Showing 120 of 120on this page. Filters & sort apply to loaded results; URL updates for sharing.120 of 120 on this page
(PDF) Aortic aneurysm & the split eggshell sign
Gastrointestinal: Abdominal eggshell sign in a young woman with a ...
Egg icon and different eggs. Eggshell symbol. Sign chick embryo vector ...
(PDF) PRESENCE OF THE EGGSHELL SIGN IN OBSTRUCTIVE UROPATHY
Premium Vector | Egg icon in flat style eggshell sign illustration ...
Eggshell Calcification
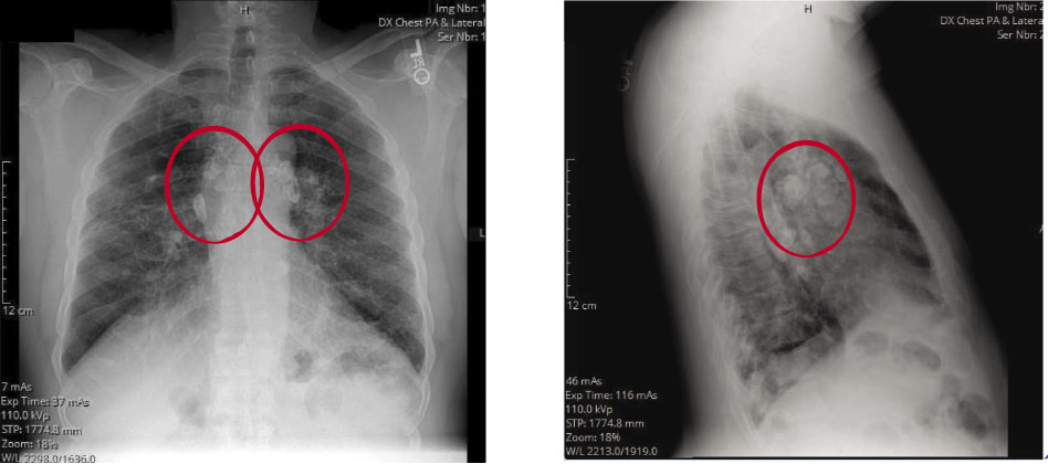
Figure 1 from Aortic aneurysm and the split eggshell sign. | Semantic ...
The “egg-shell” sign of aortic dissection in the elderly. Note the ...
Eggshell calcifications on a routine chest x-ray | Green | The ...
Eggshell calcification | BMJ Case Reports
Egg on string sign | Personal health information, Health app, Personal ...
Axial image of aortic dissection demonstrating the beak sign (arrow ...
Beak sign of aortic dissection | Radiology Case | Radiopaedia.org
Aortic dissection: an x ray sign | Emergency Medicine Journal
Eggshell Calcification Pulmonology Cases Flashcards | Memorang
aortic dissection calcium sign - Emergency Medicine Cases
IF Finding Cortical Rim Sign | The Common Vein
EMGuideWire's Radiology Reading Room: Aortic Dissection | PPTX
Aortic Dissection X Ray
(PDF) Egg Shell Sign: Rare Finding in Acute Aortic Dissection
Egg shell sign: rare finding in acute aortic dissection. - Abstract ...
X-ray chest PA (postero-anterior) view showing the "egg-shell ...
(A, B) Posterior-anterior view and lateral view of chest radiography ...
Congenital heart disease and vascular abnormality(x-ray findings) | PDF
Aortic Dissection
Imaging of Aortic Dissection
PPT - Aortic Dissection PowerPoint Presentation, free download - ID:2777000
Aortic Dissection: Teaching Points - Sumer's Radiology Blog
Acute Aortic Dissection | Journal of Hospital Medicine
Aortic Dissection: Diagnosis and Follow-up with Helical CTRadioGraphics
Aortic Dissection - Cardiovascular - Medbullets Step 2/3
Aortic Dissection: Aortic Dissection Signs
Acute type A aortic dissection in a 46-year-old man. a AP chest ...
