Showing 119 of 119on this page. Filters & sort apply to loaded results; URL updates for sharing.119 of 119 on this page
Axial CT Urogram images in the prone position demonstrating the right ...
Coronal CT Urogram images demonstrating the course of the right ureter ...
CT urogram – A maximum intensity projection; coronal CT images shows ...
CT Urogram with Duplicated Collecting System on the Left - Kidney ...
Normal CT Urogram - Kidney Radiology Case Studies - CTisus CT Scanning
CT urogram | pacs
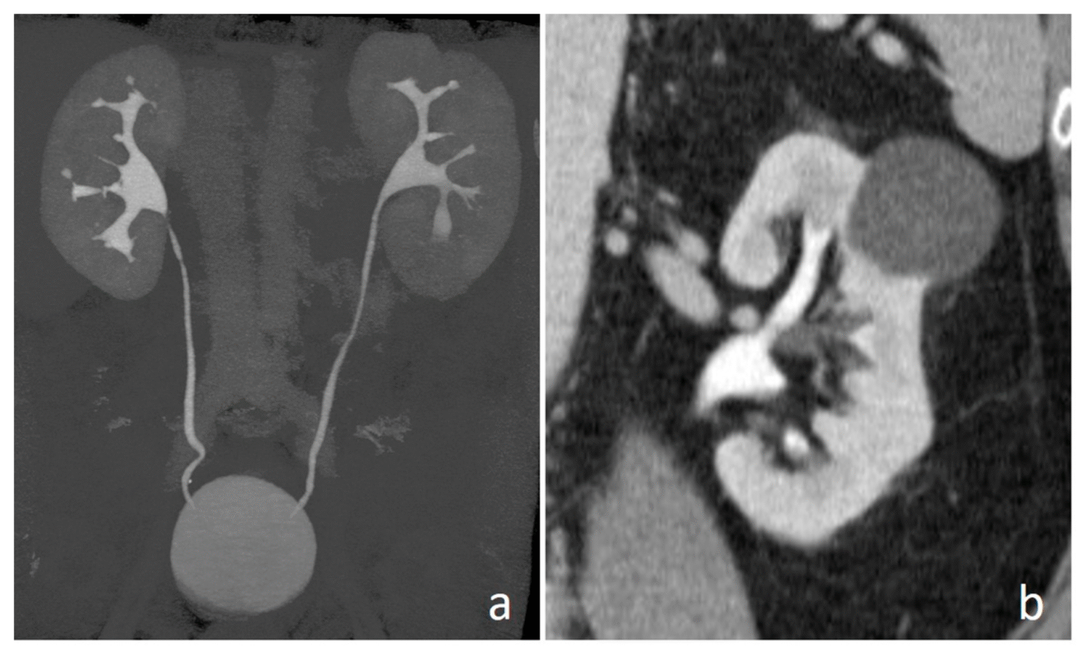
CT Urogram with Duplicated Collecting System Right Kidney - Kidney ...
Ct Urogram Description at Desmond Kelley blog
Normal CT Urogram - Kidney Case Studies - CTisus CT Scanning
What is a CT Urogram scan? | Two Views
CT Urogram | Medifyhome
What Is A Urogram CT Scan? Complete Guide » Ct-Scan-Info.com
CT Urogram with Duplicated Collecting System on the Left - Kidney Case ...
How Long Is A Ct Urogram at Jennifer Varner blog
CT urogram (axial view) revealing a 1.5 cm thickening at the level of ...
Bilateral Renal Calculi Seen on CT Urogram - Kidney Radiology Case ...
Essential Breakdown: The Three Phases of a ct urogram - Liv Hospital
Normal CT Urogram - Genitourinary Case Studies - CTisus CT Scanning
-Multiplanar urogram-phase CT serial images coronal view and schematic ...
CT urogram in 3D. #radiologist #radiology #kidney | Diagnostic imaging ...
depicts axial CT urography images of the patient. A) right ...
CT Urogram - Kidney Radiology Case Studies - CTisus CT Scanning
CT Urogram with Mild Medial Positioning of the Ureters - Genitourinary ...
Understanding the CT Urogram Procedure: What to Expect
Ct Urogram - Kidney Radiology Case Studies - CTisus CT Scanning
Image showing the CT urogram and kidney, ureter, and bladder X-ray. (A ...
Normal CT Urogram - Genitourinary Radiology Case Studies - CTisus CT ...
Abdominal CT: Urogram • LITFL • Radiology library
CT Urography / Dual / Triple phase Organ Imaging - Noble Imaging And ...
CT Urography | RadioGraphics
CT Urography for Evaluation of the Ureter | RadioGraphics
Computed Tomography – CT Scan – ScanLab Center
Coronal image from a computed tomography urogram | The BMJ
(A) CT urography in volume rendered image showing normal course of ...
Initial computed tomography (CT) urography. The first CT Urography of ...
CT Urography | Radiology Key
Best Urography CT Scan Center in Pune | Surya Diagnostics
Essential Guide: What are the Stages of a ct urogram? - Liv Hospital
CT Urography for Evaluation of the UreterRadioGraphics
What Is the Current Role of CT Urography and MR Urography in the ...
CT Urography | AJR
What is a CT urogram? Procedure, uses, risks, and results
(A) Computed tomography (CT) urogram demonstrating a 3.6 · 2.0 cm ...
Normal CT Urogram- See Full Sequence - Kidney Radiology Case Studies ...
Ct mri urography | PPTX
CT Urography-MH
-CT Urogram in arterial phase on axial (a), coronal (b) and sagital (c ...
CT Urography of the Bladder | Abdominal Key
What Is A Mri Urogram at Patrick Guinn blog
CT Urogram: Urography Test Explained - Liv Hospital
Multidetector CT Urography with Abdominal Compression and Three ...
CT urogram, sagittal view, demonstrating large intravesical tumor ...
What is a CT urogram, and what are its uses? - Locan datlantide
Ultra-high-resolution CT urography: Importance of matrix size and ...
Benefits of CT urography in patients presenting to the emergency ...
CT Urography Findings of Upper Urinary Tract Carcinoma and Its ...
Computed Tomography Urography: State of the Art and Beyond
MDCT Urography: Exploring a New Paradigm for Imaging of Bladder Cancer ...
MR Urography: Techniques and Clinical Applications | RadioGraphics
Neuroendocrine bladder tumour | Urology News
Gallery: Image (460)
Case 1-CT urogram; axial image showing the medial location of a ...