Showing 85 of 85on this page. Filters & sort apply to loaded results; URL updates for sharing.85 of 85 on this page
AI-powered tools reshape functional training and equipment use
I Tried Functional Patterns for 2 Years — Here's My Honest Review ...
Functional strength tips for real life
Functional fitness moves taking over 2026 workouts
Functional fitness moves for real life strength
Functional fitness moves that make life easier
Slack Federated Adversarial Training | JoVE Visualize
Functional fitness moves that keep you thriving
Military - The image illustrates a handgun training exercise known as ...
Understanding Functional Health Patterns for Nursing Success | Course Hero
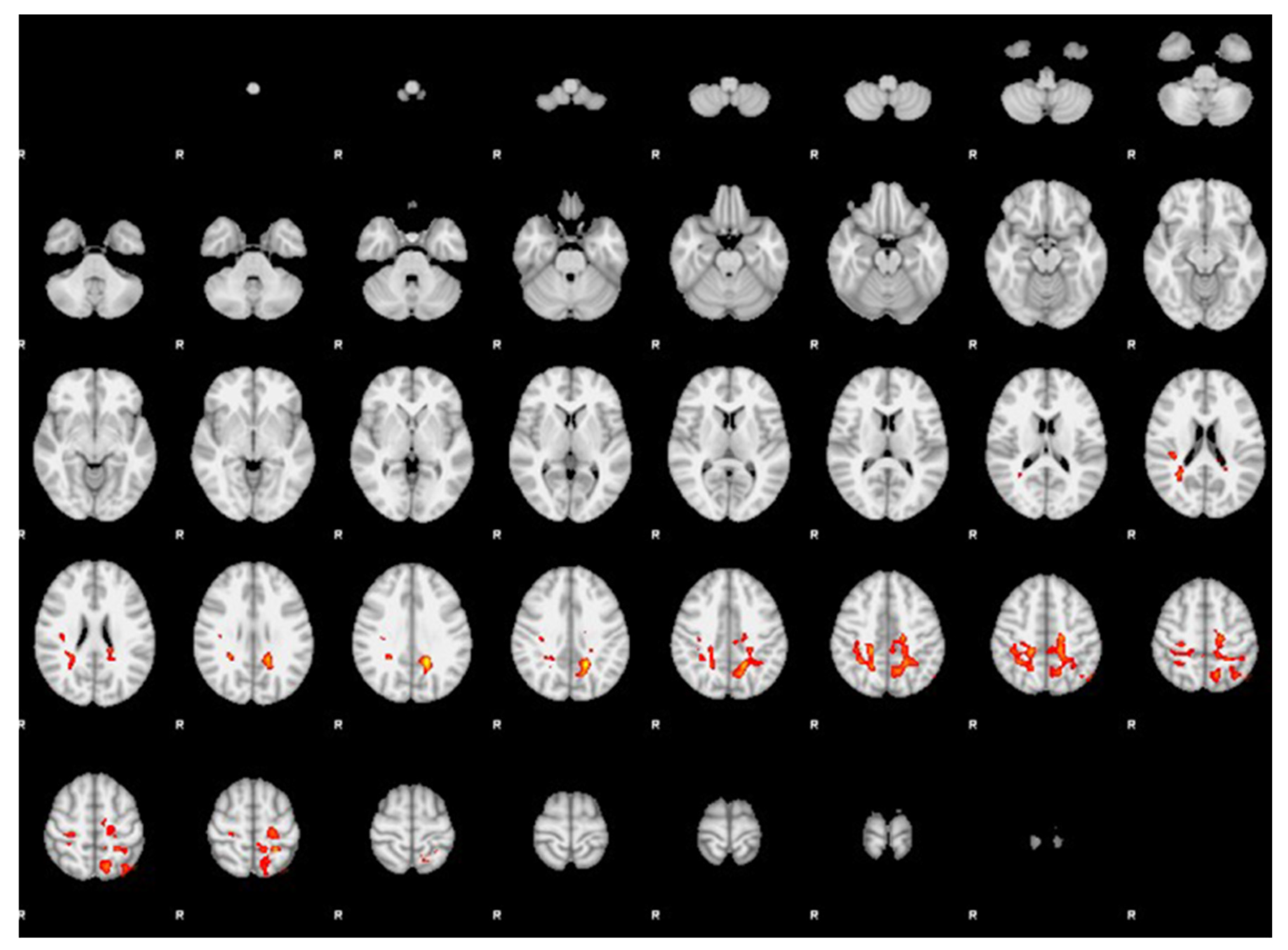
Functional Magnetic Resonance Imaging for Investigating the Role of the ...