The Radiology Assistant : Acute Aortic Syndrome
Aortic dissection chest x ray - wikidoc
Aortic Dissection - RCEMLearning
Aortic dissection 01
Chest pathology - Radiology Cafe
Aortic dissection CT - wikidoc
Aortic dissection | Radiology Key
Chest X-ray showing cardiomegaly with 'egg-on-a-string' shape feature ...
Multi-Detector Computed Tomography Imaging Techniques in Arterial Injuries
Transposition of the Great Arteries: Explanation of Chest X-ray ...
PPT - Aortic Dissection & Aneurysm PowerPoint Presentation, free ...
The Role of Imaging in Aortic Dissection and Related Syndromes | JACC ...
Acute aortic dissection | The BMJ
Acute aortic dissection detected by contrast echocardiography ...
Aortic Dissection | Radiology Reference Article
Aortic Dissection | Thoracic Key
USMLE Step 1 Figurs | Dr Jama's USMLE Notes and Guide
Case 25: Aortic Dissection - UCSD Ultrasound
View From the Top: Point-of-Care Ultrasound Diagnosis of Type A Aortic ...
Incidental finding of type A aortic dissection and treated with a CT ...
Diagnostic Radiology Signs - Clinical Tree
radiología en la red: Aortic Dissection: Teaching Points – radiología ...
Imaging of Aortic Dissection | PPT
Computed tomography scan showing evidence of dissection in the aortic ...
The changing faces of aortic dissection: an unusual presentation ...
Aortic dissection diagnosis by transthoracic echocardiography. Intimal ...
CT scan images.a | Sagittal oblique view showing type A aortic ...
Aortic dissection 01 | PPTX
Pitfalls in the Diagnosis of Thoracic Aortic Dissection at CT ...
Aortic dissection | Eurorad
Radiology signs
Aortic Dissection – ECG Weekly
Acute Aortic Dissection - RCEMLearning
EPOS™
Radiologic signs of aortic dissection - YouTube
LearningRadiology - eggshell, egg, shell, calcification
Intern Ultrasound of the Month: Aortic Dissection — University ...
Aortic dissection leads to flow pattern changes in an Ang II-induced ...
Overview and radiographic findings of the aortic dissection in our ...
Full article: An Overview of Hepatic Echinococcosis and the ...
Preoperative Imaging of the Thoracic Aorta - Radiologic Clinics
Diagnosing aortic dissection using point of care ultrasound. - Abstract ...
Figure 9 from A Case of Aortic Dissection Presenting with Atypical ...
Image Predictors of Treatment Outcome after Thoracic Aortic Dissection ...
Insights From the International Registry of Acute Aortic Dissection ...
The diagnosis of aortic dissection by emergency medicine ultrasound ...
Acute Type A Aortic Dissection - Journal of Emergency Medicine
Aortic Dissection: Vital Signs Aortic Dissection
Diagnosis of Aortic Dissection by a Subtle Wall Thickening in ...
“Aortic Dissection” on eScholarship
Computed Tomography Imaging Artifact Simulating Type A Aortic ...
Aortic Dissection | MDedge
Differential Diagnosis of Aortic Dissection
Advances in Imaging for the Management of Acute Aortic Syndromes: Focus ...
Echocardiographic Assessment of Aortic Disease | Thoracic Key
Computed Tomography Imaging Findings of Acute Aortic Pathologies - PMC
Rare presentation of acute aortic dissection in a family doctor’s ...
Aortic dissection - A case in images
Transposition Egg On A String
Diagnosing aortic dissection using point of care ultrasound - PMC
Aortic Dissection - Cardiology Clinics
Radiologic Imaging of Thoracic Abnormalities - Clinical Tree
The Use of Echocardiographic Contrast-Enhanced Rapid Diagnosis of ...
Cardiac echography showing the aortic dissection. The aortic valve ...
Perioperative transesophageal echocardiography reveal aortic dissection ...
Approach to the Treatment of Aortic Dissection - Surgical Clinics