Showing 117 of 117on this page. Filters & sort apply to loaded results; URL updates for sharing.117 of 117 on this page
DNET MÓVEL | Ligações Ilimitadas + Gigas que acumulam
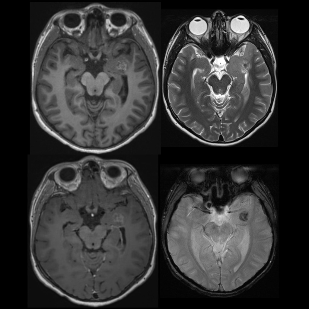
DNET | pacs
Dr Balaji Anvekar FRCR: DNET MRI
Dysembryoplastic neuroepithelial tumor DNET - YouTube
DNET – PinkyBone
DNET Tumors: Insights into Rare Brain Neoplasms
DNET $119K | Pump
HARTING 213551A0564003 M12 A-cod 5 pol st/- m/- PVC Dnet 0.3m
38. DNET | A dysembryoplastic neuroepithelial tumor (DNET) i… | Flickr
DNET Brain Tumour - Stock Image - C043/0156 - Science Photo Library
Dnet
DNET
DNET Brain Tumour - Stock Image - C043/0151 - Science Photo Library
Clinical Pathology Glossary: Dysembryoplastic Neuroepithelial Tumor ...
Dysembryoplastic neuroepithelial tumor (DNET) in a 19-year-old male ...
Dysembryoplastic Neuroepithelial Tumor | The Neurosurgical Atlas
Dysembryoplastic Neuroepithelial Tumor (DNET) - Neuropedia
مراجعة DNet.sa: نظرة على مسجل النطاقات في المملكة العربية السعودية
Dysembryoplastic neuroepithelial tumour - a reversible cause of ...
Dysembryoplastic neuroepithelial tumour (DNET) in young patient with ...
Figure 1 from Dysembryoplastic neuroepithelial tumor (DNET) and focal ...
Dysembryoplastic Neuroepithelial Tumor | Pediatric Radiology Reference ...
Dysembryoplastic Neuroepithelial Tumor (DNET)
Roentgen Ray Reader: Dysembryoplastic Neuroepithelial Tumor (DNET)
Dysembryoplastic neuroepithelial tumor (DNT) | MedLink Neurology
Diagram of the typical histological features of a dysembryoplastic ...
Dr Balaji Anvekar FRCR: Dysembryoplastic Neuro Epithelial Tumor (DNET)
Radiopaedia case Dysembryoplastic neuroepithelial tumor (DNET) id: 9693 ...
Dysembryoplastic neuroepithelial tumor (DNET) - Neuro MR Radiology Case ...
Dysembryoplastic neuroepithelial tumour - Libre Pathology
Recurrence of unusual dysembryoplastic neuroepithelial tumour with ...
Dysembryoplastic neuroepithelial tumor (DNET) in a 4-year-old boy with ...
A Rare Case of Dysembryoplastic Neuroepithelial Tumor - Journal of ...
Evaluation of Supratentorial Dysembryoplastic Neuroepithelial Tumors in ...
Histology of an intraventricular dysembryoplastic neuroepithelial tumor ...
DNET-DermaTalent Network Program
Brain tumor mri scan Black and White Stock Photos & Images - Alamy
New Imaging Features of Multinodular and Vacuolating Neuronal Tumor ...
10. Дизэмбриопластическая нейроэпителиальная опухоль / ДНЭО (11 кейсов ...
[论文评述] CAM3DNet: Comprehensively mining the multi-scale features for 3D ...
Clinico-radiological characteristics of dysembryoplastic ...
a Morphological features of the simple form of DNET. The tumor was ...
Classic Case | American Journal of Neuroradiology
CATERPILLAR 938M
Adrenalin House побывали на дне | ТЕЛЕКАНАЛ СОЛНЦЕ (@solncetv)
Russia troops 'burning Ukrainian bodies in mobile crematoriums' - Yahoo ...
