Showing 116 of 116on this page. Filters & sort apply to loaded results; URL updates for sharing.116 of 116 on this page
CT Scan Pyelogram Test Near Me - Yamuna Vihar - Cost - Ganesh Diagnostic
Post-operative CT Intravenous Pyelogram showing left ureter (blue ...
CT pyelogram showing thick walled urinary bladder and bilateral ...
a) Intravenous pyelogram and b) CT scan showing impaction of a stone ...
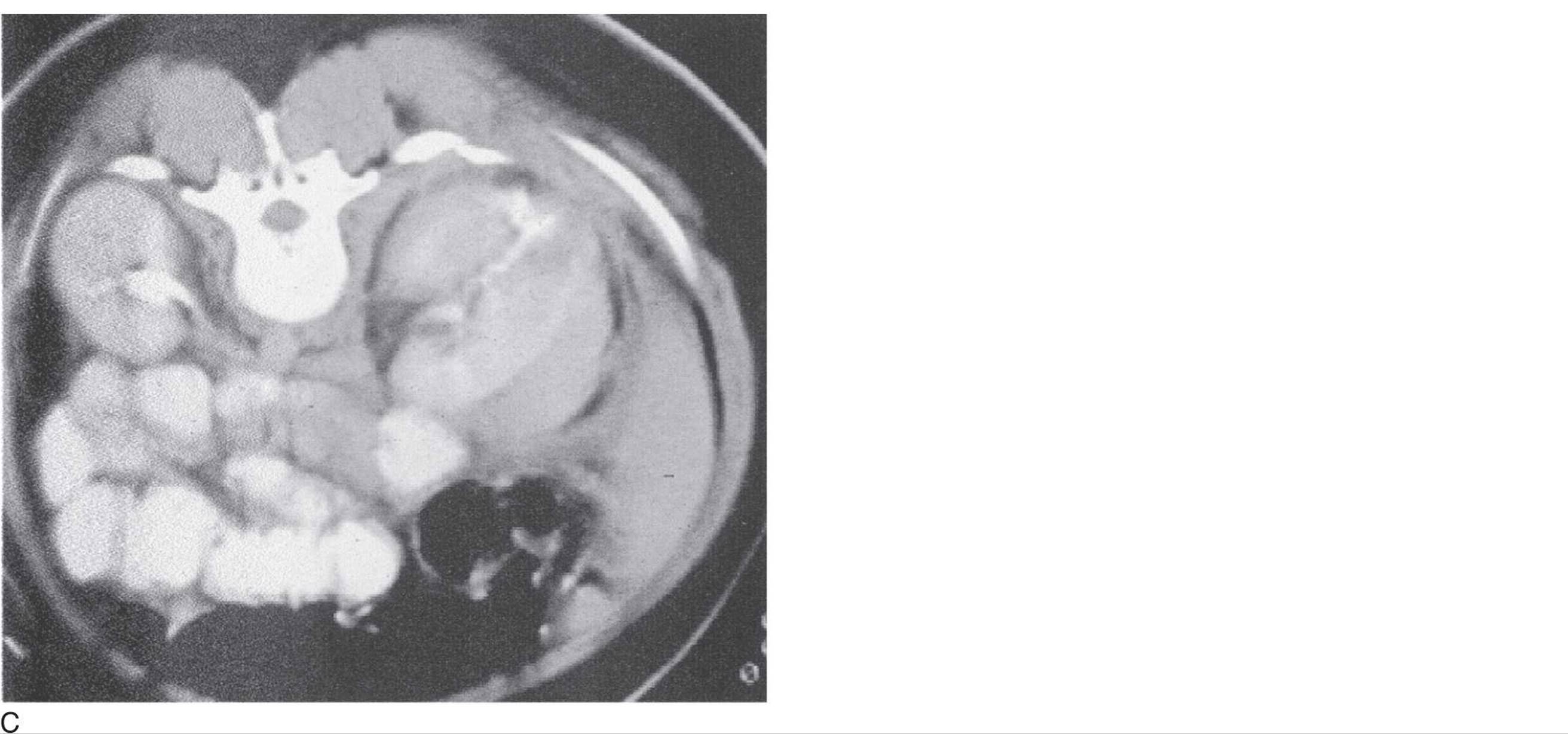
CT scan pyelogram plain study (axial plane) at level of kidneys, Renal ...
