Showing 111 of 111on this page. Filters & sort apply to loaded results; URL updates for sharing.111 of 111 on this page
(PDF) The pattern of neonatal gastro-intestinal perforation in upper Egypt
Bowel Texture Repeating Pattern For Gastroenterologist Background Fun ...
Pots Gastro Symptoms at Billi Johnson blog
Kudo’s pit pattern classification is a pivotal tool in endoscopy ...
An Empirical Dietary Pattern Associated With the Gut Microbial Features ...
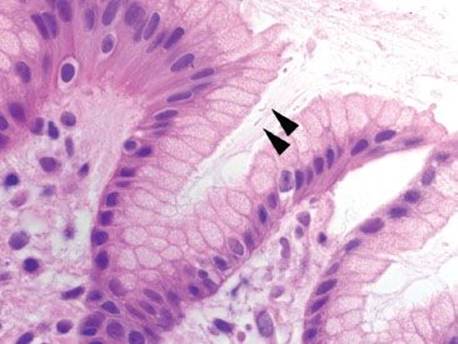
HYPERPLASTIC PATTERN - STOMACH - Atlas of Gastrointestinal Pathology: A ...
Endoscopic appearance of the mosaic pattern in the gastric fundus ...
Abnormal Bowel Gas Pattern | PDF | Abdomen | Gastroenterology
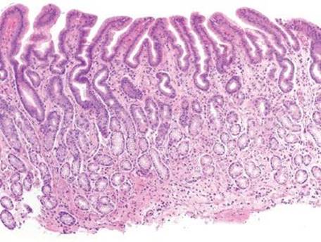
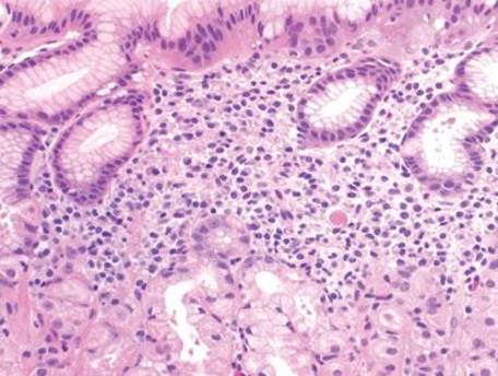
CHRONIC GASTRITIS PATTERN - STOMACH - Atlas of Gastrointestinal ...
Histological pattern observed in ICI patients. GI: gastro-intestinal ...
Amazon | Atlas of Gastrointestinal Pathology: A Pattern Based Approach ...
GASTRO RETENTIVE DRUG DELIVERY SYSTEM (GRDDS) | PDF
(PDF) The Change in Upper Gastrointestinal Disease Pattern in Sudan 1 ...
Gastroenterology Hepatology Seamless Pattern Vector Thin Stock Vector ...
Distribution of MEPs and the innervation pattern of the gastrocnemius ...
Stool Chart- Kaizen Gastro Care
Investigation of mucosal pattern of gastric antrum using magnifying ...
(PDF) Pattern and Outcome of Gastroenterology Admissions in Federal ...
Gastroparesis Awareness Month Geometric shape pattern background ...
Infiltrative tumour growth pattern correlates with poor outcome in ...
Stomach Pattern Stock Illustration - Download Image Now - Abdomen ...
Gastrointestinal motility pattern | Download Scientific Diagram
The pattern of gastrocnemius muscle fiber after resistant exercise and ...
A Review On Gastro Retentive Drug Delivery System: Novel Approach With ...
Amt Gastroguss Bbq Pattern
Helicobacter In Stomach Sign Gastro Microbe Bacillus Vector, Gastro ...
AMT Gastroguss Square pan with BBQ pattern - Best Home Decor
a Magnifying NBI patterns of a gastric body. Left healthy gastric body ...
Physiology Glossary: Gastric Motility | ditki medical & biological sciences
ANZ Journal of Surgery: Early View
Single-incision laparoscopic gastropexy for mesentero-axial gastric ...
Genesis of Esophageal Pressurization and Bolus Flow Patterns in ...
What Are the Stages of Gastroenteritis in Adults?
Spatial Patterns From High-Resolution Electrogastrography Correlate ...
English | World Gastroenterology Organisation
(PDF) Patterns of gastritis in gastro-oesophageal reflux disease
Patterns and Scales in Gastrointestinal Microbial Ecology ...
