Showing 99 of 99on this page. Filters & sort apply to loaded results; URL updates for sharing.99 of 99 on this page
Epidural Abscess - Spine Education
emDOCs.net – Emergency Medicine EducationSpinal Epidural Abscess ...
-Mri cuts documenting the epidural abscess with enhanced signal; a ...
Spinal Epidural Abscess (SEA) - REBEL EM - Emergency Medicine Blog
-Magnetic resonance showing the epidural abscess reported in our ...
Epidural abscess causes, symptoms, diagnosis, treatment & prognosis
Epidural Abscess | Radiology Key
Pediatric Spinal Epidural Abscess | Pediatric Radiology Reference ...
Epidural abscess MRI - wikidoc
Spinal Epidural Abscess – MD Nexus
Magnetic resonance imaging findings of the spinal epidural abscess ...
MRI revealed an epidural abscess A: T2 imaging displaying the epidural ...
Spinal epidural abscess as seen on magnetic resonance imaging of the ...
Lumbar Epidural Abscess — Institute of Neuro Innovation
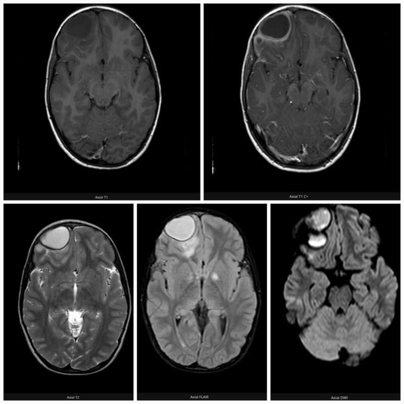
Intracranial epidural abscess | Radiology Case | Radiopaedia.org ...
Recognizing and Managing Epidural Abscess EMRA
Spinal Epidural Abscess Masquerading as an Acute Abdomen - Pediatric ...
Spinal epidural abscess | MedLink Neurology
Epidural abscess | Eurorad
Nonoperative Management of a Multi-Regional Epidural Abscess with ...
MRI scan of the patient demonstrating a large epidural abscess ...
Extensive spinal epidural abscess treated utilizing a single limited ...
Spinal Epidural Abscess — Taming the SRU
Spinal Epidural Abscess
Epidural Abscess; Abscess, Epidural; Abscess, Extradural
Imaging-Based Approach to Extradural Infections of the Spine - PMC
Intraoperative picture showing the epidural abscess after opening up ...
Figure 2. Axial and Sagittal section of MRI showing epidural abscess ...
Unusual presentation of a spinal epidural abscess | BMJ Case Reports
Epidural and subdural abscess | PPT
Spinal epidural abscess treated with antibiotics alone | BMJ Case Reports
Brain and Spinal Epidural Abscess : CONTINUUM: Lifelong Learning in ...
Radiopaedia case Epidural abscess - spinal id: 97323 study: 117433 - NC ...
Extradural and subdural abscess, uns.. | G06.2 | DX
Conservative management of an expanding intracranial epidural abscess ...
spinal abscess Archives - Neuropedia
Radiopaedia case Epidural abscess - spinal id: 97323 study: 117430 - NC ...
What Is Effacement Of Epidural Fatty Acid - Infoupdate.org
Spinal epidural abscess: the importance of early diagnosis and ...
Teaching NeuroImages: Multiple epidural abscesses after acupuncture ...
MRI of spine showing large anterior epidural abscess. | Download ...
Spinal Epidural Abscess: A Review Highlighting Early Diagnosis and ...
Epidural abscesses of the CNS - The Lancet Neurology
Epidural Abscess, MRI - Stock Image - C027/1899 - Science Photo Library
Epidural Abscess, MRI - Stock Image - C027/1900 - Science Photo Library
Spinal Epidural Abscess: Common Symptoms of an Emergency Condition: A ...
Epidural Abscess, MRI - Stock Image - C027/1898 - Science Photo Library
Diagnosing Spinal Epidural Abscesses | Emergency Physicians Monthly
MRI documenting the epidural abscess. | Download Scientific Diagram
Epidural Abscess, MRI - Stock Image - C027/1901 - Science Photo Library
Epidural Abscesses - Neuropedia
SPINAL EPIDURAL, AND SUBDURAL - INTRAMEDULLAR ABSCESSES | PPT
PPT - CNS ABSCESSES PowerPoint Presentation, free download - ID:5177097
Navigating the Diagnostic Challenge: Recognizing Spinal Epidural ...
Diagnosis of spinal epidural abscess: a case report and literature ...
Spinal epidural abscesses – The BMAS Blog
Imaging of the Post-operative Cranium | RadioGraphics
An uncommon presentation of multiple spinal epidural abscesses: A case ...
Figure 1 from Vertebral and Epidural Abscesses Diffusion-Weighted ...
Multiple spinal epidural abscesses: a diagnostic challenge in a person ...
Figure 1 from Efficacy of MRI in Diagnosis of Acute Spinal Epidural and ...
Spinal Epidural Abscess: Diagnosis and Treatment Guide
Print Article | CMAJ
Doenças inflamatórias e infecciosas da coluna vertebral e medula ...
Spinal Epidural Abcess : NEJM Review Article
Rib Fracture Car Accident Settlements in Pennsylvania: What ...
Florida Comparative Negligence Law: A Clear Guide by Chakour Law
NEJM This Week — April 23, 202... - NEJM This Week - Apple Podcast