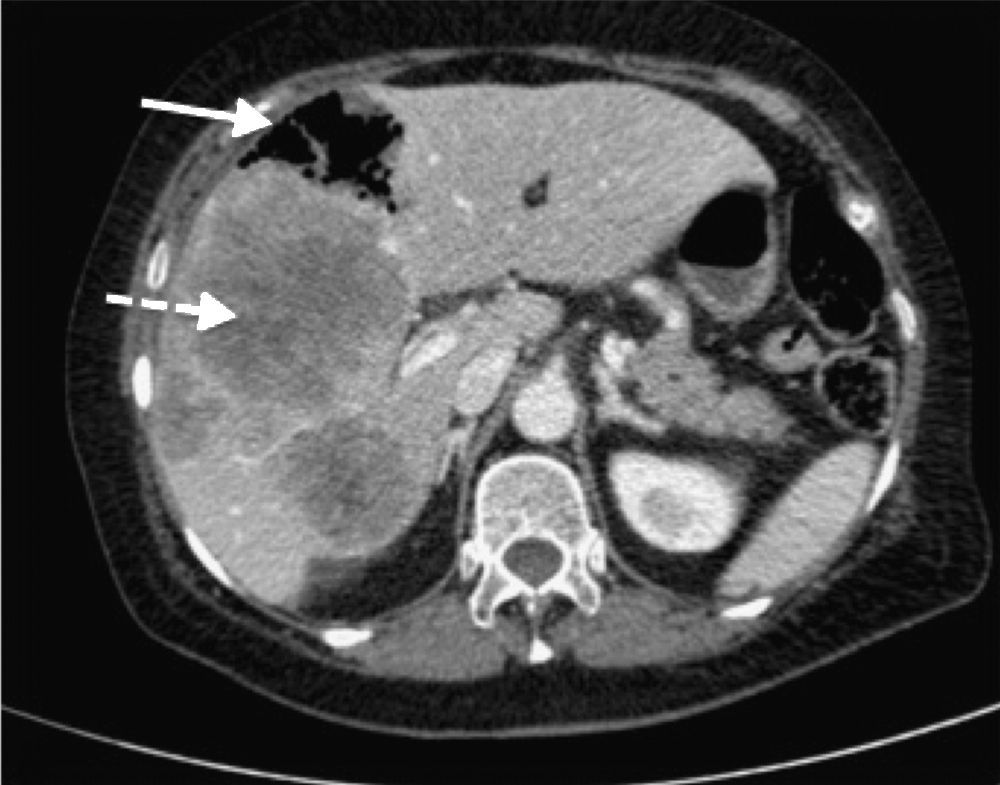
Multidrug resistant citrobacter: an unusual cause of liver abscess ...
(PDF) Multidrug resistant citrobacter: An unusual cause of liver abscess
Citrobacter koseri: an unusual cause of pyogenic liver abscess | BMJ ...
An unusual cause of a gas-forming liver abscess | Enfermedades ...
(PDF) Citrobacter koseri: An unusual cause of pyogenic liver abscess
(PDF) Fish bone migration: An unusual cause of liver abscess
(PDF) An unusual case of tubercular liver abscess presenting as ...
(PDF) An Unusual Case of Pyogenic Liver Abscess Caused by Community ...
(PDF) Tuberculous liver abscess as a unique cause of liver abscess ...
(PDF) Amoebic liver abscess: An unusual cause for a right iliac fossa ...
Tuberculous liver abscess as a unique cause of liver abscess: A case ...
An unusual presentation of amebic liver abscesses | CMAJ
Clinical features and risk factors for pyogenic liver abscess caused by ...
Figure 1 from Liver abscess with Citrobacter koseri bacteremia ...
(PDF) Liver Abscess Caused by Citrobacter Freundii Secondary to ...
(PDF) Genetic Diversity, Multidrug Resistance, and Virulence of ...
Unusual Liver Abscess - Liver Case Studies - CTisus CT Scanning
Different Types of Liver Abscess | Dr.Aditya Kulkarni
Management of liver abscess | PPT
Unusual large, multiple liver abscesses found in patients recovered ...
biliary tract diseases causes of pyogenic liver abscess. Values are ...
Table 1 from Liver abscess with Citrobacter koseri bacteremia ...
shows factors that contribute to cause multidrug resistance (MDR ...
Figure 2 from Liver abscess with Citrobacter koseri bacteremia ...
Massive Sequencing of V3-V4 Hypervariable Region in Pyogenic Liver ...
Frontiers | Genetic Diversity, Multidrug Resistance, and Virulence of ...
Pyogenic liver abscess organisms identified in our study ∗ other ...
Amoebic liver abscesses with an unusual source: a case report | HKMJ
Bacterial liver abscess – causes, symptoms, treatment – Healthy Food ...
