Practices: An ...
Revolutionizing Brain Health with SPECT Scans | Aviv Clinics
High Tech SPECT-CT Installed at Mercy Sullivan | Mercy
High-resolution SPECT perfusion images (upper row) of a T ...
Example of high-resolution SPECT image of a rat injected with [¹²³I ...
Spect Scan Heart
SPECT images using low-energy high-resolution (LEHR), extended ...
Frontiers | High-sensitivity cardiac SPECT system design with ...
What is SPECT imaging and how does it work? | Nuclear Imaging
A one-shot whole-body bone SPECT may be recorded in less than 20 ...
What Does A Spect Scan Measure at Jack Marshall blog
What is SPECT and How Does It Work in Medical Imaging?
80+ Spect Imaging Stock Photos, Pictures & Royalty-Free Images - iStock
140+ Spect Brain Stock Photos, Pictures & Royalty-Free Images - iStock
Case #1. (a) Brain MRI (T2/FLAIR). Multiple high signal intensity on ...
| (A, B) 99mTc-MDP SPECT/CT images showing areas with high ...
(PDF) High-sensitivity cardiac SPECT system design with collimator-less ...
Technological Advances in SPECT and SPECT/CT Imaging
Comparison of ejection fraction calculation between CT and SPECT at ...
One article to understand the importance of SPECT in nuclear imaging ...
High Spec Or High-Spec at John Sigel blog
High Spec Composites - Crunchbase Company Profile & Funding
Watch Wagamama High Spec: Season 1 | Prime Video
High resolution bone SPECT-CT in the evaluation of chronic low back ...
Enhanced SPECT image (high count area). | Download Scientific Diagram
Relative count sensitivity of conventional dual head SPECT, high ...
High resolution mass spectrometry improves the identification of ...
Interpretation of myocardial perfusion images (Myocardial SPECT / PET ...
Spect Scanner Diagram
(PDF) Ultra-high resolution SPECT system using four pinhole collimators ...
Performance Evaluation of Fifth-Generation Ultra-High-Resolution SPECT ...
(PDF) Planar and high-resolution SPECT bone imaging in the diagnosis of ...
Spect Scan Brain
Reduced isotope dose with rapid SPECT MPI imaging: Initial experience ...
First in Indonesia using IQ SPECT smartzoom collimator in Siemens SPECT ...
(PDF) High-Resolution Versus High-Sensitivity SPECT Imaging With ...
(PDF) High-resolution brain SPECT imaging in ADHD
V/Q Scanning Using SPECT and SPECT/CT | Journal of Nuclear Medicine
High Spec Meaning Japanese at Hannah Colquhoun blog
Figure 1 from High resolution SPECT, small deep infarcts and diaschisis ...
What Is a Brain SPECT Scan? How It Helps Diagnose Complex Mental Health ...
Measuring SPECT myocardial blood flow at the University of Ottawa Heart ...
15 Spect Machine Stock Photos, High-Res Pictures, and Images - Getty Images
Clinical Application of Myocardial Perfusion SPECT in Patients with ...
Whole body SPECT/CT (low resolution, high sensitivity) scans after i.v ...
Figure 1 from Comparison of high-resolution MRI and SPECT bone ...
Figure 1 from High-efficiency , high-resolution SPECT techniques for ...
25 Best High Spec Pc Games With Realistic Graphics | Best Mid Spec Pc ...
Sample SPECT slices of each patient from their last SPECT scan. [To ...
(PDF) Feasibility study on an ultra-high-resolution SPECT with CdTe ...
The process of the high-dimensional SPECT data reduction uses ...
Spect Imaging Machine High-Res Vector Graphic - Getty Images
Wagamama High Spec (Anime) | AnimeClick.it
Ultra-high resolution SPECT/CT for preclinical imaging platform : Get ...
Applications in Nuclear Medicine and Radiology Professor Bob
MILabs’ U-SPECT⁷/CT: Ultra-High Resolution Imaging for Advanced ...
Compared Performance of High-Sensitivity Cameras Dedicated to ...
ACR phantom images with attenuation correction: Rod image (top) from ...
High-Sensitivity and High-Resolution SPECT/CT Systems Provide ...
Evaluation of Collimators in a High-Resolution, Whole-Body SPECT/CT ...
Tumor and organ dosimetry from sequential quantitative SPECT/CT
Nuclear imaging in cardiology | PPTX
Prostate cancer: New SPECT/CT technique for greater treatment precision ...
A comparative analysis of 99mTc-iPSMA SPECT/CT and 18F-PSMA-1007 PET/CT
Energy spectrum of device primary and scattered photon windows with ...
Low-dose, high-quality SPECT-CT imaging transforms patient care ...
Symbia T Series SPECT/CT - Siemens Healthineers USA
(a) SPECT/CT design with flat panel CT for high-resolution, low-dose CT ...
High-spec PCs for Windows 11 | Stable Diffusion Online
ADHD and Your Brain The Neurobiology of ADHD
High-Spec Thread Printed Sample Chart
Basics of Cardiac Nuclear Imaging v Dr Amol
SPECT, SPECT/CT, and maximum intensity projections (MIP) of SPECT/CT ...
