Carcinoma of the uncinate process of the pancreas presenting with deep ...
(PDF) Adenosquamous carcinoma of the uncinate process of the pancreas ...
(PDF) Primary Small Cell Carcinoma of the Pancreas Presenting With ...
Adenosquamous carcinoma of the uncinate process of the pancreas with ...
Carcinoma Uncinate Process of the Pancreas with Incidental Pulmonary ...
Carcinoma of the Uncinate Process - Pancreas Case Studies - CTisus CT ...
Carcinoma of the Uncinate Process - Pancreas Radiology Case Studies ...
(PDF) Resection of the uncinate process of the pancreas due to a ...
(PDF) Carcinoid of the uncinate process of the pancreas in a child: An ...
(PDF) Primary squamous cell carcinoma of the pancreas with a large ...
(PDF) A case of pancreatic carcinoma arising from the uncinate process ...
(PDF) Undifferentiated carcinoma of the pancreas with osteoclast-like ...
(PDF) Acinar cell carcinoma of the pancreas presenting as diffuse ...
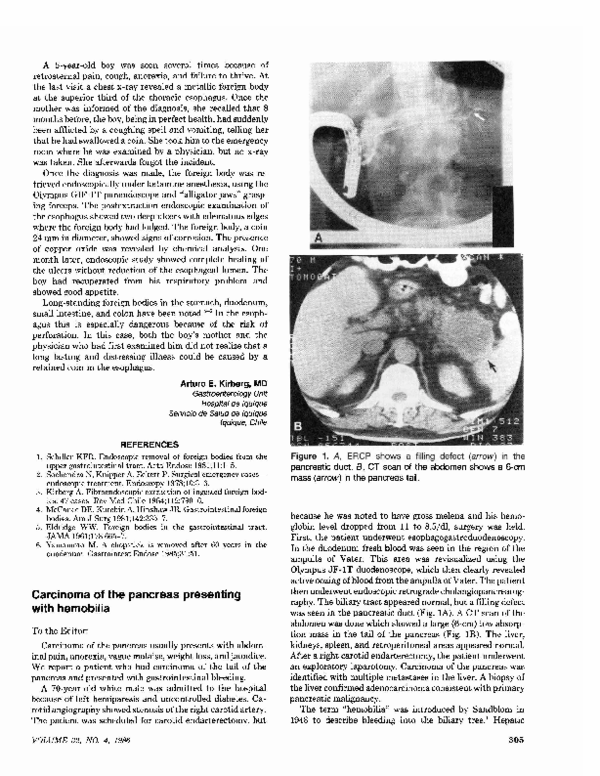
(PDF) Carcinoma of the pancreas presenting with hemobilia
(PDF) Carcinoma of the Tail of the Pancreas Presenting As Acute Abdomen
(PDF) Unduly extensive uncinate process of pancreas in conjunction with ...
(PDF) Laparoscopic resection of uncinate process of the pancreas
C T scan of 4 c m tumour of the uncinate process of the pancreas ...
(PDF) Hepatoid Carcinoma of the Pancreas Presenting as Acute Pancreatitis
(PDF) Solid Pseudopapillary Neoplasm of the Uncinate Process of the ...
(PDF) Duodeno-Pancreatic Preservation in a Big Tumor of the Uncinate ...
Radiologic images of the (A) pancreatic mass in the uncinate process of ...
A 53-year-old female patient with adenocarcinoma of the uncinate ...
(PDF) Surgical Management of Adenocarcinoma of the Pancreatic Uncinate ...
Uncinate Process of the Pancreas | PDF | Pancreas | Anatomy
Uncinate Process Pancreas Ultrasound Of The Pancreas
(PDF) A Case of Pancreatic Colloid Carcinoma Presenting with Acute ...
Subtle Carcinoma in the Uncinate Process - Pancreas Case Studies ...
(PDF) Undifferentiated Carcinoma of Pancreas Presenting as Obstructive ...
Subtle Carcinoma Arising off the Uncinate Process - Pancreas Radiology ...
Abdominal MRI showed a T1-hypointense lesion of the uncinate process of ...
(PDF) Clear cell carcinoma of the pancreas
a Macroscopic resected uncinate process of the pancreas, 3.7 × 2.6 × ...
