Showing 85 of 85on this page. Filters & sort apply to loaded results; URL updates for sharing.85 of 85 on this page
Banded Palatal Expander - Orthodontic Resource Group
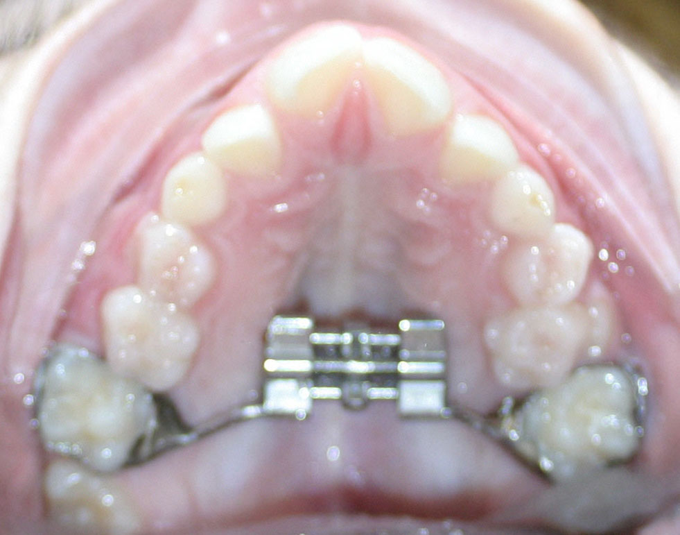
Banded Palatal Expander (PE) in NYC | Bronsky Orthodontics
Bonded versus banded rapid palatal expander followed by facial mask ...
Rapid Palatal expander banded on the second deciduous molars ...
Banded and Bonded Expanders - Appliances for Widening the Upper Jaw
Orthodontic Expanders - Banded
The banded expander. | Download Scientific Diagram
Bonded Palatal Expander - YouTube
Rapid Palate Expander | Brain Dental Lab | 7 Day Turnaround
Bonded Palatal Expander - Orthodontic Resource Group
How To Turn Rapid Palatal Expander (RPE) Los Angeles, CA
Bottom Teeth Expander at Karen Cutright blog
The Role of a Rapid Palatal Expander - Noble Orthodontics
The Ultimate Guide for Palatal Expander | Aria Dental
Orthodontic Appliances | Palate Expander | Philadelphia Orthodontics
Palatal Expander - Village Orthodontics & Minneapolis Orthodontics ...
Rapid Palatal Expander (Palate Expander) - Yang Orthodontics
Removable Palatal Expander
Palatal Expander | Improve Bite & Facial Development | O'Keiff Orthodontics
Occlusal view of banded maxillary expander. | Download Scientific Diagram
Bonded hybrid rapid palatal expander appliance. | Download Scientific ...
Dental Haven Malolos - A palatal expander is a device in the field of ...
Custom Expander Bands – CAD Design – CAE Dental
Case Study using 3D Printed Metal Palatal Expander by Dr Richard Cousl ...
How does the palatal expander work? | Orthodontics braces, Orthodontics ...
Palatal Expander Types at Louise Whipple blog
Ann Arbor Orthodontics
Types of Appliances - Canyon Point Orthodontics | Golden Boulder CO
Rapid Palatal Expanders and Palatal Expanders
Appliances - Orthodontic Resource Group
Types of Orthodontic Appliances in Houston, TX
Expanders – OrthoTech
Palatal expander-bonded design - YouTube
[BRACES EXPLAINED] Palatal Expanders - YouTube
What is a Palatal Expander, and What is it Used For? | American ...
Understanding Palatal Expanders: Benefits, Types, and More ...
Fixed Palatal Expanders | Parklund Orthodontic Lab
Removable Palate Expanders | Parklund Orthodontic Lab
Everything You Need to Know About Palatal Expanders in Orthodontics ...
Palatal Expanders-What They Are and How They Work
What is a Rapid Palatal Expander? | Ask an Orthodontist.com
Orthodontic Appliances | Sprowls Orthodontics | Middletown OH
Benefits of Palatal and Mandibular Orthodontic Expanders
Palatal expanders: What you need to know - Tōtara Orthodontists
Everything you need to know about Palatal Expanders - Feinstein 360 ...
Palatal Expanders: Complete Guide to Types, Benefits & Treatment | ODL ...
Everything You Need to Know About Palatal Expanders
James R. Waters, DDS, MSD, PA: My child needs a Palatal Expander, what ...
10: Treatment Tactics for Problems Related to Dentofacial Discrepancies ...
S5563b9aa473242b4bfacf07aa491cfcbw.png
Braces | Kifer Dental Specialist | Dr. Denise Doan, DDS, MMSc
Palatal expanders | Express Dental Laboratory
Comparison of Different Types of Palatal Expanders: Scoping Review - PMC
How Do Palatal Expanders Work and Who Needs Them?
Palatal Expanders | Carroll Orthodontics Hamilton, MT & Stevensville, MT
Palatal Expanders: Why, How, and When
Comparison of Different Types of Palatal Expanders: Scoping Review
Understanding the Different Types of Palatal Expanders Available
Randomized Controlled Clinical Trial to Evaluate Skeletal and Dental ...