Coronal contrast enhanced CT (A) and retrograde pyelogram (B) depicting ...
Post-contrast coronal CT intravenous pyelogram in the nephrographic ...
Intravenous pyelogram and CT scan revealed bilateral incomplete duplex ...
Ct Pyelogram Stock Photo - Download Image Now - CAT Scan, Ureter ...
Abdominal pelvic CT and antegrade pyelogram showed a Crossed Fused ...
Ct Pyelogram Stock Photo - Download Image Now - Bladder, CAT Scan, CAT ...
CT Intravenous Pyelogram #shorts #medical @jingleofangel - YouTube
CT Pyelogram (Coronal View) #anatomy #lifeisbutadream #coronal # ...
Case 2: CT abdomen and pelvis (intravenous pyelogram). A, Coronal plane ...
Frontiers | Antegrade CT pyelography of right retrocaval ureter causing ...
Intravenous pyelogram at 15 (a), 30 (b), 45 (c) minutes respectively ...
(A) Pre-contrast and (B, C) post-contrast axial and coronal CT ...
Intravenous pyelogram (IVP) | pacs
Pyelography and CT prior to treatment (Case 1, 80 years old, T2N0M0 ...
X-ray findings of the two patients. Intravenous pyelogram (A) and ...
Figure 2 from Beware the stone in the duplex: Use of CT intravenous ...
Preoperative CT scan of the abdomen and pelvis with intravenous ...
What Is An Intravenous Pyelogram Ivp G/U Imaging: IVP Normal
X-rays showing retrograde pyelogram (A) After removing the stones in ...
Nephrographic and Pyelographic Analysis of CT Urography: Differential ...
Intravenous Pyelogram Ivp Exam Diagnose Treat Stock Vector (Royalty ...
Intravenous Pyelogram Or Ivp Is An Xray Exam Of Urinary Tract After ...
CT pyelography at 3 months. Fig. 2: CT pyelography at 6 months ...
Radiological images pre-operatively and macroscopic tumour. (a) CT ...
Bilateral retrograde pyelogram depicting the urinary system of the ...
Intravenous pyelogram or I.V.P is an X-ray exam of urinary tract after ...
Retrograde pyelogram demonstrating no extravasation of contrast, 6 ...
Intravenous Pyelogram | Radiology schools, Nclex rn review, Nclex
Contrast imaging including preoperative CT scan and intraoperative ...
IVP - Intravenous Pyelogram
Intravenous pyelography (a), (b), and CT radiography at pre‐operation ...
Ct Urogram- Chronic Pyelonephritis - Kidney Radiology Case Studies ...
Intravenous Pyelogram
Pyelogram (Pyelography/Urography) - We Care
CT scan of the abdomen showing small urinary bladder capacity and ...
6 Image from an intravenous pyelogram demonstrates a TCC in a lower ...
Left retrograde pyelogram revealing stenosis of the left distal ureter ...
Coronal (a) and axial (b) scan of pelvic CT after retrograde ...
Serial CT examination, retrograde pyelography. | Download Scientific ...
Genitourinary - Learning Modules - CTisus.com CT Scanning
CT Urography Findings of Upper Urinary Tract Carcinoma and Its ...
CT with IV contrast showing severe right-sided hydroureteronephrosis ...
50 Intravenous Pyelogram Images, Stock Photos & Vectors | Shutterstock
Images of case 7. A, Intravenous pyelogram (IVP) showing well-preserved ...
Ct Urography: Over 6 Royalty-Free Licensable Stock Illustrations ...
Frequently Asked Questions about Pyelography - Facty Health
250+ Bladder Cat Scan Stock Photos, Pictures & Royalty-Free Images - iStock
Antegrade MDCT Pyelography for the Evaluation of Patients with ...
Computed tomography-intravenous pyelography (CT-IVP) at the time of ...
Postoperative and CT-pyelography (3D) of case 2. | Download Scientific ...
