Showing 120 of 120on this page. Filters & sort apply to loaded results; URL updates for sharing.120 of 120 on this page
Schematic of compressive DMD control. Path 1 shows compressed DMDc and ...
Schematic of DMD and compressive DMD. Path 1 shows compressed DMD and ...
Ways to revalidate your Degree in the US: DMD Path - YouTube
A DMD is integrated in the illumination path and projected onto the ...
DMD New Path – Laborator de anatomie patologică
Capricor: Post-CRL Path To DMD Cardiomyopathy Approval In 2026 (NASDAQ ...
Path to DMD at Boston University Henry M Goldman School of Dental ...
Pathophysiology Of DMD Genetics PPT Guidelines ACP PPT Slide
Impairment of NO pathway in the progression of DMD and therapeutic ...
Mechanisms Of DMD Pathogenesis DMD Mutation PPT Sample ACP PPT Slide
Overview of the DMD gene, its promoter structure and tissue-specific ...
The DMD gene encodes several dystrophin proteins (Dp) or isoforms ...
The optical layout of the system we have developed using the DMD is ...
Deletion mutations in the DMD gene in 642 patients mapped to two ...
Schematic of the DMD maskless lithography system. | Download Scientific ...
Key Assessment Guide: DMD - Pod NMD
DMD Resources — Mitchell's Journey
Schematic representation of a DMD study. A DMD study is comprised of N ...
Integration of the optical setup for DMD shaped dipole potentials into ...
Multi-resolution DMD – Multiphase Flow Visualization and Analysis ...
(a) Schematic diagram of a DMD projection pattern transfer lithography ...
Overall operating principle schematic diagram of the proposed DMD ...
Layout for visible light DMD projection system. If the illumination ...
The three-chip DMD projector. (Note: To clearly illustrate the complete ...
Schematic illustration of the light path used for photolithography ...
Experiment schematic. A. Optical system for DMD and pattern forward ...
DMD Spectrum and DMD modes extracted by DMD analysis of an oscillating ...
Location of three fragments in DMD gene. | Download Scientific Diagram
Revalidating Your Dental Diploma in the US: Beyond the DDS/DMD Path
Frontiers | The complex landscape of DMD mutations: moving towards ...
Diagnostic Steps for Reaching Complete Diagnosis of DMD | Download ...
The process of generating a DMD image. | Download Scientific Diagram
DMD disease progression. | Download Scientific Diagram
DDS Versus DMD: Understanding the Differences and Choosing Your Path in ...
Principle of DMD scan over the fibre core (left) and the resulting DMD ...
PPT - DMD Characterization for Digital Cinema PowerPoint Presentation ...
A healthy control and five patients presenting different types of DMD ...
DMD: Charting the Path for New Therapeutics and Better Care – Webinar ...
Algorithm for DMD diagnosis | Download Scientific Diagram
Schematic diagram of DMD domains, the exons within those domains and ...
Schematic of the DMD gene. Shown is a genome browser visualization ...
Methodological pipeline showing the working mechanism of W-DMD. DMD ...
Shared pathogenic pathways underlying cognitive impairment in DMD and ...
DMD and nonlinear nanocrystal tracking setup. (a) SEM image of BaTiO 3 ...
Amplitudes of DMD modes based on four DMD methods. | Download ...
Deletion of DMD gene was significantly associated with metastatic ...
Distribution of mutations along the DMD gene. Each box | Open-i
DMD Workflow: Left, Streaming DMD; Right Standard DMD. | Download ...
Imaging using a DMD. The scene image is focused onto the DMD plane. The ...
DMD Pathology
Example mutations in the DMD gene that cause BMD or DMD phenotypes and ...
Path diagram of dentist productivity for practice owners. Standardized ...
1: A: Schematic of the optical setup showing both the illumination path ...
The spectrum of DMD decomposition of height field h in case of: a) DMD ...
Reclassification of DMD Duplications as Benign: Recommendations for ...
Reconstruction of the first 3 dominant DMD modes in patient B under ...
Frontiers | DMD Pluripotent Stem Cell Derived Cardiac Cells ...
Schematic of the DMD algorithm, applied to a system of nonlinear ...
The flowchart of the classification method based on DMD phase ...
DMD Diagram | Quizlet
1: direct path and reflected paths | Download Scientific Diagram
DMD mode characteristics. (a) The eigenvalue of the DMD modes. (b) The ...
4. DMD modes corresponding to vortex-shedding behavior obtained from ...
Schematic of standard DMD and compressed DMD method. | Download ...
DMD output parameters. All numbers are reported as mean ± standard ...
Pathway analysis reveals high DMD expression downregulates biological ...
Schematic representation of the DMD process (adapted from Ref. [140 ...
mRNA Studies in DMD Treatment: Future Therapeutic Candidates - DMD Warrior
MRI Biomarkers for Duchenne Muscular Dystrophy (DMD)
Adaptation of the diagnostic algorithm for DMD, from suspicion to ...
Figure. Diagnostic flowchart of DMD. | Download Scientific Diagram
Dynamic Mode Decomposition for Compressive System Identification | AIAA ...
Study on Exposure Time Difference Compensation Method for DMD-Based ...
Flow diagram depicting the dystrophinopathy (DMD/BMD) and limb-girdle ...
Musculoskeletal Block Pathology of Musculoskeletal System Practical Classes
PPT - Duchenne Muscular Dystrophy: Case Presentation in a 9-Year-Old ...
PPT - Muscular Dystrophies PowerPoint Presentation, free download - ID ...
Schematic overview of DMD-gene products and their expression in the ...
Progressive cardiovascular dysfunctions in patients with DMD. In early ...
Network-based DMD-pathway proximity analysis. (A) Graphical ...
Schematic diagram of the dynamic mode decomposition (DMD) approach ...
(a) Comparison of the pulse duration measurement setup with and without ...
Principal of digital micromirror device (DMD) function and integration ...
Schematic of the DMD-based common-path QPI system. 53 The inset shows a ...
PPT - Digital Light Processing PowerPoint Presentation, free download ...
Diagnosing DMD: Steps and Differentiation by Oseaghe Omomhenle on Prezi
A representative example of Graph DMD. (a) An example of obtained data ...
The current treatment pathway for major depressive disorder (MDD) as ...
The Impact of C-Path's Quantitative Medicine Program: Generating ...
#pspjournal #drugdevelopment #dmd #modeling #simulation #simulx | Sarah Kim
Schematic diagram for dynamic mode decomposition (DMD) analysis ...
Schematic diagram of the experimental setup. DMD, digital micromirror ...
PPT - Duchenne muscular dystrophy (DMD) Richard C. Arceo, M. D ...
A Duchenne Muscular Dystrophy (DMD) Overview for Healthcare ...
Rimeporide in Duchenne Muscular Dystrophy (DMD) | Fondation EspeRare
DMD: The Pathogenic Gene of Duchenne Muscular Dystrophy - YouTube
Non-myogenic tumors display altered expression of dystrophin (DMD) and ...
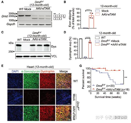
转发:DMD系列知识介绍(三):基因治疗中的递送系统 - 知乎
10 Gridless Forest Battle Maps | VTT Pack for Dnd, Pathfinder & Ttrpgs ...
FDA今日加速批准DMD疗法上市,还有这些疗法值得患者期待|基因疗法|蛋白|肌萎缩_新浪新闻