Showing 120 of 120on this page. Filters & sort apply to loaded results; URL updates for sharing.120 of 120 on this page
Biomolecular Classification in Endometrial Cancer: Onset, Evolution ...
Ankle injuries & Trimallelor fracture classification | PPTX
(PDF) Biomolecular Classification in Endometrial Cancer: Onset ...
Classification Of Biomolecules at Anna Trotter blog
(PDF) Classification and treatment of lateral malleolar fractures - a ...
BioMolecular Motors, it's classification and their functions | PPTX
CLASSIFICATION OF ANKLE FRACTURES in orthopaedics | PPTX
Classification Of Biomolecules: Definition, Types, Diagrams PDF
AO Classification
Lauge Hansen Classification of Ankle Fractures | UW Emergency Radiology
Danis Weber Classification of Ankle fractures — OrthopaedicPrinciples.com
Correlation Between Weber Classification of Ankle Fractures and Medial ...
Ankle Fractures Danis Weber Classification - Everything You Need To ...
SOLUTION: Biological classification mind map - Studypool
Classification of energy landscapes of biomolecular systems. Energy ...
BioMolecular Motors, it's classification and their functions | PPT
Classification | PPT
Ao Ota Classification Of Distal Humerus Fractures From Journal Of
Danis – Weber Classification of Ankle Fractures | UW Emergency Radiology
Translational utility of a hierarchical classification strategy in ...
PPT - Comprehensive Overview of Biological Classification and Taxonomy ...
Weber classification of ankle fractures – Artofit
SOLUTION: Translational utility of a hierarchical classification ...
(PDF) Plant Breeding Biomolecular Classification in Quantum Bayesianism ...
Flowchart for classification of the biomolecular structures in the PDB ...
Cpt Code Orif Bimalleolar Ankle Fracture at Joanna Swanner blog
Bimalleolar fracture.pptx
BIMALLEOLAR FRACTURES mechanism and anapath.pptx
Ankle Fractures | Musculoskeletal Key
Biomolecules - Definition, Structure, Classification, Examples ...
Presentation of bimalleolar fractures by site and fracture type ...
Malleolar Fractures Of Ankle- Bimalleolar Fractures,, 44% OFF
Pott’s fracture | PPTX
Malleolar Fractures of Ankle- Bimalleolar Fractures, Trimalleolar ...
frosdscience - Blog
Infographic of the Hierarchy of Biological Classification, showing ...
Ankle Fracture ORIF - FootEducation
ANKLE FRACTURES, Anatomi, Stability, Main Ligamentous system | PPT
Bimalleolar Fracture | Broken Ankle: Causes, Symptoms, Diagnosis, Treatment
Ankle fracture | PPTX
Bimalleolar Fractures - Robert Sheinberg, DPM | Weston, FL Podiatrist
Bony-ankle-injuries.pptx
Bimalleolar fracture Banque de photographies et d’images à haute ...
Ankle fracture | PDF
The Reliability and Accuracy of the Medial Malleolar Fracture ...
Ankle Fracture all in all with short and sweet | PPT
Bimalleolar fracture causes, symptoms,diagnosis, treatment & recovery
Biomolecules- Carbohydrates, Proteins, Nucleic Acids And Lipids – OIDK
Ankle X-ray Interpretation | Ankle Fracture | Geeky Medics
Ortho Globe | Understanding Ankle Fractures: Causes, Symptoms, and ...
Biomolecules- Carbohydrates, Proteins, Nucleic acids and Lipids
Ankle fractures and how to interpret X-ray | PPTX
Anatomy of Ankle joint | PPTX
Ankle joint radiography | PPTX
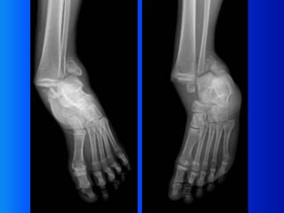
(a,b) X-rays and (c-f) representative CT layers of a bimalleolar ...
Biomolecules in Living Organisms- The Four Types Of Biomolecules
Fracture bimalléolaire (cheville) - Chirurgie Orthopédique et ...
Foot & Ankle Injuries - Healthy Movements Physiotherapy
Binomial Nomenclature: Definition, Rules, Classification, And Examples
CH 17 Bimalleolar Fractures. en | PDF | Clinical Medicine ...
A combination of bimalleolar fracture and fracture on talar... : Medicine
Binomial Nomenclature Chart Tables Binomiales
A 32-year-old male patient suffered from a bimalleolar fracture of the ...
Bimalleolar Fracture | PPTX
Ankle Fractures and Syndesmosis.pptx
Assessing Fibular Length Using Bimalleolar Angular Measurements - Bruce ...
Management of ankle fractures | The BMJ
Bimalleolar Fractures: Management and Evaluation of Treatment ...
Ankle fracture - WikEM
Recent advances in the synthesis and application of biomolecular ...
vintsharing - Blog
Radiology case: Bimalleolar ankle fracture
Bimalleolar Fracture: A Comprehensive Guide
Ankle Fractures - The bimalleolar ankle fracture with syndesmotic ...
MANAGEMENT OF BIMALLEOUS FRACTURE .pptx
Biomolecules or Biological molecules infographics with Types of ...
Ankle Fracture
Ankle Fractures – Core EM
Pilon Fracture Orthobullets | Pilon Fracture – ODNCYY
Icd-10-Gm-2024: Weber A Fraktur – MVFG
Figure 1 from Medial insufficiency in postoperative weight-bearing ...
Blog | Set in Motion Physiotherapy
Bimalleolar Ankle Fractures - MD Searchlight
Targeting of biomolecular condensates to the autophagy pathway: Trends ...
[PDF] Functional Outcome of Bimalleolar Ankle Fractures Treated With ...
Trimalleolar Right Ankle Fracture | Ankle fracture, Ankle surgery, Fracture
ICD 10 PCS Coding of Bimalleolar and Trimalleolar Fractures - YouTube