Showing 120 of 120on this page. Filters & sort apply to loaded results; URL updates for sharing.120 of 120 on this page
A classification and grading system for Barton fractures | SpringerLink
Prescriber - 2020 - Barton - Classification and Choice of ...
💀 Classification Systems of Tear Trough Deformity (TTD): 1. Barton ...
5: Values used for Barton S -systern geornechanical classification of ...
Geomechanical Mapping: Q Barton Classification
Barton Classification Table | PDF
Leoville Barton Classification at Dalton Finn blog
(PDF) Classification and treatment of volar Barton fractures
Barton Fracture X Ray at Maddison Pickworth blog
Colles Fracture Classification Wrist Fractures: What The Clinician
Barton vs colles fracture - qeryworkshop
Figure 1 from Functional outcome of Volar Barton ’ s Fracture treated ...
Barton Fracture
Variability of Bartonicek classification type II PMF (intraincisural ...
Bartons Fracture Lateral View Of Barton Fracture. | Download
Bartoníček’s classification given in the guide sheet [10] | Download ...
There are four types of Bartoníček's classification scheme: a (type 1 ...
LiTFL clinical cases: open fracture, compartment syndrome, Barton ...
Burton classification system for trapeziometacarpal arthritis [6, 7 ...
PPT - ROCK MASS CLASSIFICATION S PowerPoint Presentation, free download ...
Barton Q System | Barchip
CLASIFICACION GEOMECANICA - Q BARTON - (Geotecnia y Geomecanica) - YouTube
Colles Fracture Classification
Overview of the Bartoníček/Rammelt classification based on CT images ...
Barton's Classification System - classification system DESCRIPTION ...
Bartonicek classification for posterior malleolar fractures. Type 1 ...
Classification of Colles' fractures according to Older et al. [9 ...
Different Types Of Fractures A Simple Classification Of Fractures
4: Classification of individual parameters used in the Tunnelling ...
Nick Barton - Hard and Soft Rock Engineering
'Four in a Row' Digital Reading & Spelling Games for Barton Book 5 ...
Volar and Dorsal Barton fractures — OrthopaedicPrinciples.com
AO classification of distal radius fractures - ppt download
Volar Barton Fracture Animation
teryfame - Blog
Fractures of the distal radial physis and barton's fracture | PPTX
17 Trauma of the Distal Forearm | Radiology Key
Distal Radius Fractures - Trauma - Orthobullets
Die Radiusfraktur - BDC|Online
PPT - Distal forearm fractures and dislocations PowerPoint Presentation ...
Fractures of the distal radial physis and barton's fracture | PPT
8+ Hundred Distal Radius Fractures Royalty-Free Images, Stock Photos ...
Name fractures | PPTX
Distal radius fracture in adults | PPTX
Correction of the Tear Trough Deformity | Plastic Surgery Key
The Q support chart (from Grimstad and Barton, 1993). | Download ...
Fraturas do Rádio Distal | Concise Medical Knowledge
PPT - Common upper limb fractures PowerPoint Presentation, free ...
Fractures of distal end radius | PPTX
Distal radius fracture | PPTX
PPT - Common Adult Fractures PowerPoint Presentation - ID:2280629
Distal Radius Fractures(DER) colless.pdf
Figure 1 from Study the functional outcome of Barton’s fracture treated ...
Colles fracture • LITFL • Medical Eponym Library
Fracture of the Distal Radius: Epidemiology and Premanagement ...
Pin by majeja84 on Musculoskeletal | Radiology, Radiology student ...
Reverse Bartons Fracture
Smith Fracture - Distal Radial Fracture | Radiology Case
Management of distal radius fractures: Treatment protocol and ...
28 Distal Radius and Galeazzi Fractures | Musculoskeletal Key
SC Met Exam Paper - Model Answers - EXAMINATION PAPER SUBJECT: CHAMBER ...
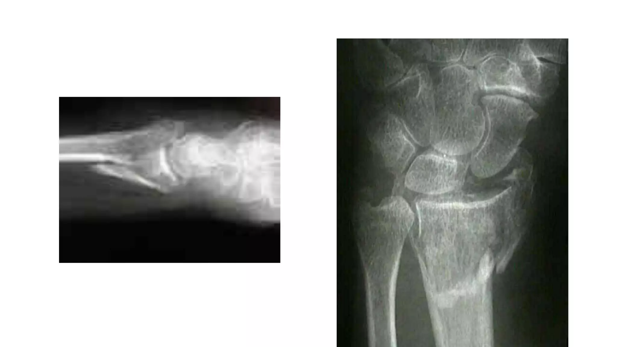
Barton’s fracture
Recognizing and Treating Unique Distal Radius Fracture Patterns that ...
Distal radius fractures | PPTX
A brief review of distal radius fractures | PPTX
Bartons fracture ,What to know?
PPT - X-Ray Rounds PowerPoint Presentation, free download - ID:5389793
PPT - Recognizing fractures PowerPoint Presentation, free download - ID ...
DISTAL END OF RADIUS FRACTURE AND DISLOCATION MANAGEMENT.pptx
Forearm Fractures – Core EM
Practical-Rock-Engineering-Chapter-3-Rock-Mass-Classification.pdf
DISTAL RADIUS FRACTURES.pptx
The Radiology Assistant : Fractures
Eponymous Fractures and Other Popular Fracture Names | Bone and Spine
Wrist Trauma Fractures and Dislocations of the Wrist
Fractures Of The Distal Radius | PPT
distal radius # ppt | PPTX
Learningradiology Galeazzi And Monteggia Fracture Musculoskeletal And
Distal forearm fractures and dislocations Dr Ihab Rassem
Assessent and radiology of distal end radius fracture | PPTX
distal end radius fracture | PPTX
emDOCs.net – Emergency Medicine EducationWrist and Distal Forearm ...
Inter-rater reliability (Fleiss’ κ) performance of the Bartoníček ...