Showing 120 of 120on this page. Filters & sort apply to loaded results; URL updates for sharing.120 of 120 on this page
A common East-Asian ALDH2 mutation causes metabolic disorders and the ...
aldh2 病気 – aldh2 変異 – XOIJO
Protective effects of Alda-1, an ALDH2 activator, on alcohol-derived ...
ALDH2 rs671遺伝型層別GWASメタ解析により明らかとなった日本人の飲酒行動の遺伝的構造とその食道がんリスクへの影響 | J-MICC ...
Frontiers | Impact of common ALDH2 inactivating mutation and alcohol ...
ALDH2 deficiency exacerbates renal ischemia–reperfusion injury. WT mice ...
The schematic for mechanism. ALDH2 expression was deleted in LIHC, and ...
The Role of ALDH2 in Cardiovascular Disease Management | Encyclopedia MDPI
ALDH2 antibody (68237-1-Ig) | Proteintech | 武汉三鹰生物技术有限公司
ALDH2 (Acetaldehyde Dehydrogenase 2) activator AD-9308 enhanced ALDH2 ...
Alda-1 is a potent ALDH2 Agonist - Network of Cancer Research
ALDH2 is reduced in HBV-infected human liver. (A) Representative ...
Aldh2 (acetaldehyde dehydrogenase 2) knock-in mice mimicking human ...
서울대병원, ALDH2 활성화로 새로운 탈모 치료 기전 규명
Molecular representation of ALDH2 after renal ischemia–reperfusion ...
ALDH2 (Aldehyde Dehydrogenase 2) Protects Against Hypoxia-Induced ...
ALDH2 (aldehyde dehydrogenase 2) directly interacts with Rac2. A ...
ALDH2 (aldehyde dehydrogenase 2) rs671 mutation in human macrophages ...
Sirtuin 5 介导的 ALDH2 去琥珀酰化减轻对乙酰氨基酚诱导的急性肝损伤后的线粒体氧化应激,Advanced Science - X-MOL
cGAS Inhibits ALDH2 to Suppress Lipid Droplet Function and Regulate ...
ALDH2 (aldehyde dehydrogenase 2) deletion in macrophages depresses Rac2 ...
ALDH2 (aldehyde dehydrogenase 2) deletion dampens macrophage ...
ALDH2 (aldehyde dehydrogenase 2) stabilizes Rac2 by attenuating Rac2 ...
日本人 aldh2 比率: aldh2 遺伝子型 – TYZD
Frontiers | ALDH2 attenuates myocardial pyroptosis through breaking ...
(PDF) The ALDH2 gene rs671 polymorphism is associated with ...
Role of ALDH2 in Hepatic Disorders: Gene Polymorphism and Disease ...
不專業學術閒聊: 亞洲人的 ALDH2 變異不只讓你酒精代謝功能不佳,還會增加動脈疾病風險!
(PDF) A common East-Asian ALDH2 mutation causes metabolic disorders and ...
Aldh2 (acetaldehyde dehydrogenase 2) knock-in mice displayed impaired ...
ALDH2 deficiency increases susceptibility to binge alcohol-induced gut ...
ALDH2 activation through Alda-1 pretreatment enhances ALDH2 expression ...
(PDF) ALDH2 gene polymorphism is associated with fitness in the elderly ...
ALDH2 Antibodies | Antibodies.com
Sirtuin 5‐Mediated Desuccinylation of ALDH2 Alleviates Mitochondrial ...
Hormones and the: ALDH2 Gene
ALDH2 (Acetaldehyde Dehydrogenase 2) activator AD-9308 treatment ...
ALDH2 deficiency promotes alcohol-associated liver cancer by activating ...
Gut–liver highway of ALDH2 in drinking,Nature Metabolism - X-MOL
ALDH2 缺乏通过调节胆汁酸代谢加剧 MCD 饮食诱导的 MASLD,Free Radical Biology and Medicine ...
The expression of ALDH2 in the young (WT) group, aged (WT) group and ...
The ALDH2 mRNA levels in HNSC patients. (A) TIMER 2.0 displays the ...
ALDH2 通过 ROS/Nrf2 介导的自噬阻碍肝细胞癌的免疫逃逸,Inflammation - X-MOL
ALDH2 activation via Alda-1 attenuates hyperoxia-induced increase in ...
Schematic diagram picturing the role of ALDH2 in CKD-induced cardiac ...
ALDH2 activation attenuated renal injury in cisplatin-induced AKI. A ...
ALDH2 activity. The activity of ALDH2 declines obviously in the model ...
ALDH2 Recombinant Monoclonal Antibody (23GB4810) (MA5-52750)
Adenovirus ALDH2 double mutant (human; mitochondrial; C301S/C303S ...
ALDH2 inhibits myocardial pyroptosis through NLRP3/Caspase-1/GSDMD ...
ALDH2 activity and aldehydic load contribute to neuroinflammation and ...
Invitrogen ALDH2 Recombinant Rabbit Monoclonal Antibody (1J9I8) 100 μL ...
Aldehyde dehydrogenase 2-mediated aldehyde metabolism promotes tumor ...
Aldehyde dehydrogenase 2ALDH2 is required for the bioactivation of ...
ALDH2基因多态性ppt课件_word文档在线阅读与下载_无忧文档
Hemodynamics and syncope time during HUTT-NTG in the ALDH2*1/*1 and ...
ALDH靶点综述 | 从人体解毒到基因治疗 - 智源社区
齐鲁医院陈玉国/徐峰教授团队发现内皮细胞ALDH2调控腹主动脉瘤早期进展的重要机制-山东大学新闻网
【汤医新技术】乙醛脱氢酶ALDH2基因检测:揭秘饮酒反应与药物疗效 检验医学科 -北京小汤山医院
Identify cardiomyocytes by immunofluorescence (a), CCK-8 activity (b ...