(PDF) Liver abscess with Citrobacter koseri bacteremia
Multidrug-resistant Tubercular Liver Abscess in b-thalassemia
Liver abscess | PPTX
Liver Abscess Wiki at Robert Parsley blog
Liver abscess presentation | PPTX
Liver Abscess - MD Searchlight
Liver Abscess X Ray at Jesse Oliver blog
(PDF) Multidrug resistance-encoding gene in Citrobacter freundii ...
Liver Abscess – KDM hospital
Liver Abscess: Causes, Symptoms, Diagnosis, Treatment & Prevention ...
Treatment for liver abscess - MEDizzy
Liver abscess causes, symptoms, diagnosis, treatment & prognosis
Schematic representation of the mechanisms of multidrug-resistance ...
Liver abscess symptoms and treatment | PDF
Causes of pylephlebitic liver abscesses | Download Table
Table 2 from Comparative genomics of five different resistance plasmids ...
(PDF) Emergence of multidrug-resistant Citrobacter freundii ST8 ...
PPT - LIVER ABSCESS PowerPoint Presentation, free download - ID:1899096
(PDF) Whole genome sequencing revealed a high level of antimicrobial ...
(PDF) Multidrug resistant nosocomial Citrobacter in a Hospital in Kathmandu
Multidrug-resistant bacteria in patients on liver transplantation list ...
Reported cases of Citrobacter renal abscesses. | Download Scientific ...
(PDF) A unique case of xanthogranulomatous cholecystitis complicated by ...
(PDF) Gene cassettes of class I integron-associated with antimicrobial ...
Most common isolated Multi drug resistant organisms (MDRO) in Sepsis ...
Anchovy Sauce Liver Abscess
Figure 2 from Comparative genomics of five different resistance ...
(PDF) Draft genome sequence of multidrug-resistant Citrobacter freundii ...
(PDF) Phenotypic and Genotypic Characteristics of Antimicrobial ...
(PDF) Multi-Antibiotic Resistant Citrobacter freundii in Eggs: A Silent ...
(PDF) Investigating bile acid-mediated cholestatic drug-induced liver ...
Amebic Liver Abscess X Ray Findings at Maureen Mcwhorter blog
(PDF) First identification and genomic features of multidrug-resistant ...
Medpho: Are you aware of a Liver Abscess?
A Multicenter Retrospective Study on Clinical Characteristics and ...
Understanding Liver Abscess: Causes, Symptoms & Treatment
Liver Abscess: Causes, Diagnosis (Treatment Guide 2026)
Liver abscess, causes, signs, symptoms, diagnosis, treatment & prognosis
Citrobacter Infection- Opportunistic Bacterial Overgrowth-Lab Tests ...
Liver Abscess: Complications And Treatment – ETKTD
Liver abscess- Causes, Symptoms, Prevention, Treatment
Liver Abscess.pptx
Citrobacter fruendii identified on biochemical analysis with ...
Liver abscess.pptx
(PDF) Observations on Citrobacter species from a tertiary care health ...
PYOGENIC LIVER ABSCESS.pptx
LIVER ABSCESS.pptx
9.LIVER ABSCESS | PDF
(PDF) Etiology, Risk Factors, and Antimicrobial Resistance in Recurrent ...
Deciphering Multidrug-Resistant Pseudomonas aeruginosa: Mechanistic ...
Liver Abscess: Causes, Symptoms And Treatment [Full Explanation] » 2024
Causes of Deadly Multidrug-Resistant Infections in India - One Health Trust
Liver Abscess: Types, Causes, Symptoms & Treatment
Pyogenic Liver Abscess: Causes, Symptoms, Treatment and Cost
Colonizing multidrug-resistant bacteria and the longitudinal evolution ...
Multidrug-resistant Citrobacter freundii ST139 co-producing NDM-1 and ...
Multidrug Resistance In Human Cancer Cells at Matthew Mendelsohn blog
Multidrug Resistance Mechanism | Download Scientific Diagram
(PDF) Vancomycin and/or Multidrug-Resistant Citrobacter Freundii ...
Designing mRNA- and Peptide-Based Vaccine Construct against Emerging ...
Mechanisms Of Antibiotic Resistance Antibiotic Resistance
(PDF) Designing mRNA- and Peptide-Based Vaccine Construct against ...
Multidrug Resistance In Bacteria at Leticia Martinez blog
Multi drug resistance molecular pathogenesis | PPTX | Infectious ...
Hepatic Abscesses: Where Hepatology meets Infectious Disease | AASLD
16. enterobacteriaceae | PPTX
CT Quick Guides - CTisus.com CT Scanning
Citrobacter | PDF
Based on this image's title: “Multidrug resistant citrobacter: an unusual cause of liver abscess ...”