Ectopic Ureters in Dogs: Our Vet Explains the Causes, Signs ...
Figure 1 from Ectopic Ureters and Ureteroceles in Dogs : Presentation ...
Ectopic Ureters in Dogs: How Are They Treated? | VetMed
Ectopic Ureters in Dogs | Atlantic Veterinary Internal Medicine ...
Figure 2 from Bilateral ectopic ureters in a male dog with unilateral ...
Treatment of Ectopic Ureters in Dogs
Ectopic Ureters in Dogs and Cats - Veterinary Partner - VIN
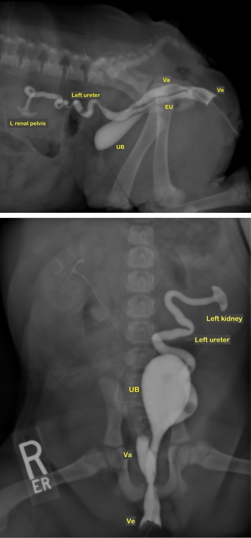
-Right lateral radiography in a female dog affected by ectopic ureter ...
(PDF) Surgical treatment of retroiliac ectopic ureters with secondary ...
-Ventrodorsal radiography in a dog affected by an ectopic ureter ...
Ectopic Ureters and Incontinence in Young Dogs | FirstVet
Ectopic Ureters in Dogs, Thousand Oaks Vets
THE NEWFOUNDLAND DOG OWNERS & LOVERS GROUP | Ectopic ureter is a ...
Surgical treatment of retroiliac ectopic ureters with secondary ...
Ectopic Ureter in Dogs - GRCWA
Ectopic Ureters - Mar Vista Animal Medical Center
What Is An Ectopic Ureter In Dogs? | Kingsdale Animal Hospital
Ultrasonography as a sensitive and specific diagnostic modality for the ...
Ectopic ureters are rare... - Second Chances Veterinary Care | Facebook
Ectopic Ureters
Minimally Invasive Surgical Techniques for the Treatment of Dogs with ...
Urinary incontinence in dogs following ectopic ureter surgery
Treatment of Ectopic Ureters | Clinician's Brief
Intraluminal unilateral ectopic ureter associated to ectopic ...
Left Ectopic ureter in a 5 month old F Greater Swiss Mountain dog - Members
Receiver operating characteristics of computed tomography (CT) compared ...
PPT - Disorders of micturition PowerPoint Presentation, free download ...
Kidneys and ureters small animal surgery.pptx
Urinary incontinence in female dogsThe Veterinary Expert| Pet Health
Ureteral Anomalies in Animals - Urinary System - Merck Veterinary Manual
The canine and feline urinary system - Linden Veterinary Clinic
Figure 4 from Cystoscopic-guided laser ablation of an intramural ...
Less Common Causes
Health | Entlebucher Mountain Dogs of Adhem Kennel
Veterinary Partner - VIN
27: Urogenital Tract | Veterian Key
Cystoscopy - Texas A&M Veterinary Medical Teaching Hospital
Based on this image's title: “Ectopic Ureters in Dogs: Our Vet Explains the Causes, Signs ...”