Level up your walks with functional fitness moves
UFC training shifts toward complete athlete development
UPSC Exam Pattern 2026: Prelims Mains Interview Guide
Functional strength tips for life-ready bodies
Build power and strength with kettlebell training
Build soccer strength anywhere with smart training
Master Functional Neuroanatomy: Key Concepts and Structures | Course Hero
Understanding the Composite Design Pattern in Software Design | Course Hero
JK Bank Apprentice Syllabus 2026: Subject-wise Topics & Exam Pattern ...
Build strength anywhere with smart bodyweight training
what is the functional gait assessment - Elton Ireland - One For All
Smarter strength training for lasting results
Why athletes swear by eccentric hamstring training
Master your abs with smarter core training
DM me CHANGE for functional workout info | Functional Workout | TikTok
Functional range conditioning gains traction in CrossFit recovery shift
New rehab approaches spotlight unilateral training and fascia tools
Pattern Recognition
…The Municipality of Sudipen, located in the province of La Union in ...
DAA Course Pack Framework: Comprehensive Guide for Instruction Delivery ...
Long-Term Outcome of Patients with a Floating Hip Injury of Müller Type ...
How to Train Like a Strongman, According to Mitchell Hooper - Men's Journal
F.Y. B. Tech Computer Engineering Curriculum Structure & Syllabus (2025 ...
Personalized brain-training approach goes after one of depression's ...
CDS Syllabus 2025 and Exam Pattern: Check Subject-Wise Topics ...
PART 2.“D*e, you weakling.” They thought it was over when she walked ...
Are Your Hips Holding You Back? 3 Expert-Approved Moves to Restore ...
SSC CGL 2026 Syllabus – Tier 1 & 2 Exam Pattern, Salary, Cut-Off & Best ...
Cashel Camo Braided Rope Nose Halter Greencamo Horse Neck Cashel Camo ...
💚gRitual Over the past four days, we mapped how agents are measured ...
Synthesizing 3D Gait Data with Personalized Walking Style and ...
Your Blueprint for B2B Marketing Leadership Success
#Developing the Complete Soccer Striker@. By Coach : JAOUAD ALLOUB. The ...
Military Calisthenics for Women: Building Strength and Confidence ...
Leo has been following SurfLab from Taiwan. This month, he travelled to ...
Schema Therapy vs ACT: Which Approach to Choose?
Are You Ready to Reclaim Your Power? Here Is How You Can Rebuild Your ...
Train smarter for strength that lasts decades
Character and Values Evaluation → Area → Sustainability
Fourth-Warmest March Signals El Niño Surge | Current Affairs
Nursing Care for Orthopedic Disorders: Key Assessments & | Course Hero
Context Graphs and the Trillion Dollar Loop B2B Never Had Consumer ...
2 of my POG horses for this year are debuting over the weekend coming ...
Master your gains with smart workout splits
THEY CALLED HER “JUST KITCHEN STAFF,” AND THE ROOM AGREED. THEN A REAR ...
FACT 2025: Dates, Application Form (Soon), Entrance Exam For NFSU ...
Comprehensive Guide to Software Design Documents in SWE 316 | Course Hero
Turning mobility tests into real fitness gains
Understanding Random Variables and Probability Distributions | Course Hero
Many people are pointing out my desire to crossdress again is akin to ...
Build strength with smart workout splits
10 Free Customer Objective PowerPoint Templates | PoweredTemplate.com
Build your dream home gym setup
e-learning université Mila : Résultats de la recherche
Valeo - Platform Project Manager (M/F/D) - RO/PL R&D - CDI - Skawina
In clinical psychology, several concepts may describe an individual who ...
Master your western dressage show prep
Experts unveil new shoulder exercises to boost strength and posture
🚨 Most people are learning AI the wrong way You don’t need 100 courses ...
Modified IPCRF Development Plan for Teacher 1 - ARNOLD P. ALACRITO ...
How AI video is changing sports coaching
How Premier League clubs are using data to protect 'overworked' players ...
Molde DIGITAL Short Lycra Cortes... - Sublimoldes Tu Molderia | Facebook
Ready to transform your body? These 6 dumbbell moves are the secret to ...
BA4027 Data Mining for Business Intelligence - Question Bank - Studocu
Fine-R1: Make Multi-modal LLMs Excel in Fine-Grained Visual Recognition ...
Are you doing push-ups wrong? The simple exercise that could transform ...
Malware Presence Detection using Wireshark Analysis
SAI Launches Combat Sports Science Workshop | IASPOINT
ECA 316327 Unit Test II: Energy Conservation & Audit Q Bank - Studocu
Lasta Fit Review 2026: Is This Wellness App Worth Your Money?
4800 MCP Concept 1: Nursing Diagnosis & Care Planning for Acute Pain ...