Dysembryoplastic neuroepithelial tumors: Where are we now? - Chassoux ...
南湖广场 岳州帝苑小高层 全湖景 装修保养好 九中书包🎒#湖景房 #高端小区 #南北通透的房子 #上热门🔥 - 抖音
Dysembryoplastischer neuroepithelialer Tumor: Gutartige Diagnose, was ...
The Mexican Countryside under Spanish Rule (Circa 1580), Relacion ...
Dysembryoplastic Neuroepithelial Tumour (DNET) References: P. Singh ...
家长们一定要读读这套《反宠效应》,学会育儿的正确方法,孩子会越来越感恩#育儿 #家庭教育 - 抖音
인화성액체 누출사고 예방, 대비 및 대응요령 : 네이버 블로그
和 @开心妹 一起 #合拍 !祝福你开心快乐!幸福快乐! - 抖音
"Senza titolo" ["Sin título"]
24 Oras Weekend: (Part 3) April 18, 2026 - video Dailymotion
EPOS™
Serology Flashcards | Quizlet
【西甲】阿拉维斯vs奥萨苏纳首发阵容名单
The $DNET staking pool on Tibane Labs is now live! 🚀 Pool link: https ...
Rodney Emerson on MyRacePass
Luke Cooper on MyRacePass
沒關係呀 天越黑 星星才會越亮 - 抖音
CATERPILLAR Bucket for 301.4 - 301.8
Signo de protesta II
Mike Mathieson on MyRacePass
Ani Xeati de los animales
Cabezas reducidas [Shrunken Heads](Tsantsas) Walter O. Runcie Archive
Serie Fatherland / Padre Patria
Serie Historia de la peruvian corporaishion
Congratulations to our Law Clerks Victoria Bee & Naitosala Jane ...
s a r a . (@Clover7Msk616) / Posts / X
Nguồn điện QS5.DNET PULS 24VDC 91W - Công ty Thiết bị công nghiệp và Tự ...
ทหารเขมรปฏิเสธ ปมแอบปลดธงไทย “ฉก.นย.จันทบุรี” ยืนยันประท้วงทันที - สยามรัฐ
The Lighthouse [El faro] MAM Rio
El primer hombre no fue hombre, fue mujer
Premier: apeluję do kanclerza Scholza, aby przekazanie Leopardów ...
Serie Chomos voladores
April 13, 2026 - YouTube
Jujeñazo Vol. 2084 con la "Vendedora de cultura"
Miami retiree joins growing exodus to North Carolina
今季2勝目の高橋彩華は3位キープ 女王・佐久間朱莉もトップ維持【メルセデス・ランキング】 - ゴルフ総合サイト ALBA Net
引退した渡部暁斗さん、6月6日に地元白馬村で「ラストジャンプ」 JOCとイベント開催|信濃毎日新聞デジタル 信州・長野県のニュースサイト
Post from 𝘀𝝰𝘀𝗵𝝰🧁🌟
Pescaria [Pescando]
Cheiro do Amor #pastora #cartomante #fouryou #tarot #viral | TikTok
Utmost Life and Pensions completes its first external pension scheme ...
HP ProBook 4 G1ah 14 Zoll Notebook PC (C93DNET) kompatibler Ersatz Ne
clube hq: Batman N° 48 - Jardim de espinhos
Migrate SSRS reports to Power BI Manually
O Vendedor de frutas [El vendedor de frutas]
「サレタ側の復讐」増子敦貴、主人公の“癒やし”の好青年を演じて「逆に怪しく感じます(笑)」 (TVガイドWeb) - Yahoo!ニュース
无感监管您了解吗?东平推进特种设备领域无感监管工作_腾讯新闻
[mhn포토] 김민별, 목표 정조준
„Sprachenlernen Europa & USA :“ – Bücher gebraucht, antiquarisch & neu ...