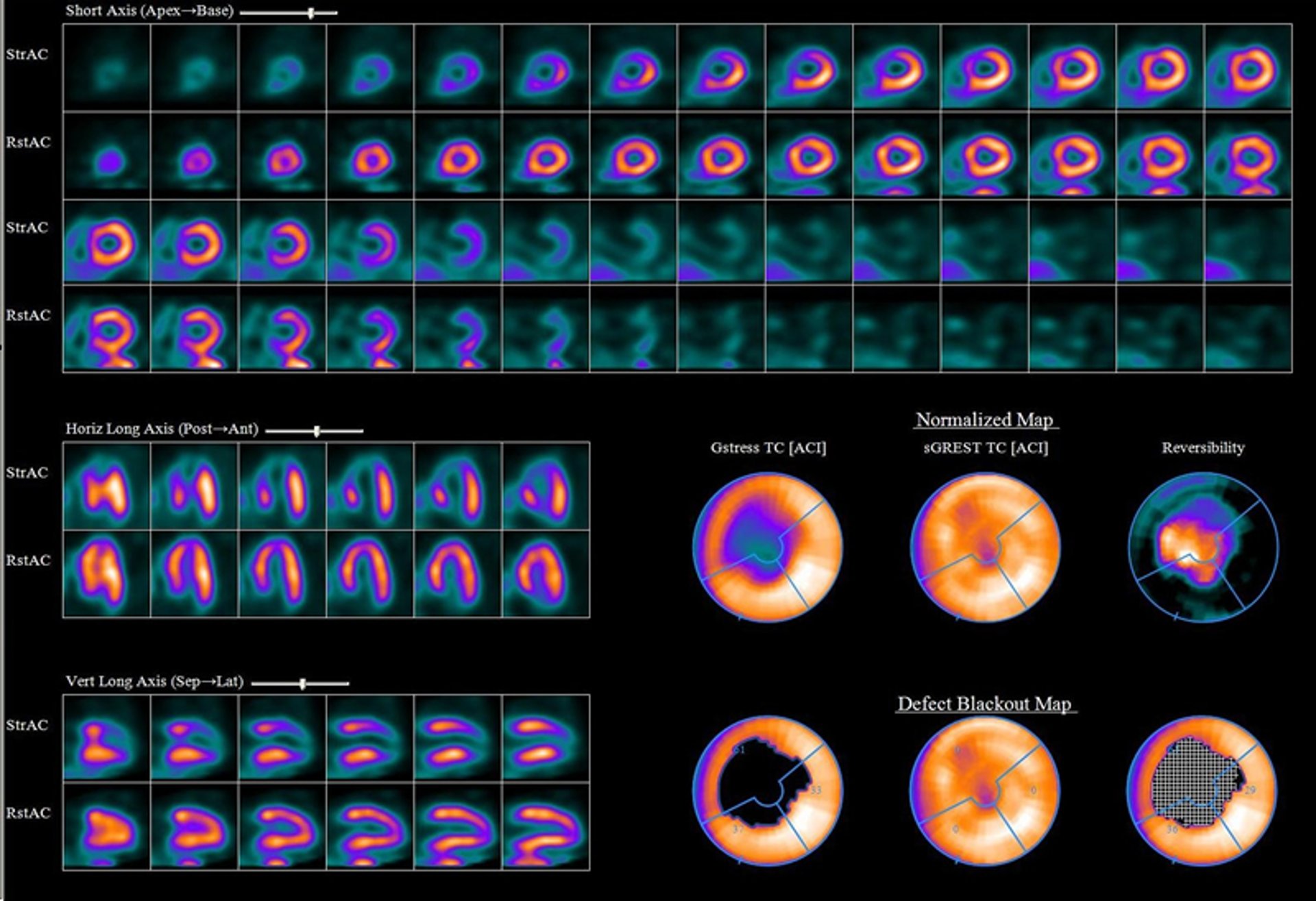
Figure3.Single-photon emission-computed tomography (SPECT) in short ...
Image:発症後間もない狭心症患者のSPECT-MSDマニュアル プロフェッショナル版
SPECT/CT imaging in the evaluation of pain following spinal fusion ...
ACR phantom images without attenuation correction: Rod image (top) from ...
【情報】《任性High-Spec》steam 中文版已發布 @任性 High-Spec 哈啦板 - 巴哈姆特
SPECT/CT maximum intensity projections and 111 In concentrations in ...
Large Animal Imaging Archives | SPS
Tumor and organ dosimetry from sequential quantitative SPECT/CT ...
A prospective multicenter intra-individual comparison of 18F-NaF PET/CT ...
Nuclear Cardiology | Thoracic Key
Print Article | International Journal of Spine Surgery
Hammersmith Hospital‘s Nuclear Medicine Team Finds New Opportunities ...
Diagnostic performance of IQ·SPECT with high-speed scanning: A ...