Showing 120 of 120on this page. Filters & sort apply to loaded results; URL updates for sharing.120 of 120 on this page
Hamstring Tears | Radsource
Grading Hamstring Injuries using the British Athletics Muscle Injury ...
Pulled Hamstring Mri
Sports Injury Bulletin - Diagnose & Treat - Acute Hamstring Injury ...
MRI and US in Hamstring Sports Injury Assessment: Anatomy, Imaging ...
Hamstring Muscles Anatomy
Hamstring Anatomy: Structure, Function And Training Tips
The Radiology Assistant : Hamstring injury
RAD
Hamstring Muscles: Attachments, Anatomy, Location, Function
Sonographic landmarks in hamstring muscles - PMC
Today's Interesting Case: Grade III Hamstring Tear | Radsource
Anatomy Hamstring Muscles Hamstring Stretch Back To Life
Understanding Hamstring Muscles: Anatomy And Function – EFHEC
Hamstring Muscles (1).pptx
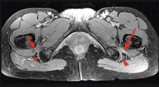
Anatomical Relationships of the Proximal Attachment of the Hamstring ...
Pulled Hamstring Grade 3 at Andrew Freeman blog
Hamstring Muscle Complex: An Imaging Review | RadioGraphics
Hamstring Injury And Mri Images
Sonographic landmarks in hamstring muscles - Skeletal Radiology ...
Hamstring Tendonitis - Knee Education
Hamstring muscle architecture assessed sonographically using wide field ...
Normal anatomy of the hamstring origin. ( A ) Coronal PD-weighted image ...
Hamstring Muscle
Hamstring Ultrasound Anatomy at Susan Callahan blog
Mri For Hamstring Injury
Hamstring Tendon Anatomy
Pulled Hamstring Mri at Amy Yates blog
Point-of-Care Ultrasound Diagnosis of Proximal Hamstring Rupture ...
Ultrasound Features of the Proximal Hamstring Muscle‐Tendon‐Bone Unit ...
Hamstring graft harvesting site. (a) Coronal T1-weighted MR image shows ...
Hamstring Pain Behind Knee Nhs at Elizabeth Efrain blog
Modern Hamstring Tendon Injury Management
Figure 2 from Location of Hamstring Injuries Based on Magnetic ...
Hamstring Tear Ultrasound
Imaging Diagnosis and Prognostication of Hamstring Injuries | AJR
How to Rehabilitate Proximal Hamstring Tendinopathy | POGO Physio Gold ...
Proximal Hamstring Injuries - Clinics in Sports Medicine
Hamstring Muscles Anatomy Hamstring Strain Jump Start Physical
Boston Sports | Hamstring Injury
Role of Ultrasonography and MRI in Acute Hamstring Strains: Diagnostic ...
Ultrasound assessment of the hamstrings complex of athletes with MRI ...
The Hamstrings - Yoga Anatomy
Origin and Insertions of the Hamstrings
Iliopsoas Tendinopathy Radsource
Medial Supporting Structures of the Knee with Emphasis on the Medial ...
PPT - Current Concepts in Magnetic Resonance Imaging of the Hip ...
Schematic drawing of the hamstrings. | Download Scientific Diagram
Full article: Musculoskeletal ultrasound imaging of proximal and distal ...
Underdeveloped Hamstrings: 4 Ways To Fix (That Actually Work ...