"Nonspecific Abdominal Gas Pattern" - An Interpretation Whose Time Is ...
Transabdominal Gastro-Intestinal UltraSound (GIUS): a visual approach ...
Classification of gastric pit patterns by confocal endomicroscopy ...
An Update on the Generation of the Gastrointestinal Tract in Neonates ...
gastroesophageal reflux disease.American Foregut Society guidelines
Interpreting results – GastroPanel
Gastrology Vector Art, Icons, and Graphics for Free Download
Simulated Colonic Feces Reveals Novel Contraction Patterns ...
Learning curve patterns for gastro-jejunal anastomosis. Colored red ...
Gastrointestinal Motility | Concise Medical Knowledge
Management patterns of gastric polyps in the United States | Frontline ...
The branching patterns of the left gastroepiploic artery (LGEA) and its ...
Dietary Patterns and Incident Chronic Constipation in Three Prospective ...
Journal of Gastrointestinal & Digestive System - Pathogenesis and ...
Patterns of GI disease in adulthood associated with mutations in the ...
Classification of gastrointestinal symptom patterns in young adults ...
Malignant Colorectal Polyps - Classification and Management Endoscopic ...
Whole Gut Motility Patterns in Patients with Chronic Nausea and Vomiting
Practicing Digital Gastroenterology through Phonoenterography ...
Gastrointestinal (GI) Disease: Types, Symptoms & More
Gastroenterology Question And Answers - Anatomy Study Guide
Gastrocnemius-overview
upper gastrointestinal series - YouTube
Assessment of Helicobacter pylori status by examination of gastric ...
Gastrointestinal Radiology
Designing A Vegetarian Menu For Your Restaurant Catering Or Gastros ...
2. Test programs applied in the GastroDuo to simulate different gastric ...
Gastroenterology Texture Stock Photos and Pictures - 74 Images ...
Gastroenterology And Hepatology Minimal Infographic Banner Vector ...
Differing Epithelial and Immunologic Activation Patterns Following Food ...
GastroSoft for healthcare professionals - Biohit
(PDF) Classification of gastrointestinal symptom patterns in young adults
Dr.Manmeen's Biology: STRUCTURE OF GASTRO-INTESTINAL WALL
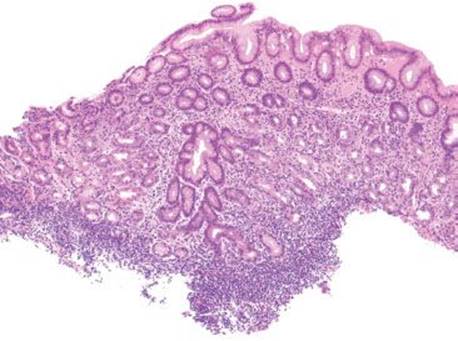
THE UNREMARKABLE STOMACH - STOMACH - Atlas of Gastrointestinal ...
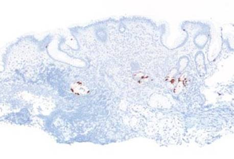
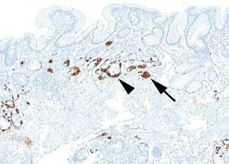
Severe Chronic Rectocolitis Associated With a Characteristic Sunflower ...
Gastropod Shapes and Description, Kentucky Geological Survey ...
Magnifying endoscopy in upper gastroenterology for assessing lesions ...
Gastric neoplasms in patients with familial adenomatous polyposis ...
SEMESTER 5 UNIT- 1 Difference of Children and adults.pptx
Haustral churning, Gastrocolic reflex and mass peristalsis & Defecation ...
References in Spatial Patterns From High-Resolution Electrogastrography ...
GitHub - DebeshJha/GastroVision: GastroVision: A Multi-class Endoscopy ...
120+ Gastroenterology Office Stock Photos, Pictures & Royalty-Free ...
Mayo Score in action: Visualizing Ulcerative Colitis severity (0-3 ...
Gastrointestinal tract concept icon. Gastroenterology idea thin line ...
One moment, please...
PPT - Radiology of the abdomen PowerPoint Presentation, free download ...
Radiographic anatomy of gastrointestinal tract
Trigger Point Referral Pattern: Gastroc & Soleus - YouTube
PPT - Stomach Patterns PowerPoint Presentation, free download - ID:5193064
Opioid Prescription Patterns Among US Gastroenterologists From 2013 to ...