Computed tomography–intravenous pyelography (CT–IVP) at the time of ...
Diagnosis of Mass Confined to the Kidney: Is It RCC or TCC? | MedPage Today
Computerized tomography (CT Pyelogram) showing marked dilatation of ...
Computerized tomography (CT Pyelogram) showing dilated ureter (upper ...
Renal Papillary Necrosis: Review and Comparison of Findings at Multi ...
Intravenous pyelography of the patient before operation. A large ...
Imaging in a rare case of ‘Agenesis of urinary bladder and urethra with ...
Radiographic imaging of the tumor. (A) Right retrograde pyelography ...
Imaging and Staging of Transitional Cell Carcinoma: Part 2, Upper ...
Intravenous Pyelogram: Uses, Side Effects, Procedure, Results
Spontaneous renal calyceal and ureteric rupture secondary to ...
Book Your IVP Test (Intravenous Pyelogram) - Deep Medical Centre
Diagnosis - Bladder Cancer | Johns Hopkins Pathology
Educational Case: Urinary Stones - Academic Pathology
Abdominal CT: Urogram • LITFL • Radiology library
Best Intravenous Pyelography Procedure - Ganesh Diagnostic
(a). Antegrade pyelography showing ureteral stop secondary to an ...
xmlinkhub
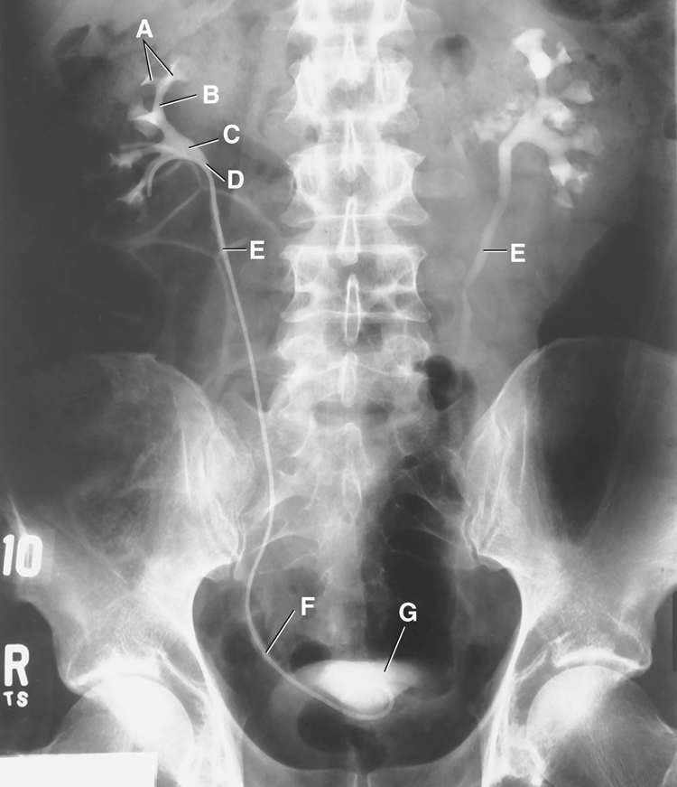
Urinary Tract Imaging: Basic Principles | Abdominal Key
PPT - GUT CASE INVESTIGATION PowerPoint Presentation, free download ...
Radiologic images. (A) Antegrade pyelography through th | Open-i
The upper right renal calyx was visible in retrograde pyelography ...
Left retrograde pyelogram. Retrograde pyelography shows complete ...
Nephrolithiasis Workup: Approach Considerations, Urinalysis, Blood Studies
Genitourinary Trauma - Trauma, 7th Ed.
Computed Tomography Urography: State of the Art and Beyond
Bontrager's Textbook of Radiographic Positioning and Related Anatomy
Ultrasound-guided percutaneous antegrade pyelography with computed ...
Retrograde pyelography showing bilateral hydro-uretero-nephrosis with a ...
Retrograde pyelography of horseshoe kidney under fluoroscopy ...
Internet Scientific Publications
GUT CASE INVESTIGATION LECTURE 1. Nephrolithiasis(renal stones ...