International Journal of Molecular Medicine
Mitochondrial Aldehyde Dehydrogenase 2 (ALDH2) Protects against Binge ...
齐鲁医院陈玉国/庞佼佼教授团队发文揭示ALDH2 rs671基因突变是脓毒症ARDS个体化防治靶点并深入阐明机制-山东大学新闻网
醛脱氢酶2与人类疾病的关系及其小分子激动剂研究
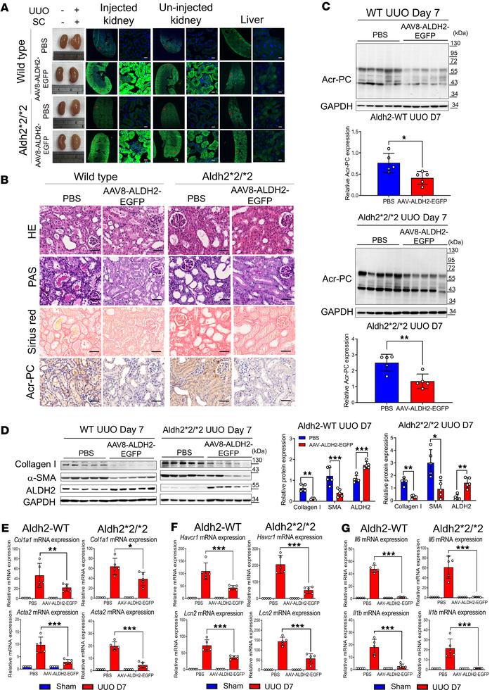
JCI Insight - Aldehyde dehydrogenase 2 preserves kidney function by ...
ALDH2遺伝子多型に関する研究 - 佐賀大学医学部 社会医学講座環境医学分野
齐鲁医院陈玉国/魏述建团队发现调控乙醛脱氢酶2(ALDH2)新机制-山东大学新闻网
Professor Huiyong YIN’s Team Identified Protein Translation in ...
Phenomics| 孙爱军课题组综述文章阐述突变型ALDH2起源及分布的奥秘 - 知乎
人类ALDH2基因多态性检测试剂盒(PCR-荧光探针法)-武汉康录生物技术股份有限公司
LncRNA CHKB-DT Downregulation Enhances Dilated Cardiomyopathy Through ...
Virtual Screening of FDA-Approved Drugs for Enhanced Binding with ...
Nature系列综述:徐峰/尹慧勇/陈玉国全面阐述乙醛脱氢酶2与心血管疾病|乙醛脱氢酶|心血管疾病|ALDH2|主动脉瘤|靶点|-健康界
ALDH2(アルデヒド脱水素酵素2型)を活性化する食品 - 三軒茶屋整体コダマカイロプラクティックセンター院長ブログ
中国科学家发现p53通过抑制ALDH2调控乙醇代谢 - 知乎
Adv Sci:陈玉国/徐峰团队发现内皮细胞ALDH2在腹主动脉瘤早期进展中起关键作用-MedSci.cn
Eur Heart J 葛均波院士/孙爱军教授团队与郭延松教授团队合作发现ALDH2基因缺失加重心肌缺血再灌注损伤的新机制-MedSci.cn
Science子刊 | 吴庆明团队发现中国人一喝酒就脸红的基因突变,还会增加心脏病风险,但潜在治疗药物找到了!_研究_相关_疾病
大鼠线粒体乙醛脱氢酶(ALDH2)ELISA试剂盒_大鼠ELISA试剂盒_ELISA试剂盒_产品中心_上海源桔生物科技中心
Molecular Medicine Reports
人ALDH2基因分型检测试剂盒(荧光-PCR法) - 杭州百迈生物股份有限公司
硝酸甘油用药基因检测-解码(上海)生物医药科技有限公司
Metabolism(IF 11.9):山东大学齐鲁医院陈玉国/徐峰教授团队揭示防治血管再狭窄新靶点-自主发布-资讯-生物在线
Amazon | 【賞味期限間近】アルデール ALDH2含有 サプリメント(1袋10包入り)日本人に足りない酵素を手軽に補給 【国際特許出願中 ...
ALDH2基因检测_word文档在线阅读与下载_无忧文档
Genes in Alcoholic Liver Disease: A Complex Interplay
Circulation 香港城市大学/中科院营养与健康研究所尹慧勇教授团队合作揭示心肌梗死过程中蛋白翻译调控心肌细胞铁死亡机制-MedSci.cn
Amazon.co.jp: 【賞味期限間近】アルデール ALDH2含有 酵素サプリメント(1袋10包入り)日本人に足りない酵素を手軽に補給 ...
来看看自己有没有喝酒基因,酒精代谢能力基因检测 - 知乎
Frontiers | Protective effects of isoflavones on alcoholic liver ...
玩转Sanger测序仪丨专题七:ALDH2基因多态性检测 - 知乎
お酒に強い?弱い?あなたの遺伝子が握るアルコール代謝-リープリーパー
醉是心从容:乙醛脱氢酶2基因最新章节全文无弹窗在线阅读-QQ阅读女频仙侠网
Identifying the Therapeutic and Prognostic Role of the CD8+ T Cell ...
ALDH2影响血管损伤诱导的再狭窄的机制研究_生物器材网
CMI 山东大学齐鲁医院陈玉国/庞佼佼教授团队揭示ALDH2 rs671基因突变是脓毒症ARDS个体化防治靶点并深入阐明机制-MedSci.cn
分子诊断标准品---心绞痛吃药怎么没效果——主要与ALDH2有关 - 知乎