Pancreatic ductal adenocarcinoma of the uncinate process of the ...
Management of the Uncinate Process in No-Touch Laparoscopic ...
(PDF) Primary Clear Cell Carcinoma of the Pancreas: A Rare Case Report
Pancreatic cancer of the uncinate process. (A) Endoscopic... | Download ...
Adenocarcinoma Uncinate Process Invades the Duodenum - Pancreas ...
Uncinate process of pancreas | Anatomical Terms Pronunciation by Kenhub ...
Pancreatic Cancer Within the Uncinate Process - The Pancreas - Wiley ...
Figure 2 from Duodeno-Pancreatic Preservation in a Big Tumor of the ...
Abdominal-enhanced CT image of the pancreatic lesion. A pancreatic mass ...
Benign and Malignant Tumors of The Pancreas | ODP
Uncinate process of pancreas | Anatomy.app
a. A mass of approximately 4.0 cm diameter located in uncinate process ...
Uncinate process of pancreas - Wikipedia
(PDF) Robotic enucleation of a pancreatic uncinate neuroendocrine tumor ...
Pancreatic Acinar Cell Carcinoma With Extension Into The Main ...
Pancreatic uncinate process Archives - Ronny Allan - Living with ...
(PDF) LAPAROSCOPIC UNCINATECTOMY: A MORE CONSERVATIVE APPROACH TO THE ...
(PDF) Laparoscopic removal of gastrointestinal stromal tumors of ...
(PDF) Laparoscopic uncinate process first pancreatoduodenectomy ...
Tumor Arises Off Uncinate Process - Pancreas Radiology Case Studies ...
Pancreatic Head and Uncinate Process from the stomach - YouTube
Normal Uncinate Process - Pancreas Radiology Case Studies - CTisus CT ...
Uncinate Process Pancreas
Cancer of Pancreas | PDF
Impact of Tumor Location on Margin Status in Patients with A Repl
SURGICAL ANATOMY OF PANCREAS INTRO..pptx
ANATOMY OF PANCREAS BY Dr Manjula Vastrad Asst
Intraductal Papillary Mucinous Neoplasm (IPMN) in Uncinate Process ...
Histomorphological Study of Unusual and Extensive Uncinate Proces
Pancreatic Carcinosarcoma: Case Report of a Rare Type of Pancreat
Pancreas Anatomy Uncinate
Uncinate Process Ultrasound
(PDF) Pancreatic acinar cell carcinoma - Case report and literature review
Uncinate Process Ultrasound Jcdr 15 TD01 G002.jpg
Uncinate Process Ethmoid Bone Human Anatomy
Course of Esophagus
(PDF) Undifferentiated Pancreatic Carcinoma: Presentation ...
Uncinate Process Ultrasound Figure 2.
Pancreatic Adenocarcinoma Ultrasound Pancreatic Cancer Imaging: The
(PDF) Undifferentiated Pancreatic Carcinomas, Clinical Features and ...
Carcinoma Pancreas | PDF | Pancreas | Pancreatic Cancer
Ca pancreas resecable | PDF
Pancreas
Pancreas anatomy for experts by Dr Harsh Shah(www.gastroclinix.com) | PPTX
Pancreas | PPT
Pancreatic Cystic Lesions and Malignancy: Assessment, Guidelines, and ...
Pancreas Cancer
Frontiers | How fibrosis influences imaging and surgical decisions in ...
PPT - Pancreatic diseases PowerPoint Presentation, free download - ID ...
Pancreatic Anatomy Uncinate
[68Ga]Ga-DOTANOC Uptake at Pancreatic Head/Uncinate Process: Is It a ...
Pancreatic Cancer - Clinical Features - Management - TeachMeSurgery
LearnOncology
Stage & Grade - Pancreatic Cancer | Johns Hopkins Pathology
Pancreatitis Overview Harvard Health
Oncology Letters
Pancreatic Injury Dr HK Leung Queen Elizabeth Hospital
Pancreatic Cancer Types | Johns Hopkins Medicine
Based on this image's title: “(PDF) Carcinoma of the uncinate process of the pancreas presenting with ...”